Suppr超能文献

卵巢交界性肿瘤患者卵巢中存在小肿瘤起始干细胞的新群体。

Novel population of small tumour-initiating stem cells in the ovaries of women with borderline ovarian cancer.

机构信息

Department of Obstetrics and Gynaecology, University Medical Centre Ljubljana, 1000 Ljubljana, Slovenia.

出版信息

Sci Rep. 2016 Oct 5;6:34730. doi: 10.1038/srep34730.

Abstract

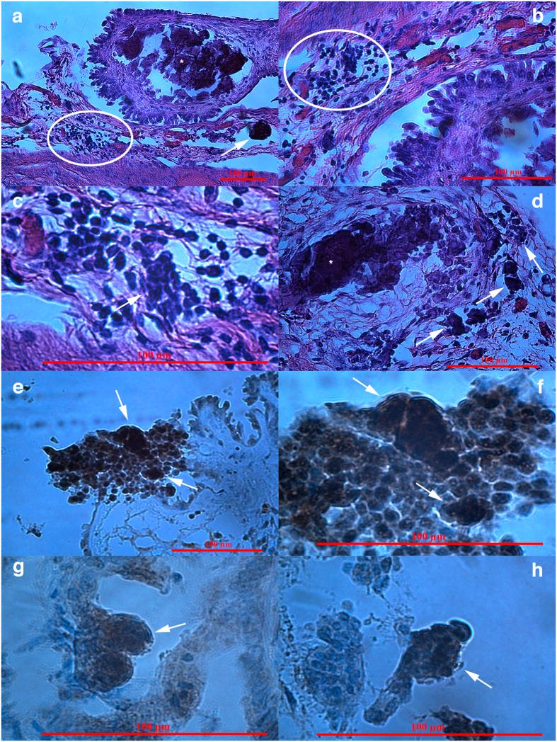
Small stem cells with diameters of up to 5 μm previously isolated from adult human ovaries indicated pluripotency and germinal lineage, especially primordial germ cells, and developed into primitive oocyte-like cells in vitro. Here, we show that a comparable population of small stem cells can be found in the ovarian tissue of women with borderline ovarian cancer, which, in contrast to small stem cells in "healthy" ovaries, formed spontaneous tumour-like structures and expressed some markers related to pluripotency and germinal lineage. The gene expression profile of these small putative cancer stem cells differed from similar cells sorted from "healthy" ovaries by 132 upregulated and 97 downregulated genes, including some important forkhead box and homeobox genes related to transcription regulation, developmental processes, embryogenesis, and ovarian cancer. These putative cancer stem cells are suggested to be a novel population of ovarian tumour-initiating cells in humans.

摘要

先前从成人卵巢中分离出的直径达 5μm 的小干细胞表现出多能性和生殖系,特别是原始生殖细胞,并在体外发育成原始卵母细胞样细胞。在这里,我们表明,在患有交界性卵巢癌的女性的卵巢组织中可以找到类似的小干细胞群,与“健康”卵巢中的小干细胞不同,这些小干细胞自发形成肿瘤样结构,并表达一些与多能性和生殖系相关的标记物。这些小的拟似癌干细胞的基因表达谱与从“健康”卵巢中分离出的类似细胞有 132 个上调和 97 个下调基因的差异,包括一些与转录调控、发育过程、胚胎发生和卵巢癌相关的重要叉头框和同源盒基因。这些拟似癌干细胞被认为是人类卵巢肿瘤起始细胞的一个新群体。

https://cdn.ncbi.nlm.nih.gov/pmc/blobs/caa4/5050448/a674d30ce809/srep34730-f1.jpg

文献AI研究员

20分钟写一篇综述,助力文献阅读效率提升50倍。

立即体验

用中文搜PubMed

大模型驱动的PubMed中文搜索引擎

马上搜索

文档翻译

学术文献翻译模型,支持多种主流文档格式。

立即体验