Suppr超能文献

在卵巢癌患者的卵巢组织切片中,存在类似极小胚胎样干细胞的假定NANOG、SOX2和SSEA - 4阳性小干细胞。

Small putative NANOG, SOX2, and SSEA-4-positive stem cells resembling very small embryonic-like stem cells in sections of ovarian tissue in patients with ovarian cancer.

作者信息

Virant-Klun Irma, Kenda-Suster Natasa, Smrkolj Spela

机构信息

Department of Obstetrics and Gynaecology, University Medical Centre Ljubljana, Slajmerjeva 3, 1000, Ljubljana, Slovenia.

出版信息

J Ovarian Res. 2016 Mar 3;9:12. doi: 10.1186/s13048-016-0221-3.

Abstract

BACKGROUND

In previous studies it has been found that in cell cultures of human adult ovaries there is a population of small stem cells with diameters of 2-4 μm, which are present mainly in the ovarian surface epithelium and are comparable to very small embryonic-like stem cells (VSELs) from bone marrow. These cells are not observed by histopathologists in the ovarian tissue due to their small size and unknown clinical significance. Because these cells express a degree of pluripotency, they might be involved in the manifestation of ovarian cancer. Therefore we studied the ovarian tissue sections in women with borderline ovarian cancer and serous ovarian carcinoma to perhaps identify the small putative stem cells in situ.

METHODS

In 27 women with borderline ovarian cancer and 20 women with high-grade serous ovarian carcinoma the ovarian tissue sections were stained, per standard practice, with eosin and hematoxylin staining and on NANOG, SSEA-4 and SOX2 markers, related to pluripotency, using immunohistochemistry. We focused on the presence and localization of small putative stem cells with diameters of up to 5 μm and with the nuclei spread over nearly the full cell volume.

RESULTS

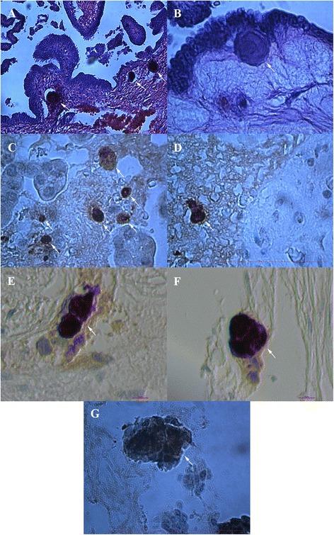
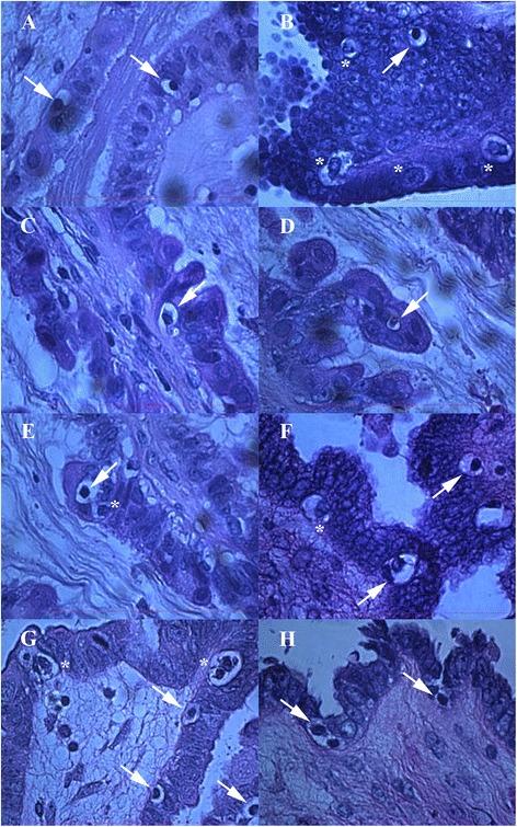
In ovarian sections of both borderline ovarian cancer and serous ovarian carcinoma patients we were able to identify the presence of small round cells complying with the above criteria. Some of these small cells were NANOG-positive, were located among epithelial cells in the ovarian surface epithelium and as a single cell or groups of cells/clusters in typical "chambers", were found only in the presence of ovarian cancer and not in healthy ovaries and are comparable to those in fetal ovaries. We envision that these small cells could be related to NANOG-positive tumor-like structures and oocyte-like cells in similar "chambers" found in sections of cancerous ovaries, which could support their stemness and pluripotency. Further immunohistochemistry revealed a similar population of SSEA-4 and SOX2-positive cells.

CONCLUSIONS

We may conclude that putative small stem cells expressing markers, related to pluripotency, are present in the ovarian tissue sections of women with borderline ovarian cancer and high-grade serous ovarian carcinoma thus indicating their potential involvement in ovarian cancer.

摘要

背景

在先前的研究中发现,在成人卵巢的细胞培养物中存在一群直径为2 - 4μm的小干细胞,它们主要存在于卵巢表面上皮中,与来自骨髓的非常小的类胚胎干细胞(VSELs)类似。由于这些细胞体积小且临床意义不明,组织病理学家在卵巢组织中未观察到它们。因为这些细胞表现出一定程度的多能性,它们可能参与卵巢癌的发生。因此,我们研究了交界性卵巢癌和浆液性卵巢癌患者的卵巢组织切片,以期在原位鉴定出这些假定的小干细胞。

方法

按照标准操作流程,对27例交界性卵巢癌患者和20例高级别浆液性卵巢癌患者的卵巢组织切片进行苏木精和伊红染色,并使用免疫组织化学方法检测与多能性相关的NANOG、SSEA - 4和SOX2标记物。我们重点关注直径达5μm且细胞核几乎占据整个细胞体积的假定小干细胞的存在和定位。

结果

在交界性卵巢癌和浆液性卵巢癌患者的卵巢切片中,我们都能够鉴定出符合上述标准的小圆形细胞的存在。其中一些小细胞NANOG呈阳性,位于卵巢表面上皮的上皮细胞之间,作为单个细胞或细胞群/簇存在于典型的“腔室”中,仅在卵巢癌组织中发现,而在健康卵巢中未发现,并且与胎儿卵巢中的细胞类似。我们推测这些小细胞可能与癌性卵巢切片中类似“腔室”内的NANOG阳性肿瘤样结构和卵母细胞样细胞有关,这可能支持它们的干性和多能性。进一步的免疫组织化学显示了类似的SSEA - 4和SOX2阳性细胞群体。

结论

我们可以得出结论,在交界性卵巢癌和高级别浆液性卵巢癌患者的卵巢组织切片中存在表达与多能性相关标记物的假定小干细胞,这表明它们可能参与了卵巢癌的发生。

https://cdn.ncbi.nlm.nih.gov/pmc/blobs/7ddc/4778328/ac73aa2c3462/13048_2016_221_Fig1_HTML.jpg

文献AI研究员

20分钟写一篇综述,助力文献阅读效率提升50倍。

立即体验

用中文搜PubMed

大模型驱动的PubMed中文搜索引擎

马上搜索

文档翻译

学术文献翻译模型,支持多种主流文档格式。

立即体验