Suppr超能文献

金黄叙利亚仓鼠感染裂谷热病毒

Rift Valley fever virus infection in golden Syrian hamsters.

作者信息

Scharton Dionna, Van Wettere Arnaud J, Bailey Kevin W, Vest Zachary, Westover Jonna B, Siddharthan Venkatraman, Gowen Brian B

机构信息

Department of Animal, Dairy, and Veterinary Sciences, Utah State University, Logan, Utah, United States of America; Institute for Antiviral Research, Utah State University, Logan, Utah, United States of America.

Department of Animal, Dairy, and Veterinary Sciences, Utah State University, Logan, Utah, United States of America; School of Veterinary Medicine, Utah State University, Logan, Utah, United States of America; Utah Veterinary Diagnostic Laboratory, Logan, Utah, United States of America.

出版信息

PLoS One. 2015 Jan 21;10(1):e0116722. doi: 10.1371/journal.pone.0116722. eCollection 2015.

Abstract

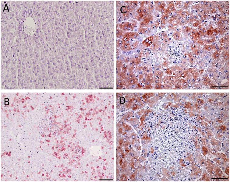
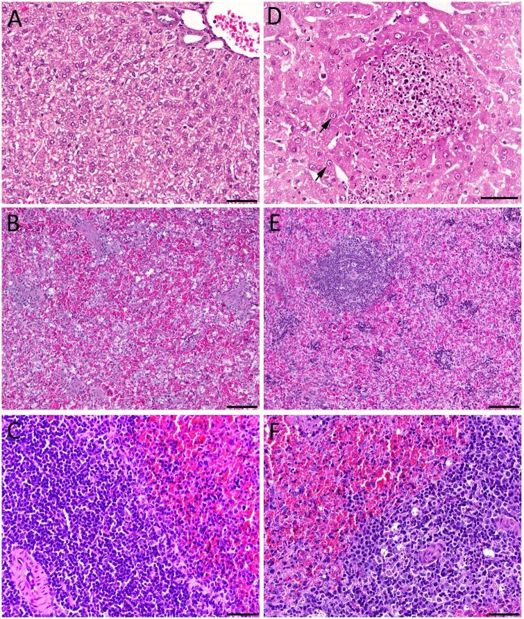
Rift Valley fever virus (RVFV) is a formidable pathogen that causes severe disease and abortion in a variety of livestock species and a range of disease in humans that includes hemorrhagic fever, fulminant hepatitis, encephalitis and blindness. The natural transmission cycle involves mosquito vectors, but exposure can also occur through contact with infected fluids and tissues. The lack of approved antiviral therapies and vaccines for human use underlies the importance of small animal models for proof-of-concept efficacy studies. Several mouse and rat models of RVFV infection have been well characterized and provide useful systems for the study of certain aspects of pathogenesis, as well as antiviral drug and vaccine development. However, certain host-directed therapeutics may not act on mouse or rat pathways. Here, we describe the natural history of disease in golden Syrian hamsters challenged subcutaneously with the pathogenic ZH501 strain of RVFV. Peracute disease resulted in rapid lethality within 2 to 3 days of RVFV challenge. High titer viremia and substantial viral loads were observed in most tissues examined; however, histopathology and immunostaining for RVFV antigen were largely restricted to the liver. Acute hepatocellular necrosis associated with a strong presence of viral antigen in the hepatocytes indicates that fulminant hepatitis is the likely cause of mortality. Further studies to assess the susceptibility and disease progression following respiratory route exposure are warranted. The use of the hamsters to model RVFV infection is suitable for early stage antiviral drug and vaccine development studies.

摘要

裂谷热病毒(RVFV)是一种可怕的病原体,可在多种家畜物种中引发严重疾病和流产,并在人类中导致一系列疾病,包括出血热、暴发性肝炎、脑炎和失明。其天然传播周期涉及蚊媒,但接触受感染的体液和组织也可能导致感染。由于缺乏已获批准的用于人类的抗病毒疗法和疫苗,小动物模型对于概念验证疗效研究至关重要。几种感染RVFV的小鼠和大鼠模型已得到充分表征,为研究发病机制的某些方面以及抗病毒药物和疫苗开发提供了有用的系统。然而,某些宿主导向疗法可能对小鼠或大鼠的途径不起作用。在此,我们描述了用RVFV致病性ZH501株皮下攻击的金黄叙利亚仓鼠的疾病自然史。超急性疾病导致在RVFV攻击后2至3天内迅速死亡。在大多数检测的组织中观察到高滴度病毒血症和大量病毒载量;然而,组织病理学和RVFV抗原免疫染色主要局限于肝脏。与肝细胞中大量病毒抗原相关的急性肝细胞坏死表明暴发性肝炎可能是死亡原因。有必要进一步研究评估经呼吸道接触后的易感性和疾病进展。利用仓鼠模拟RVFV感染适用于早期抗病毒药物和疫苗开发研究。

https://cdn.ncbi.nlm.nih.gov/pmc/blobs/28da/4301868/a2eba1010472/pone.0116722.g001.jpg

文献AI研究员

20分钟写一篇综述,助力文献阅读效率提升50倍。

立即体验

用中文搜PubMed

大模型驱动的PubMed中文搜索引擎

马上搜索

文档翻译

学术文献翻译模型,支持多种主流文档格式。

立即体验