Suppr超能文献

皮肤是媒介传播的非洲锥虫一个重要但被忽视的解剖学储存库。

The skin is a significant but overlooked anatomical reservoir for vector-borne African trypanosomes.

作者信息

Capewell Paul, Cren-Travaillé Christelle, Marchesi Francesco, Johnston Pamela, Clucas Caroline, Benson Robert A, Gorman Taylor-Anne, Calvo-Alvarez Estefania, Crouzols Aline, Jouvion Grégory, Jamonneau Vincent, Weir William, Stevenson M Lynn, O'Neill Kerry, Cooper Anneli, Swar Nono-Raymond Kuispond, Bucheton Bruno, Ngoyi Dieudonné Mumba, Garside Paul, Rotureau Brice, MacLeod Annette

机构信息

Wellcome Trust Centre for Molecular Parasitology, University of Glasgow, Glasgow, United Kingdom.

College of Medical, Veterinary and Life Sciences, University of Glasgow, Glasgow, United Kingdom.

出版信息

Elife. 2016 Sep 22;5:e17716. doi: 10.7554/eLife.17716.

Abstract

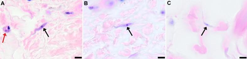
The role of mammalian skin in harbouring and transmitting arthropod-borne protozoan parasites has been overlooked for decades as these pathogens have been regarded primarily as blood-dwelling organisms. Intriguingly, infections with low or undetected blood parasites are common, particularly in the case of Human African Trypanosomiasis caused by . We hypothesise, therefore, the skin represents an anatomic reservoir of infection. Here we definitively show that substantial quantities of trypanosomes exist within the skin following experimental infection, which can be transmitted to the tsetse vector, even in the absence of detectable parasitaemia. Importantly, we demonstrate the presence of extravascular parasites in human skin biopsies from undiagnosed individuals. The identification of this novel reservoir requires a re-evaluation of current diagnostic methods and control policies. More broadly, our results indicate that transmission is a key evolutionary force driving parasite extravasation that could further result in tissue invasion-dependent pathology.

摘要

几十年来,哺乳动物皮肤在携带和传播节肢动物传播的原生动物寄生虫方面的作用一直被忽视,因为这些病原体主要被视为寄生于血液中的生物。有趣的是,血液寄生虫感染程度低或未被检测到的情况很常见,特别是在由[病原体名称未给出]引起的人类非洲锥虫病的病例中。因此,我们推测皮肤是一个解剖学上的感染储存库。在这里,我们明确表明,实验感染后皮肤内存在大量锥虫,即使在没有可检测到的寄生虫血症的情况下,这些锥虫也可以传播给采采蝇媒介。重要的是,我们在未确诊个体的人体皮肤活检中证明了血管外寄生虫的存在。识别这个新的储存库需要重新评估当前的诊断方法和控制政策。更广泛地说,我们的结果表明,传播是驱动寄生虫外渗的关键进化力量,这可能进一步导致依赖组织侵袭的病理学。

https://cdn.ncbi.nlm.nih.gov/pmc/blobs/f454/5065312/214289dbc0a6/elife-17716-fig1.jpg

文献AI研究员

20分钟写一篇综述,助力文献阅读效率提升50倍。

立即体验

用中文搜PubMed

大模型驱动的PubMed中文搜索引擎

马上搜索

文档翻译

学术文献翻译模型,支持多种主流文档格式。

立即体验