Suppr超能文献

气溶胶暴露于裂谷热病毒会导致小鼠模型中的神经病理学更早且更严重,这对治疗方法的开发具有重要意义。

Aerosol exposure to Rift Valley fever virus causes earlier and more severe neuropathology in the murine model, which has important implications for therapeutic development.

机构信息

United States Army Medical Research Institute of Infectious Diseases (USAMRIID), Fort Detrick, Maryland, USA.

出版信息

PLoS Negl Trop Dis. 2013 Apr 4;7(4):e2156. doi: 10.1371/journal.pntd.0002156. Print 2013.

Abstract

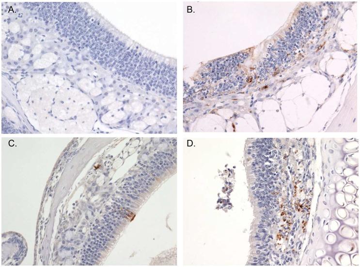
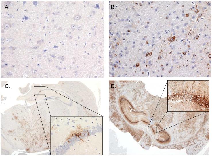
Rift Valley fever virus (RVFV) is an important mosquito-borne veterinary and human pathogen that can cause severe disease including acute-onset hepatitis, delayed-onset encephalitis, retinitis and blindness, or a hemorrhagic syndrome. Currently, no licensed vaccine or therapeutics exist to treat this potentially deadly disease. Detailed studies describing the pathogenesis of RVFV following aerosol exposure have not been completed and candidate therapeutics have not been evaluated following an aerosol exposure. These studies are important because while mosquito transmission is the primary means for human infection, it can also be transmitted by aerosol or through mucosal contact. Therefore, we directly compared the pathogenesis of RVFV following aerosol exposure to a subcutaneous (SC) exposure in the murine model by analyzing survival, clinical observations, blood chemistry, hematology, immunohistochemistry, and virus titration of tissues. Additionally, we evaluated the effectiveness of the nucleoside analog ribavirin administered prophylactically to treat mice exposed by aerosol and SC. The route of exposure did not significantly affect the survival, chemistry or hematology results of the mice. Acute hepatitis occurred despite the route of exposure. However, the development of neuropathology occurred much earlier and was more severe in mice exposed by aerosol compared to SC exposed mice. Mice treated with ribavirin and exposed SC were partially protected, whereas treated mice exposed by aerosol were not protected. Early and aggressive viral invasion of brain tissues following aerosol exposure likely played an important role in ribavirin's failure to prevent mortality among these animals. Our results highlight the need for more candidate antivirals to treat RVFV infection, especially in the case of a potential aerosol exposure. Additionally, our study provides an account of the key pathogenetic differences in RVF disease following two potential exposure routes and provides important insights into the development and evaluation of potential vaccines and therapeutics to treat RVFV infection.

摘要

裂谷热病毒(RVFV)是一种重要的蚊媒兽医和人类病原体,可引起严重疾病,包括急性发作的肝炎、迟发性脑炎、视网膜炎和失明,或出血综合征。目前,尚无治疗这种潜在致命疾病的许可疫苗或疗法。尚未完成详细研究描述 RVFV 气溶胶暴露后的发病机制,也未评估候选疗法在气溶胶暴露后的疗效。这些研究很重要,因为虽然蚊媒传播是人类感染的主要途径,但它也可以通过气溶胶或通过粘膜接触传播。因此,我们通过分析生存、临床观察、血液化学、血液学、免疫组织化学和组织病毒滴定,直接比较了 RVFV 气溶胶暴露后的发病机制与鼠模型中的皮下(SC)暴露。此外,我们还评估了核苷类似物利巴韦林在预防气溶胶和 SC 暴露的小鼠中的治疗效果。暴露途径并未显著影响小鼠的生存、化学或血液学结果。尽管暴露途径不同,但急性肝炎仍会发生。然而,与 SC 暴露的小鼠相比,气溶胶暴露的小鼠更早且更严重地发生神经病理学。用利巴韦林治疗并暴露于 SC 的小鼠部分受到保护,而暴露于气溶胶的治疗小鼠未受到保护。气溶胶暴露后病毒对脑组织的早期和侵袭性入侵可能在利巴韦林未能预防这些动物死亡中起重要作用。我们的研究结果强调需要更多的候选抗病毒药物来治疗 RVFV 感染,特别是在存在潜在气溶胶暴露的情况下。此外,我们的研究提供了两种潜在暴露途径后 RVF 疾病的关键发病机制差异的说明,并为治疗 RVFV 感染的潜在疫苗和疗法的开发和评估提供了重要的见解。

https://cdn.ncbi.nlm.nih.gov/pmc/blobs/0328/3617210/0a077b70fa58/pntd.0002156.g001.jpg

文献AI研究员

20分钟写一篇综述,助力文献阅读效率提升50倍。

立即体验

用中文搜PubMed

大模型驱动的PubMed中文搜索引擎

马上搜索

文档翻译

学术文献翻译模型,支持多种主流文档格式。

立即体验