Suppr超能文献

FYN表达增强急性髓系白血病中FLT3-ITD诱导的STAT5信号传导。

FYN expression potentiates FLT3-ITD induced STAT5 signaling in acute myeloid leukemia.

作者信息

Chougule Rohit A, Kazi Julhash U, Rönnstrand Lars

机构信息

Division of Translational Cancer Research, and Lund Stem Cell Center, Department of Laboratory Medicine, Lund University, Lund, Sweden.

出版信息

Oncotarget. 2016 Mar 1;7(9):9964-74. doi: 10.18632/oncotarget.7128.

Abstract

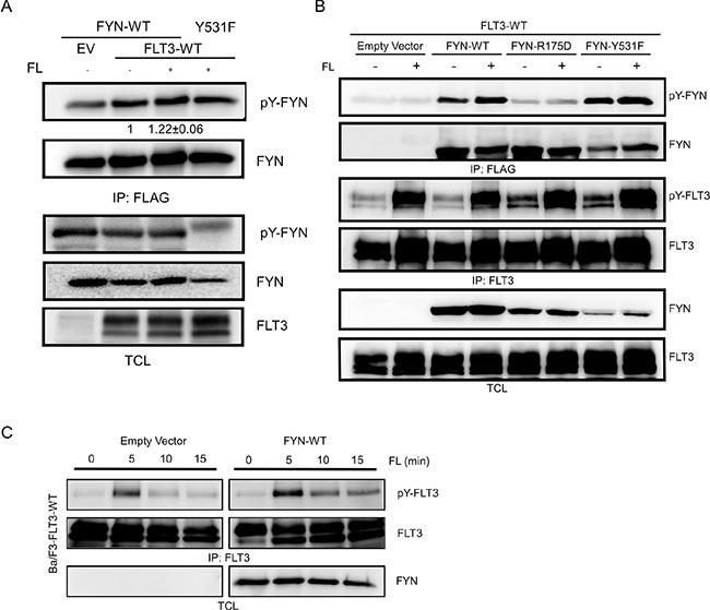
FYN is a non-receptor tyrosine kinase belonging to the SRC family of kinases, which are frequently over-expressed in human cancers, and play key roles in cancer biology. SRC has long been recognized as an important oncogene, but little attention has been given to its other family members. In this report, we have studied the role of FYN in FLT3 signaling in respect to acute myeloid leukemia (AML). We observed that FYN displays a strong association with wild-type FLT3 as well as oncogenic FLT3-ITD and is dependent on the kinase activity of FLT3 and the SH2 domain of FYN. We identified multiple FYN binding sites in FLT3, which partially overlapped with SRC binding sites. To understand the role of FYN in FLT3 signaling, we generated FYN overexpressing cells. We observed that expression of FYN resulted in slightly enhanced phosphorylation of AKT, ERK1/2 and p38 in response to ligand stimulation. Furthermore, FYN expression led to a slight increase in FLT3-ITD-dependent cell proliferation, but potent enhancement of STAT5 phosphorylation as well as colony formation. We also observed that FYN expression is deregulated in AML patient samples and that higher expression of FYN, in combination with FLT3-ITD mutation, resulted in enrichment of the STAT5 signaling pathway and correlated with poor prognosis in AML. Taken together our data suggest that FYN cooperates with oncogenic FLT3-ITD in cellular transformation by selective activation of the STAT5 pathway. Therefore, inhibition of FYN, in combination with FLT3 inhibition, will most likely be beneficial for this group of AML patients.

摘要

FYN是一种非受体酪氨酸激酶,属于SRC激酶家族,该家族激酶在人类癌症中经常过度表达,并在癌症生物学中发挥关键作用。长期以来,SRC一直被认为是一种重要的癌基因,但其其他家族成员却很少受到关注。在本报告中,我们研究了FYN在急性髓系白血病(AML)的FLT3信号传导中的作用。我们观察到FYN与野生型FLT3以及致癌性FLT3-ITD有很强的关联,并且依赖于FLT3的激酶活性和FYN的SH2结构域。我们在FLT3中鉴定出多个FYN结合位点,这些位点与SRC结合位点部分重叠。为了了解FYN在FLT3信号传导中的作用,我们构建了过表达FYN的细胞。我们观察到,FYN的表达导致在配体刺激下AKT、ERK1/2和p38的磷酸化略有增强。此外,FYN的表达导致FLT3-ITD依赖的细胞增殖略有增加,但STAT5磷酸化以及集落形成得到显著增强。我们还观察到AML患者样本中FYN的表达失调,并且FYN的高表达与FLT3-ITD突变相结合,导致STAT5信号通路富集,并与AML患者的不良预后相关。综合我们的数据表明,FYN通过选择性激活STAT5途径与致癌性FLT3-ITD在细胞转化中协同作用。因此,抑制FYN并结合抑制FLT3,很可能对这组AML患者有益。

https://cdn.ncbi.nlm.nih.gov/pmc/blobs/2e0d/4891096/04d96b14e967/oncotarget-07-09964-g001.jpg

文献AI研究员

20分钟写一篇综述,助力文献阅读效率提升50倍。

立即体验

用中文搜PubMed

大模型驱动的PubMed中文搜索引擎

马上搜索

文档翻译

学术文献翻译模型,支持多种主流文档格式。

立即体验