Suppr超能文献

富含脯氨酸和谷氨酰胺的剪接因子(SFPQ/PSF)的精氨酸甲基化和瓜氨酸化调节其与mRNA的结合。

Arginine methylation and citrullination of splicing factor proline- and glutamine-rich (SFPQ/PSF) regulates its association with mRNA.

作者信息

Snijders Ambrosius P, Hautbergue Guillaume M, Bloom Alex, Williamson James C, Minshull Thomas C, Phillips Helen L, Mihaylov Simeon R, Gjerde Douglas T, Hornby David P, Wilson Stuart A, Hurd Paul J, Dickman Mark J

机构信息

ChELSI Institute, Chemical and Biological Engineering, University of Sheffield, Sheffield S1 3JD, United Kingdom.

Sheffield Institute for Translational Neuroscience (SITraN), University of Sheffield, Sheffield S10 2HQ, United Kingdom.

出版信息

RNA. 2015 Mar;21(3):347-59. doi: 10.1261/rna.045138.114. Epub 2015 Jan 20.

Abstract

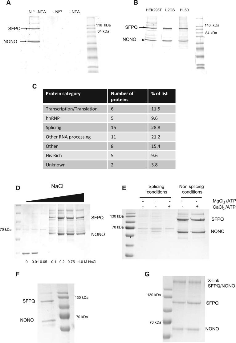
Splicing factor proline- and glutamine-rich (SFPQ) also commonly known as polypyrimidine tract-binding protein-associated-splicing factor (PSF) and its binding partner non-POU domain-containing octamer-binding protein (NONO/p54nrb), are highly abundant, multifunctional nuclear proteins. However, the exact role of this complex is yet to be determined. Following purification of the endogeneous SFPQ/NONO complex, mass spectrometry analysis identified a wide range of interacting proteins, including those involved in RNA processing, RNA splicing, and transcriptional regulation, consistent with a multifunctional role for SFPQ/NONO. In addition, we have identified several sites of arginine methylation in SFPQ/PSF using mass spectrometry and found that several arginines in the N-terminal domain of SFPQ/PSF are asymmetrically dimethylated. Furthermore, we find that the protein arginine N-methyltransferase, PRMT1, catalyzes this methylation in vitro and that this is antagonized by citrullination of SFPQ. Arginine methylation and citrullination of SFPQ/PSF does not affect complex formation with NONO. However, arginine methylation was shown to increase the association with mRNA in mRNP complexes in mammalian cells. Finally we show that the biochemical properties of the endogenous complex from cell lysates are significantly influenced by the ionic strength during purification. At low ionic strength, the SFPQ/NONO complex forms large heterogeneous protein assemblies or aggregates, preventing the purification of the SFPQ/NONO complex. The ability of the SFPQ/NONO complex to form varying protein assemblies, in conjunction with the effect of post-translational modifications of SFPQ modulating mRNA binding, suggests key roles affecting mRNP dynamics within the cell.

摘要

富含脯氨酸和谷氨酰胺的剪接因子(SFPQ),也通常被称为富含嘧啶序列结合蛋白相关剪接因子(PSF)及其结合伴侣含非POU结构域的八聚体结合蛋白(NONO/p54nrb),是高度丰富的多功能核蛋白。然而,这个复合体的确切作用尚未确定。在对内源性SFPQ/NONO复合体进行纯化后,质谱分析鉴定出了广泛的相互作用蛋白,包括那些参与RNA加工、RNA剪接和转录调控的蛋白,这与SFPQ/NONO的多功能作用一致。此外,我们利用质谱鉴定了SFPQ/PSF中精氨酸甲基化的几个位点,发现SFPQ/PSF N端结构域中的几个精氨酸发生了不对称二甲基化。此外,我们发现蛋白质精氨酸N-甲基转移酶PRMT1在体外催化这种甲基化,并且这种甲基化会被SFPQ的瓜氨酸化所拮抗。SFPQ/PSF的精氨酸甲基化和瓜氨酸化并不影响与NONO形成复合体。然而,精氨酸甲基化被证明会增加其在哺乳动物细胞mRNP复合体中与mRNA的结合。最后,我们表明,细胞裂解物中内源性复合体的生化特性在纯化过程中受到离子强度的显著影响。在低离子强度下,SFPQ/NONO复合体形成大型异质蛋白聚集体或聚集体,阻碍了SFPQ/NONO复合体的纯化。SFPQ/NONO复合体形成不同蛋白聚集体的能力,连同SFPQ的翻译后修饰对mRNA结合的调节作用,表明其在影响细胞内mRNP动态方面具有关键作用。

https://cdn.ncbi.nlm.nih.gov/pmc/blobs/bf2a/4338332/89ff85dc83f0/347f01.jpg

文献AI研究员

20分钟写一篇综述,助力文献阅读效率提升50倍。

立即体验

用中文搜PubMed

大模型驱动的PubMed中文搜索引擎

马上搜索

文档翻译

学术文献翻译模型,支持多种主流文档格式。

立即体验