Suppr超能文献

运用波形蛋白和多能性相关标志物的免疫组织化学方法,在浆液性卵巢癌患者的卵巢肿瘤切片中揭示了假定的干细胞和上皮-间质转化。

Putative stem cells and epithelial-mesenchymal transition revealed in sections of ovarian tumor in patients with serous ovarian carcinoma using immunohistochemistry for vimentin and pluripotency-related markers.

作者信息

Kenda Suster Natasa, Smrkolj Spela, Virant-Klun Irma

机构信息

Department of Obstetrics and Gynaecology, University Medical Centre Ljubljana, Slajmerjeva 3, 1000, Ljubljana, Slovenia.

出版信息

J Ovarian Res. 2017 Feb 23;10(1):11. doi: 10.1186/s13048-017-0306-7.

Abstract

BACKGROUND

The mechanism of aggressive character of ovarian cancer and unsuccessful treatment of women with this deadly disease has been recently explained by the theory of cancer stem cells (CSCs). It has been reported that ovarian carcinogenesis and progression of disease is associated with epithelial-mesenchymal transition (EMT). EMT, a physiological cell process during embryonic development and later in life during regeneration, could, when induced in pathological condition, generate CSCs-like cells. Until now EMT in the ovarian tissue has been mainly studied in cell cultures in vitro. The aim of this study was to focus on in situ morphological changes in the ovarian surface epithelium of tumor tissue in women with epithelial ovarian cancer after we applied the antibodies for markers of EMT vimentin and pluripotency-related markers NANOG, SOX2 and SSEA-4.

METHODS

We analyzed ovarian tissue sections of 20 women with high grade serous ovarian carcinoma. After eosin and hematoxylin staining, used in standard practice, immunohistochemistry was performed for vimentin and markers of pluripotency: NANOG, SSEA-4 and SOX2. We focused on the ovarian surface epithelium in order to observe morphological changes in tumor tissue.

RESULTS

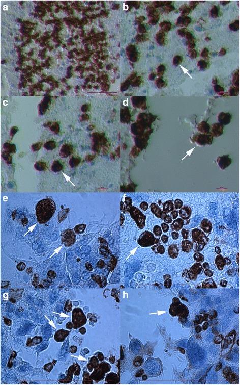
Among epithelial cells of the ovarian surface epithelium in women with serous ovarian carcinoma we observed a population of small NANOG-positive cells with diameters of up to 5 μm and nuclei, which filled almost the entire cell volumes. These small NANOG-positive cells were in some cases concentrated in the regions with morphologically changed epithelial cells. In these regions, a population of bigger round cells with diameters of 10-15 μm with large nuclei, and positively stained for vimentin, NANOG and other markers of pluripotnecy, were released from the surface epithelium. These cells are proposed as CSCs, and possibly originate from small stem cells among epithelial cells. They formed typical cell clusters, invaded the tissue by changing their round shape into a mesenchymal-like phenotype, and contributed to the manifestation of ovarian cancer.

CONCLUSIONS

Our findings show morphological changes in the ovarian surface epithelium in tumor slides of high grade serous ovarian carcinoma and provide a new population of putative CSCs.

摘要

背景

最近,癌症干细胞(CSCs)理论解释了卵巢癌侵袭性特征的机制以及患有这种致命疾病的女性治疗失败的原因。据报道,卵巢癌的发生和疾病进展与上皮-间质转化(EMT)有关。EMT是胚胎发育过程中以及生命后期再生过程中的一种生理细胞过程,在病理状态下被诱导时,可能会产生类似CSCs的细胞。到目前为止,卵巢组织中的EMT主要在体外细胞培养中进行研究。本研究的目的是在应用针对EMT标志物波形蛋白以及多能性相关标志物NANOG、SOX2和SSEA-4的抗体后,关注上皮性卵巢癌女性肿瘤组织中卵巢表面上皮的原位形态学变化。

方法

我们分析了20例高级别浆液性卵巢癌女性的卵巢组织切片。在常规使用的苏木精和伊红染色后,对波形蛋白以及多能性标志物:NANOG、SSEA-4和SOX2进行免疫组织化学检测。我们关注卵巢表面上皮,以观察肿瘤组织中的形态学变化。

结果

在浆液性卵巢癌女性的卵巢表面上皮细胞中,我们观察到一群直径达5μm的小NANOG阳性细胞,其细胞核几乎占据整个细胞体积。这些小NANOG阳性细胞在某些情况下集中在上皮细胞形态发生改变的区域。在这些区域,一群直径为10 - 15μm的较大圆形细胞从表面上皮释放出来,这些细胞具有大细胞核,波形蛋白、NANOG和其他多能性标志物呈阳性染色。这些细胞被认为是CSCs,可能起源于上皮细胞中的小干细胞。它们形成典型的细胞簇,通过将圆形形状转变为间充质样表型侵入组织,并导致卵巢癌的表现。

结论

我们的研究结果显示了高级别浆液性卵巢癌肿瘤切片中卵巢表面上皮的形态学变化,并提供了一群新的假定CSCs。

https://cdn.ncbi.nlm.nih.gov/pmc/blobs/a31a/5324304/0aea7ed2a9ba/13048_2017_306_Fig1_HTML.jpg

文献AI研究员

20分钟写一篇综述,助力文献阅读效率提升50倍。

立即体验

用中文搜PubMed

大模型驱动的PubMed中文搜索引擎

马上搜索

文档翻译

学术文献翻译模型,支持多种主流文档格式。

立即体验