Suppr超能文献

WD-40重复蛋白5(WDR5)亚基在混合谱系白血病3(MLL3)组蛋白甲基转移酶复合物中的独特作用。

Unique Role of the WD-40 Repeat Protein 5 (WDR5) Subunit within the Mixed Lineage Leukemia 3 (MLL3) Histone Methyltransferase Complex.

作者信息

Shinsky Stephen A, Cosgrove Michael S

机构信息

From the Department of Biochemistry and Molecular Biology, State University of New York Upstate Medical University, Syracuse, New York 13210.

From the Department of Biochemistry and Molecular Biology, State University of New York Upstate Medical University, Syracuse, New York 13210

出版信息

J Biol Chem. 2015 Oct 23;290(43):25819-33. doi: 10.1074/jbc.M115.684142. Epub 2015 Aug 31.

Abstract

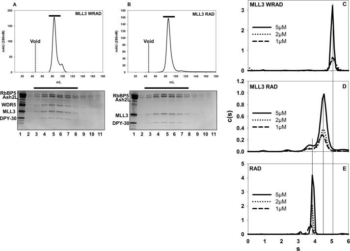
The MLL3 (mixed lineage leukemia 3) protein is a member of the human SET1 family of histone H3 lysine 4 methyltransferases and contains the conserved WDR5 interaction (Win) motif and the catalytic suppressor of variegation, enhancer of zeste, trithorax (SET) domain. The human SET1 family includes MLL1-4 and SETd1A/B, which all interact with a conserved subcomplex containing WDR5, RbBP5, Ash2L, and DPY-30 (WRAD) to form the minimal core complex required for full methyltransferase activity. However, recent evidence suggests that the WDR5 subunit may not be utilized in an identical manner within all SET1 family core complexes. Although the roles of WDR5 within the MLL1 core complex have been extensively studied, not much is known about the roles of WDR5 in other SET1 family core complexes. In this investigation, we set out to characterize the roles of the WDR5 subunit in the MLL3 core complex. We found that unlike MLL1, the MLL3 SET domain assembles with the RbBP5/Ash2L heterodimer independently of the Win motif-WDR5 interaction. Furthermore, we observed that WDR5 inhibits the monomethylation activity of the MLL3 core complex, which is dependent on the Win motif. We also found evidence suggesting that the WRAD subcomplex catalyzes weak H3K4 monomethylation within the context of the MLL3 core complex. Furthermore, solution structures of the MLL3 core complex assembled with and without WDR5 by small angle x-ray scattering show similar overall topologies. Together, this work demonstrates a unique role for WDR5 in modulating the enzymatic activity of the MLL3 core complex.

摘要

MLL3(混合谱系白血病3)蛋白是人类组蛋白H3赖氨酸4甲基转移酶SET1家族的成员,包含保守的WDR5相互作用(Win)基序和果蝇斑点抑制、zeste增强子、三体胸段(SET)结构域。人类SET1家族包括MLL1 - 4和SETd1A/B,它们都与包含WDR5、RbBP5、Ash2L和DPY - 30(WRAD)的保守亚复合物相互作用,形成完整甲基转移酶活性所需的最小核心复合物。然而,最近的证据表明,WDR5亚基在所有SET1家族核心复合物中的使用方式可能并不相同。尽管WDR5在MLL1核心复合物中的作用已得到广泛研究,但对于WDR5在其他SET1家族核心复合物中的作用却知之甚少。在本研究中,我们着手表征WDR5亚基在MLL3核心复合物中的作用。我们发现,与MLL1不同,MLL3的SET结构域与RbBP5/Ash2L异二聚体组装在一起,独立于Win基序 - WDR5相互作用。此外,我们观察到WDR5抑制MLL3核心复合物的单甲基化活性,这依赖于Win基序。我们还发现有证据表明,WRAD亚复合物在MLL3核心复合物的背景下催化弱的H3K4单甲基化。此外,通过小角X射线散射测定的有或没有WDR5组装的MLL3核心复合物的溶液结构显示出相似的整体拓扑结构。总之,这项工作证明了WDR5在调节MLL3核心复合物的酶活性方面具有独特作用。

https://cdn.ncbi.nlm.nih.gov/pmc/blobs/5a18/4646236/18fdc33bdcc5/zbc0461528630001.jpg

文献AI研究员

20分钟写一篇综述,助力文献阅读效率提升50倍。

立即体验

用中文搜PubMed

大模型驱动的PubMed中文搜索引擎

马上搜索

文档翻译

学术文献翻译模型,支持多种主流文档格式。

立即体验