Suppr超能文献

将H4K20me3映射到衰老细胞的染色质景观上表明,它在通过维持遗传和表观遗传稳定性来控制细胞衰老和肿瘤抑制方面发挥作用。

Mapping H4K20me3 onto the chromatin landscape of senescent cells indicates a function in control of cell senescence and tumor suppression through preservation of genetic and epigenetic stability.

作者信息

Nelson David M, Jaber-Hijazi Farah, Cole John J, Robertson Neil A, Pawlikowski Jeffrey S, Norris Kevin T, Criscione Steven W, Pchelintsev Nikolay A, Piscitello Desiree, Stong Nicholas, Rai Taranjit Singh, McBryan Tony, Otte Gabriel L, Nixon Colin, Clark William, Riethman Harold, Wu Hong, Schotta Gunnar, Garcia Benjamin A, Neretti Nicola, Baird Duncan M, Berger Shelley L, Adams Peter D

机构信息

Institute of Cancer Sciences, University of Glasgow, Glasgow, G61 1BD, UK.

Beatson Institute for Cancer Research, Glasgow, G61 1BD, UK.

出版信息

Genome Biol. 2016 Jul 25;17(1):158. doi: 10.1186/s13059-016-1017-x.

Abstract

BACKGROUND

Histone modification H4K20me3 and its methyltransferase SUV420H2 have been implicated in suppression of tumorigenesis. The underlying mechanism is unclear, although H4K20me3 abundance increases during cellular senescence, a stable proliferation arrest and tumor suppressor process, triggered by diverse molecular cues, including activated oncogenes. Here, we investigate the function of H4K20me3 in senescence and tumor suppression.

RESULTS

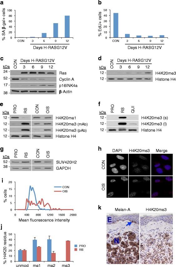
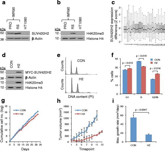
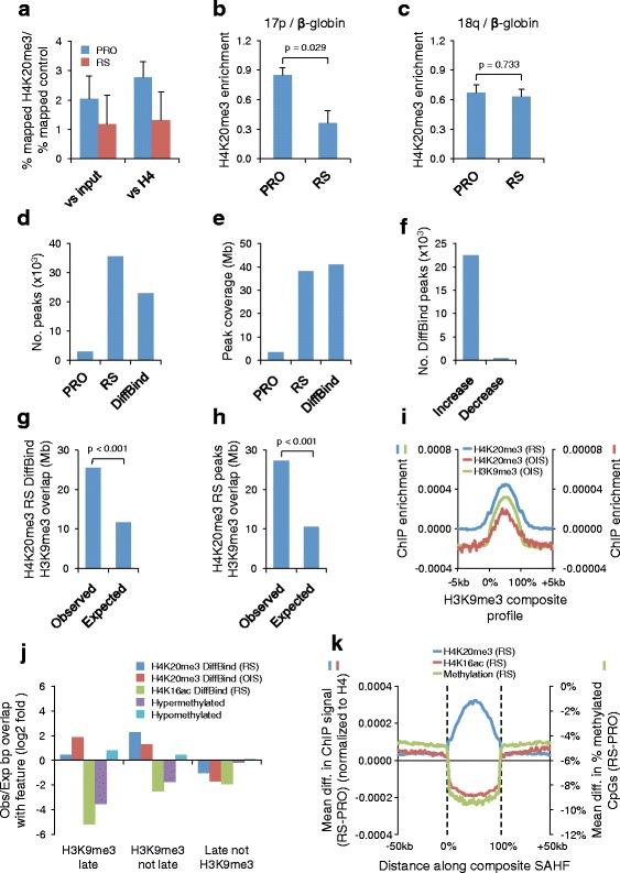
Using immunofluorescence and ChIP-seq we determine the distribution of H4K20me3 in proliferating and senescent human cells. Altered H4K20me3 in senescence is coupled to H4K16ac and DNA methylation changes in senescence. In senescent cells, H4K20me3 is especially enriched at DNA sequences contained within specialized domains of senescence-associated heterochromatin foci (SAHF), as well as specific families of non-genic and genic repeats. Altered H4K20me3 does not correlate strongly with changes in gene expression between proliferating and senescent cells; however, in senescent cells, but not proliferating cells, H4K20me3 enrichment at gene bodies correlates inversely with gene expression, reflecting de novo accumulation of H4K20me3 at repressed genes in senescent cells, including at genes also repressed in proliferating cells. Although elevated SUV420H2 upregulates H4K20me3, this does not accelerate senescence of primary human cells. However, elevated SUV420H2/H4K20me3 reinforces oncogene-induced senescence-associated proliferation arrest and slows tumorigenesis in vivo.

CONCLUSIONS

These results corroborate a role for chromatin in underpinning the senescence phenotype but do not support a major role for H4K20me3 in initiation of senescence. Rather, we speculate that H4K20me3 plays a role in heterochromatinization and stabilization of the epigenome and genome of pre-malignant, oncogene-expressing senescent cells, thereby suppressing epigenetic and genetic instability and contributing to long-term senescence-mediated tumor suppression.

摘要

背景

组蛋白修饰H4K20me3及其甲基转移酶SUV420H2与肿瘤发生抑制有关。尽管在细胞衰老过程中H4K20me3丰度增加,细胞衰老是一种由多种分子信号触发的稳定增殖停滞和肿瘤抑制过程,包括激活的癌基因,但其潜在机制尚不清楚。在此,我们研究H4K20me3在衰老和肿瘤抑制中的功能。

结果

使用免疫荧光和ChIP-seq技术,我们确定了H4K20me3在增殖和衰老的人类细胞中的分布。衰老过程中H4K20me3的改变与衰老过程中H4K16ac和DNA甲基化的变化相关。在衰老细胞中,H4K20me3特别富集于衰老相关异染色质灶(SAHF)的特殊结构域内包含的DNA序列,以及特定的非基因和基因重复家族。增殖细胞和衰老细胞之间H4K20me3的改变与基因表达的变化没有强烈的相关性;然而,在衰老细胞中,而非增殖细胞中,基因体上H4K20me3的富集与基因表达呈负相关,这反映了衰老细胞中H4K20me3在受抑制基因上的从头积累,包括在增殖细胞中也受抑制的基因。尽管SUV420H2的升高会上调H4K20me3,但这并不会加速原代人类细胞的衰老。然而,升高的SUV420H2/H4K20me3会加强癌基因诱导的衰老相关增殖停滞,并减缓体内肿瘤发生。

结论

这些结果证实了染色质在支持衰老表型中的作用,但不支持H4K20me3在衰老起始中起主要作用。相反,我们推测H4K20me3在癌前、表达癌基因的衰老细胞的异染色质化以及表观基因组和基因组的稳定中发挥作用,从而抑制表观遗传和遗传不稳定性,并有助于长期的衰老介导的肿瘤抑制。

https://cdn.ncbi.nlm.nih.gov/pmc/blobs/3c42/4960804/dd17b9e4638c/13059_2016_1017_Fig1_HTML.jpg

文献AI研究员

20分钟写一篇综述,助力文献阅读效率提升50倍。

立即体验

用中文搜PubMed

大模型驱动的PubMed中文搜索引擎

马上搜索

文档翻译

学术文献翻译模型,支持多种主流文档格式。

立即体验