Suppr超能文献

评估碳离子放射治疗挽救性治疗局部复发性鼻咽癌的I/II期试验

Phase I/II Trial Evaluating Carbon Ion Radiotherapy for Salvaging Treatment of Locally Recurrent Nasopharyngeal Carcinoma.

作者信息

Kong Lin, Hu Jiyi, Guan Xiyin, Gao Jing, Lu Rong, Lu Jiade J

机构信息

1. Department of Radiation Oncology, Shanghai Proton and Heavy Ion Center, Fudan University Shanghai Cancer Center, Shanghai, China;

2. Department of Radiation Oncology, Shanghai Proton and Heavy Ion Center, Shanghai, China;

出版信息

J Cancer. 2016 Apr 10;7(7):774-83. doi: 10.7150/jca.14399. eCollection 2016.

Abstract

BACKGROUND

Radiation therapy is the mainstay strategy for the treatment of nasopharyngeal cancer (NPC). Intensity-modulated X-ray therapy (IMXT) alone is the current standard for stage I and II NPC. For stage III and IV A/B diseases, concurrent chemotherapy should be provided in addition to IMXT. However, optimal treatment for locally recurrent NPC after previous definitive dose of radiotherapy is lacking. Various techniques including brachytherapy, IMXT, stereotactic radiosurgery or radiotherapy (SRS or SBRT) have been used in the management of locally recurrent NPC. Due to the inherent limitation of these techniques, i.e., limited range of irradiation or over-irradiation to surrounding normal tissues, moderate efficacy has been observed at the cost of severe toxicities. Carbon ion radiotherapy (CIRT) offers potential physical and biological advantages over photon and proton radiotherapy. Due to the inverted dose profile of particle beams and their greater energy deposition within the Bragg peak, precise dose delivery to the target volume(s) without exposing the surrounding organs at risk to extra doses is possible. In addition, CIRT provides an increased relative biological effectiveness (RBE) as compared to photon and proton radiotherapy. Such advantages may translate to improved outcomes after irradiation in terms of disease control in radio-resistant and previously treated, recurrent malignancies. It is therefore reasonable to postulate that recurrent NPC after high-dose radiotherapy could be more resistant to re-irradiation using photons. Reports on the treatment of radio-resistant malignancies in the head and neck region such as melanoma, sarcoma, and adenoid cystic carcinoma (ACC) have demonstrated superior local control rates from CIRT as compared to photon irradiation. Thus patients with recurrent NPC are likely to benefit from the enhanced biological effectiveness of carbon ions. As effective retreatment strategy is lacking for locally recurrent NPC, carbon ion radiation therapy offers an ideal alternate to conventional X-ray irradiation.

METHODS AND DESIGN

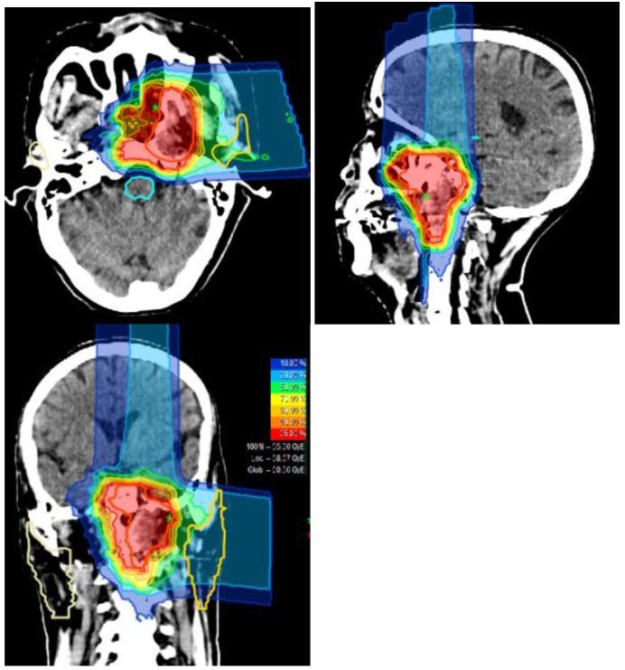
The recommended dose of re-irradiation using CIRT for locally recurrent NPC will be determined in the dose-escalating phase (Phase I) of the study. Efficacy in terms of local progression-free survival (LPFS) and overall survival (OS) will be studied in the second phase of the study. Increasing doses of CIRT using raster scanning technology from 55GyE (22×2.5 GyE) to 65 GyE (26× 2.5 GyE) will be delivered in the Phase I part of the study. The primary endpoint of the Phase I part of the study is acute and sub-acute toxicities; the primary endpoint in the Phase II part is local progression-free survival and overall survival. Using the historical 2-year OS rate of 50% in locally recurrent NPC patients treated with photon or proton, we hypothesize that CIRT can improve the 2-year OS rate to 70%.

DISCUSSION

The utilization of conventional radiation techniques including IMXT, brachytherapy, or stereotactic radiation therapy provides moderate efficacy in the treatment of locally recurrent NPC due to the limitations in dose distribution and biological effectiveness. Improved outcome in terms of treatment-induced toxicity, LC, LPFS, and OS are expected using CIRT due to the physical and biological characteristics of carbon ion beam. However, the recommended dose of CIRT used in re-irradiation for the local NPC focus remain to be determined. The recommended dose as well as the efficacy of CIRT in the treatment of locally recurrent NPC will be evaluated in the present trial.

摘要

背景

放射治疗是鼻咽癌(NPC)治疗的主要策略。单纯调强X线放疗(IMXT)是Ⅰ期和Ⅱ期鼻咽癌的当前标准治疗方法。对于Ⅲ期和ⅣA/B期疾病,除IMXT外还应进行同步化疗。然而,对于先前接受过根治性放疗剂量后的局部复发性鼻咽癌,缺乏最佳治疗方法。包括近距离放疗、IMXT、立体定向放射外科或放疗(SRS或SBRT)在内的各种技术已被用于局部复发性鼻咽癌的治疗。由于这些技术的固有局限性,即照射范围有限或对周围正常组织的过度照射,已观察到疗效中等,但伴有严重毒性。碳离子放疗(CIRT)与光子和质子放疗相比具有潜在的物理和生物学优势。由于粒子束的剂量分布倒置及其在布拉格峰内更大的能量沉积,可以在不使周围危险器官接受额外剂量的情况下将精确剂量传递到靶区。此外,与光子和质子放疗相比,CIRT提供了更高的相对生物学效应(RBE)。这些优势可能转化为在放射抗拒和先前接受过治疗的复发性恶性肿瘤的疾病控制方面照射后改善的结果。因此,可以合理推测,高剂量放疗后的复发性鼻咽癌对再次使用光子放疗可能更具抗性。关于头颈部区域放射抗拒性恶性肿瘤如黑色素瘤、肉瘤和腺样囊性癌(ACC)的治疗报告表明,与光子照射相比,CIRT具有更高的局部控制率。因此,复发性鼻咽癌患者可能受益于碳离子增强的生物学效应。由于局部复发性鼻咽癌缺乏有效的再治疗策略,碳离子放射治疗为传统X线照射提供了理想的替代方法。

方法与设计

在研究的剂量递增阶段(Ⅰ期)确定使用CIRT对局部复发性鼻咽癌进行再照射的推荐剂量。将在研究的第二阶段研究局部无进展生存期(LPFS)和总生存期(OS)方面的疗效。在研究的Ⅰ期部分,使用光栅扫描技术将CIRT剂量从55GyE(22×2.5GyE)增加到65GyE(26×2.5GyE)。研究Ⅰ期部分的主要终点是急性和亚急性毒性;Ⅱ期部分的主要终点是局部无进展生存期和总生存期。根据接受光子或质子治疗的局部复发性鼻咽癌患者的历史2年OS率为50%,我们假设CIRT可将2年OS率提高到70%。

讨论

包括IMXT、近距离放疗或立体定向放射治疗在内的传统放射技术的应用,由于剂量分布和生物学效应的局限性,在局部复发性鼻咽癌的治疗中提供了中等疗效。由于碳离子束的物理和生物学特性,预计使用CIRT在治疗引起的毒性、局部控制(LC)、LPFS和OS方面会有更好的结果。然而,用于局部鼻咽癌病灶再照射的CIRT推荐剂量仍有待确定。本试验将评估CIRT在局部复发性鼻咽癌治疗中的推荐剂量以及疗效。

https://cdn.ncbi.nlm.nih.gov/pmc/blobs/7efe/4860793/87b62da974b7/jcav07p0774g001.jpg

文献AI研究员

20分钟写一篇综述,助力文献阅读效率提升50倍。

立即体验

用中文搜PubMed

大模型驱动的PubMed中文搜索引擎

马上搜索

文档翻译

学术文献翻译模型,支持多种主流文档格式。

立即体验