Suppr超能文献

色瑞替尼(LDK378)对体外和体内ABCB1及ABCG2过表达细胞中化疗药物增强作用的影响。

Effect of ceritinib (LDK378) on enhancement of chemotherapeutic agents in ABCB1 and ABCG2 overexpressing cells in vitro and in vivo.

作者信息

Hu Jing, Zhang Xu, Wang Fang, Wang Xiaokun, Yang Ke, Xu Meng, To Kenneth K W, Li Qingshan, Fu Liwu

机构信息

Department of Hematology, Guangzhou First People's Hospital, Guangzhou Medical University, Guangzhou, China.

Collaborative Innovation Center for Cancer Medicine, State Key Laboratory of Oncology in South China, Guangdong Esophageal Cancer Institute, Cancer Center, Sun Yat-Sen University, Guangzhou, China.

出版信息

Oncotarget. 2015 Dec 29;6(42):44643-59. doi: 10.18632/oncotarget.5989.

Abstract

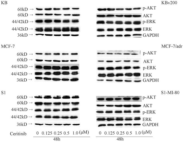
Multidrug resistance (MDR) is the leading cause of treatment failure in cancer chemotherapy. The overexpression of ATP-binding cassette (ABC) transporters, particularly ABCB1, ABCC1 and ABCG2, play a key role in mediating MDR by pumping anticancer drugs out from cancer cells. Ceritinib (LDK378) is a second-generation tyrosine kinase inhibitor of anaplastic lymphoma kinase (ALK) currently in phase III clinical trial for the treatment of non-small cell lung cancer. Here, we found that ceritinib remarkably enhanced the efficacy of chemotherapeutic drugs in ABCB1 or ABCG2 over-expressing cancer cells in vitro and in vivo. Ceritinib significantly increased the intracellular accumulation of chemotherapeutic agents such as doxorubicin (DOX) by inhibiting ABCB1 or ABCG2-mediated drug efflux in the transporters-overexpressing cells. Mechanistically, ceritinib is likely a competitive inhibitor of ABCB1 and ABCG2 because it competed with [(125)I]-iodoarylazidoprazosin for photo affinity labeling of the transporters. On the other hand, at the transporters-inhibiting concentrations, ceritinib did not alter the expression level of ABCB1 and ABCG2, and phosphorylation status of AKT and ERK1/2. Thus the findings advocate further clinical investigation of combination chemotherapy of ceritinib and other conventional chemotherapeutic drugs in chemo-refractory cancer patients.

摘要

多药耐药(MDR)是癌症化疗中治疗失败的主要原因。ATP结合盒(ABC)转运蛋白的过表达,尤其是ABCB1、ABCC1和ABCG2,通过将抗癌药物泵出癌细胞,在介导MDR中起关键作用。色瑞替尼(LDK378)是一种第二代间变性淋巴瘤激酶(ALK)酪氨酸激酶抑制剂,目前正处于治疗非小细胞肺癌的III期临床试验阶段。在此,我们发现色瑞替尼在体外和体内均能显著增强化疗药物对过表达ABCB1或ABCG2的癌细胞的疗效。色瑞替尼通过抑制过表达转运蛋白的细胞中ABCB1或ABCG2介导的药物外排,显著增加了阿霉素(DOX)等化疗药物的细胞内蓄积。从机制上讲,色瑞替尼可能是ABCB1和ABCG2的竞争性抑制剂,因为它与[(125)I] - 碘芳基叠氮哌唑嗪竞争转运蛋白的光亲和标记。另一方面,在转运蛋白抑制浓度下,色瑞替尼不会改变ABCB1和ABCG2的表达水平以及AKT和ERK1/2的磷酸化状态。因此,这些发现主张对色瑞替尼与其他传统化疗药物联合化疗在化疗难治性癌症患者中进行进一步的临床研究。

https://cdn.ncbi.nlm.nih.gov/pmc/blobs/02e5/4792582/22b858d963a1/oncotarget-06-44643-g001.jpg

文献AI研究员

20分钟写一篇综述,助力文献阅读效率提升50倍。

立即体验

用中文搜PubMed

大模型驱动的PubMed中文搜索引擎

马上搜索

文档翻译

学术文献翻译模型,支持多种主流文档格式。

立即体验