Suppr超能文献

大鼠经90天仅经鼻吸入暴露于工业多壁碳纳米管Graphistrength(©) C100后,彗星试验和微核试验中肺部炎症及无基因毒性情况

Lung inflammation and lack of genotoxicity in the comet and micronucleus assays of industrial multiwalled carbon nanotubes Graphistrength(©) C100 after a 90-day nose-only inhalation exposure of rats.

作者信息

Pothmann Daniela, Simar Sophie, Schuler Detlef, Dony Eva, Gaering Stéphane, Le Net Jean-Loïc, Okazaki Yoshi, Chabagno Jean Michel, Bessibes Cécile, Beausoleil Julien, Nesslany Fabrice, Régnier Jean-François

机构信息

Harlan Laboratories Ltd, Zelgliweg 1, 4452, Itingen, Switzerland.

Laboratoire de Toxicologie Génétique, Institut Pasteur de Lille, 1 rue du Pr. Calmette, 59019, Lille, Cedex, France.

出版信息

Part Fibre Toxicol. 2015 Jul 10;12:21. doi: 10.1186/s12989-015-0096-2.

Abstract

BACKGROUND

Graphistrength (©) C100 multiwalled carbon nanotubes (MWCNT) provide superior electrical and mechanical properties for various applications. The evaluation of the intrinsic hazard properties of Graphistrength(©) C100 is an essential step for safe use. A general feature of multiwalled carbon nanotubes after inhalation or intratracheal exposures is the induction of an inflammatory reaction in the lungs sometimes associated with local genotoxic effects.

METHODS

After investigating different parameters for the aerosol generation and performing a 5-day inhalation range finding study, male and female Wistar rats were exposed nose-only for 90 days to target concentrations of 0.05, 0.25 and 5.0 mg/m(3) air of Graphistrength (©) C100 and sacrificed 24 h and 90 days after the last exposure. Broncho-alveolar lavage fluid (BALF) was also collected and analyzed for inflammatory parameters. Twenty-four hours post-exposure, chromosomal aberrations in the bone marrow cells were evaluated by the micronucleus test and DNA damages in the lung, kidney and liver cells by both the standard and the human 8-oxoguanine DNA N-glycosylase 1 (hOGG1)-modified comet assay. All studies were performed according to the OECD test guidelines.

RESULTS

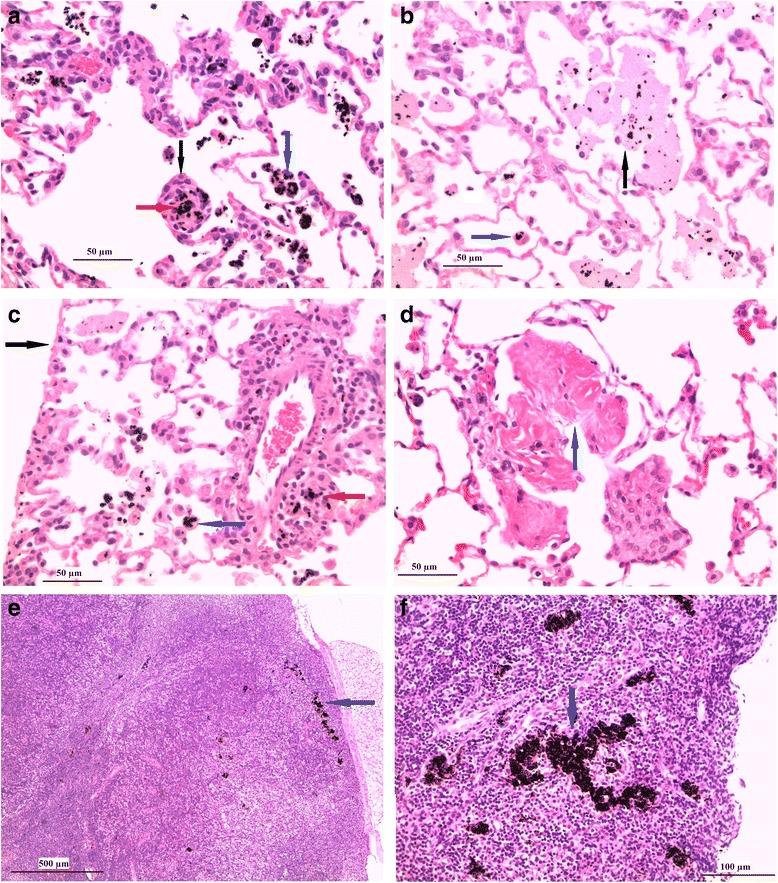
An inflammatory lung reaction and the release of inflammatory factors in the BALF were observed in all rats exposed to 5.0 mg/m(3), associated with changes in the differential white blood cells counts. The slight changes in BALF parameters at 0.25 mg/m(3) recovered and signs of lung clearance of the MWCNT were observed. No pathological changes were observed on the pleura. Neither increase in the number of micronucleated polychromatic erythrocytes nor increase in percent DNA damage were observed at any concentration.

CONCLUSIONS

Lung inflammation characteristic of an overload with insoluble particles was observed after a 90-day exposure to 5.0 mg/m(3) of Graphistrength (©) C100. Clear signs of clearance and recovery were observed at 0.25 mg/m(3). No genotoxicity was detected locally in lung and distally in bone marrow, liver and kidney. Therefore, Graphistrength (©) C100 appears of low concern in term of local and systemic genotoxicity and a No-Observed Adverse Effect Concentration (NOAEC) of 0.25 mg/m(3) (0.28 mg/m(3) as actual concentration) was established for the repeated-dose toxicity.

摘要

背景

Graphistrength(©)C100多壁碳纳米管(MWCNT)在各种应用中具有卓越的电学和力学性能。评估Graphistrength(©)C100的内在危险特性是安全使用的关键步骤。吸入或气管内暴露后多壁碳纳米管的一个普遍特征是在肺部引发炎症反应,有时还伴有局部遗传毒性效应。

方法

在研究了气溶胶生成的不同参数并进行了为期5天的吸入预试验后,将雄性和雌性Wistar大鼠仅经鼻暴露于浓度分别为0.05、0.25和5.0 mg/m³空气的Graphistrength(©)C100中90天,并在末次暴露后24小时和90天处死。同时收集支气管肺泡灌洗液(BALF)并分析炎症参数。暴露24小时后,通过微核试验评估骨髓细胞中的染色体畸变情况,并通过标准彗星试验和人8-氧代鸟嘌呤DNA糖苷酶1(hOGG1)改良彗星试验评估肺、肾和肝细胞中的DNA损伤情况。所有研究均按照经合组织试验指南进行。

结果

在所有暴露于5.0 mg/m³的大鼠中均观察到肺部炎症反应以及BALF中炎症因子的释放,这与白细胞分类计数的变化相关。在0.25 mg/m³时BALF参数的轻微变化有所恢复,且观察到MWCNT在肺部清除的迹象。胸膜未观察到病理变化。在任何浓度下均未观察到微核多染红细胞数量增加或DNA损伤百分比增加。

结论

在暴露于5.0 mg/m³的Graphistrength(©)C100 90天后,观察到了不溶性颗粒过载特征的肺部炎症。在0.25 mg/m³时观察到了明显的清除和恢复迹象。在肺部局部以及骨髓、肝脏和肾脏远端均未检测到遗传毒性。因此,就局部和全身遗传毒性而言,Graphistrength(©)C100似乎引起的关注较低,并且确定其重复剂量毒性的未观察到有害作用浓度(NOAEC)为0.25 mg/m³(实际浓度为0.28 mg/m³)。

https://cdn.ncbi.nlm.nih.gov/pmc/blobs/3761/4496819/154abed3511d/12989_2015_96_Fig1_HTML.jpg

文献AI研究员

20分钟写一篇综述,助力文献阅读效率提升50倍。

立即体验

用中文搜PubMed

大模型驱动的PubMed中文搜索引擎

马上搜索

文档翻译

学术文献翻译模型,支持多种主流文档格式。

立即体验