Suppr超能文献

利用CRISPR/Cas9高效生成肌肉生长抑制素基因变异兔

Efficient Generation of Myostatin Gene Mutated Rabbit by CRISPR/Cas9.

作者信息

Lv Qingyan, Yuan Lin, Deng Jichao, Chen Mao, Wang Yong, Zeng Jian, Li Zhanjun, Lai Liangxue

机构信息

Jilin Provincial Key Laboratory of Animal Embryo Engineering, Institute of Zoonosis, College of Veterinary Medicine, Jilin University, Changchun 130062, China.

CAS Key Laboratory of Regenerative Biology, South China Institute for Stem Cell Biology and Regenerative Medicine, Guangzhou Institutes of Biomedicine and Health, Chinese Academy of Sciences, Guangzhou 510530.

出版信息

Sci Rep. 2016 Apr 26;6:25029. doi: 10.1038/srep25029.

Abstract

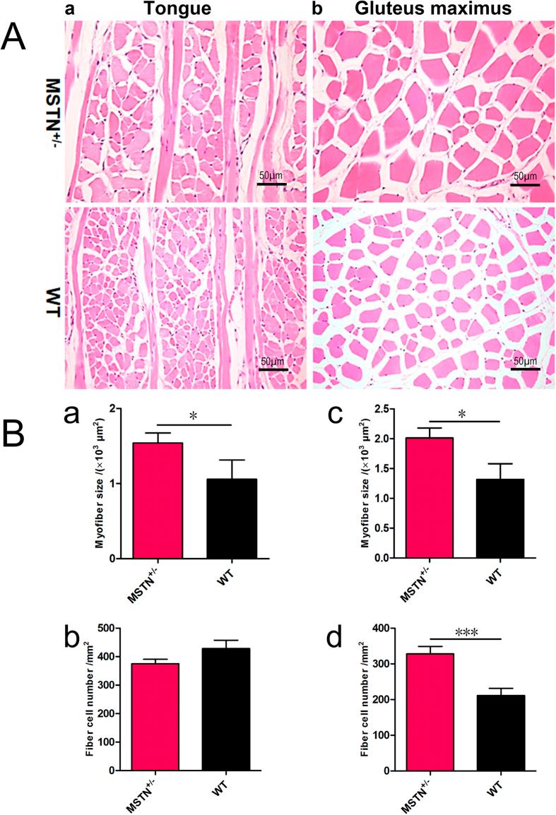
CRISPR/Cas9 has been widely used in generating site-specific genetically modified animal models. Myostatin (MSTN) is a negative regulator of muscle mass, related to muscle growth and differentiation. The knockout of MSTN with the desired phenotype of double muscle has been successfully generated in mice, goats, pigs and cattle, but not in rabbits. In this study, the MSTN knockout (KO) rabbits were generated by co-injection of Cas9 mRNA and sgRNA into zygotes. The typical phenotype of double muscle with hyperplasia or hypertrophy of muscle fiber was observed in MSTN KO rabbits. Furthermore, a similar phenotype was found in the F1 generation, suggesting that the mutation of MSTN could be stably inherited in the MSTN KO rabbits. In summary, we have successfully generated MSTN KO rabbits using CRISPR/Cas9 system with high efficiency, which is a reliable and effective animal model for the study of muscle development and related diseases.

摘要

CRISPR/Cas9已被广泛应用于构建位点特异性转基因动物模型。肌肉生长抑制素(MSTN)是肌肉量的负调节因子,与肌肉生长和分化相关。在小鼠、山羊、猪和牛中已成功培育出具有双肌这一理想表型的MSTN基因敲除动物,但在兔子中尚未实现。在本研究中,通过将Cas9 mRNA和sgRNA共注射到受精卵中培育出了MSTN基因敲除(KO)兔。在MSTN基因敲除兔中观察到了具有肌纤维增生或肥大的典型双肌表型。此外,在F1代中也发现了类似的表型,这表明MSTN基因的突变在MSTN基因敲除兔中能够稳定遗传。总之,我们利用CRISPR/Cas9系统高效地成功培育出了MSTN基因敲除兔,这是一种用于研究肌肉发育及相关疾病的可靠且有效的动物模型。

https://cdn.ncbi.nlm.nih.gov/pmc/blobs/6457/4844959/f7e33d59256e/srep25029-f1.jpg

文献AI研究员

20分钟写一篇综述,助力文献阅读效率提升50倍。

立即体验

用中文搜PubMed

大模型驱动的PubMed中文搜索引擎

马上搜索

文档翻译

学术文献翻译模型,支持多种主流文档格式。

立即体验