Suppr超能文献

通过细胞核标记分水岭算法和均值漂移聚类实现白细胞分割

Segmentation of White Blood Cells through Nucleus Mark Watershed Operations and Mean Shift Clustering.

作者信息

Liu Zhi, Liu Jing, Xiao Xiaoyan, Yuan Hui, Li Xiaomei, Chang Jun, Zheng Chengyun

机构信息

School of Information Science and Engineering, Shandong University, Jinan 250100, China.

Department of Nephropathy, Qilu Hospital of Shandong University, Jinan 250012, China.

出版信息

Sensors (Basel). 2015 Sep 8;15(9):22561-86. doi: 10.3390/s150922561.

Abstract

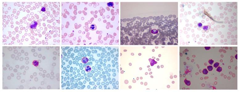
This paper presents a novel method for segmentation of white blood cells (WBCs) in peripheral blood and bone marrow images under different lights through mean shift clustering, color space conversion and nucleus mark watershed operation (NMWO). The proposed method focuses on obtaining seed points. First, color space transformation and image enhancement techniques are used to obtain nucleus groups as inside seeds. Second, mean shift clustering, selection of the C channel component in the CMYK model, and illumination intensity adjustment are employed to acquire WBCs as outside seeds. Third, the seeds and NMWO are employed to precisely determine WBCs and solve the cell adhesion problem. Morphological operations are further used to improve segmentation accuracy. Experimental results demonstrate that the algorithm exhibits higher segmentation accuracy and robustness compared with traditional methods.

摘要

本文提出了一种通过均值漂移聚类、颜色空间转换和细胞核标记分水岭操作(NMWO),在不同光照条件下对外周血和骨髓图像中的白细胞(WBC)进行分割的新方法。该方法重点在于获取种子点。首先,利用颜色空间变换和图像增强技术获取细胞核组作为内部种子。其次,采用均值漂移聚类、CMYK模型中C通道分量的选择以及光照强度调整来获取白细胞作为外部种子。第三,利用种子和NMWO精确确定白细胞并解决细胞粘连问题。进一步使用形态学操作提高分割精度。实验结果表明,与传统方法相比,该算法具有更高的分割精度和鲁棒性。

https://cdn.ncbi.nlm.nih.gov/pmc/blobs/e531/4610533/593dc8fc206a/sensors-15-22561-g001.jpg

文献AI研究员

20分钟写一篇综述,助力文献阅读效率提升50倍。

立即体验

用中文搜PubMed

大模型驱动的PubMed中文搜索引擎

马上搜索

文档翻译

学术文献翻译模型,支持多种主流文档格式。

立即体验