Suppr超能文献

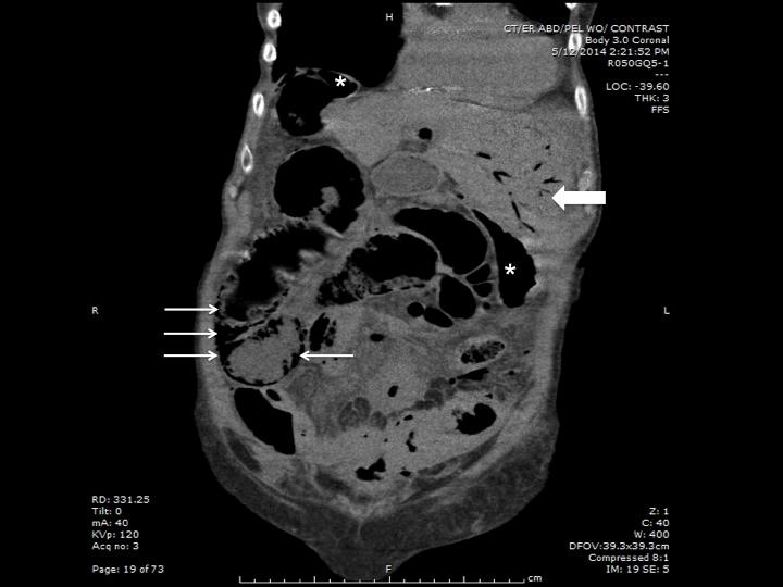
Hepatic portal venous gas: findings on ultrasound and CT.

作者信息

Berona Kristin, Hardiman Kevin, Mailhot Thomas

机构信息

Los Angeles County + University of Southern California Medical Center, Department of Emergency Medicine, Los Angeles, California.

出版信息

West J Emerg Med. 2014 Nov;15(7):893-4. doi: 10.5811/westjem.2014.9.23276. Epub 2014 Oct 28.

Abstract
摘要
https://cdn.ncbi.nlm.nih.gov/pmc/blobs/0850/4251248/fc13c320b2fc/wjem-15-893-g001.jpg

文献AI研究员

20分钟写一篇综述,助力文献阅读效率提升50倍。

立即体验

用中文搜PubMed

大模型驱动的PubMed中文搜索引擎

马上搜索

文档翻译

学术文献翻译模型,支持多种主流文档格式。

立即体验