Suppr超能文献

低强度激光疗法对钛植入物骨整合的影响:兔的共振频率、去除扭矩及组织形态计量学分析

Low-level laser therapy affects osseointegration in titanium implants: resonance frequency, removal torque, and histomorphometric analysis in rabbits.

作者信息

Kim Jong-Ryoul, Kim Sung-Hee, Kim In-Ryoung, Park Bong-Soo, Kim Yong-Deok

机构信息

Department of Oral and Maxillofacial Surgery, On General Hospital, Busan, Korea.

Department of Oral and Maxillofacial Surgery, School of Dentistry, Pusan National University, Yangsan, Korea.

出版信息

J Korean Assoc Oral Maxillofac Surg. 2016 Feb;42(1):2-8. doi: 10.5125/jkaoms.2016.42.1.2. Epub 2016 Feb 15.

Abstract

OBJECTIVES

The purpose of this study was to investigate the effects of low-level laser therapy (LLLT) with a diode gallium-aluminum-arsenide (Ga-Al-As) low-level laser device on the healing and attachment of titanium implants in bone.

MATERIALS AND METHODS

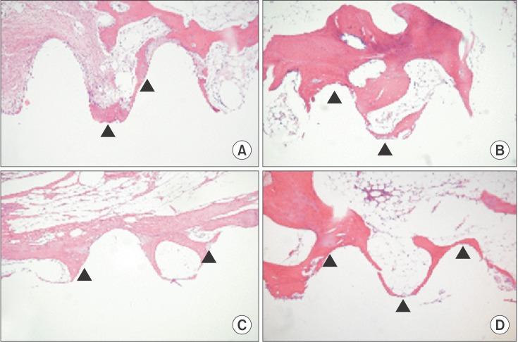
Thirteen New Zealand white male rabbits weighing 3.0±0.5 kg were used for this study. Dental titanium implants (3.75 mm in diameter and 8.5 mm in length, US II RBM plus fixture; Osstem, Seoul, Korea) were implanted into both femurs of each rabbit. The rabbits were randomly divided into a LLLT group and a control group. The LLLT was initiated immediately after surgery and then repeated daily for 7 consecutive days in the LLLT group. Six weeks and 12 weeks after implantation, we evaluated and compared the osseointegration of the LLLT group and control group, using histomorphometric analysis, removal torque testing, and resonance frequency analysis (RFA). The results were statistically significant when the level of probability was 0.05 or less based on a non-parametric Mann-Whitney U-test.

RESULTS

The implant survival rate was about 96%. Histologically and histomorphometrically, we observed that the titanium implants were more strongly attached in LLLT group than in control group. However, there was no significant difference between the LLLT group and control group in removal torque or RFA.

CONCLUSION

Histologically, LLLT might promote cell-level osseointegration of titanium implants, but there was no statistically significant effects.

摘要

目的

本研究旨在探讨使用二极管砷化镓铝(Ga-Al-As)低强度激光设备进行低强度激光治疗(LLLT)对钛植入物在骨内的愈合和附着的影响。

材料与方法

本研究使用了13只体重为3.0±0.5千克的新西兰雄性白兔。将牙科钛植入物(直径3.75毫米,长度8.5毫米,美国II型RBM加固定装置;韩国首尔奥齿泰公司)植入每只兔子的双侧股骨。兔子被随机分为LLLT组和对照组。LLLT组在手术后立即开始治疗,然后连续7天每天重复进行。在植入后6周和12周,我们使用组织形态计量学分析、去除扭矩测试和共振频率分析(RFA)评估并比较了LLLT组和对照组的骨整合情况。基于非参数曼-惠特尼U检验,当概率水平为0.05或更低时,结果具有统计学意义。

结果

植入物存活率约为96%。在组织学和组织形态计量学方面,我们观察到LLLT组的钛植入物比对照组更牢固地附着。然而,LLLT组和对照组在去除扭矩或RFA方面没有显著差异。

结论

在组织学上,LLLT可能促进钛植入物的细胞水平骨整合,但没有统计学上的显著效果。

https://cdn.ncbi.nlm.nih.gov/pmc/blobs/fe5e/4761568/a6679f4ec652/jkaoms-42-2-g001.jpg

文献AI研究员

20分钟写一篇综述,助力文献阅读效率提升50倍。

立即体验

用中文搜PubMed

大模型驱动的PubMed中文搜索引擎

马上搜索

文档翻译

学术文献翻译模型,支持多种主流文档格式。

立即体验