Suppr超能文献

通过抑制ATR可克服因SLFN11失活导致的对PARP抑制剂的耐药性。

Resistance to PARP inhibitors by SLFN11 inactivation can be overcome by ATR inhibition.

作者信息

Murai Junko, Feng Ying, Yu Guoying K, Ru Yuanbin, Tang Sai-Wen, Shen Yuqiao, Pommier Yves

机构信息

Developmental Therapeutics Branch and Laboratory of Molecular Pharmacology, Center for Cancer Research, National Cancer Institute, National Institutes of Health, Bethesda, MD, USA.

BioMarin Pharmaceutical Inc., Novato, CA, USA.

出版信息

Oncotarget. 2016 Nov 22;7(47):76534-76550. doi: 10.18632/oncotarget.12266.

Abstract

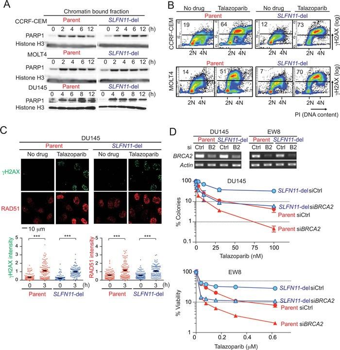
Poly(ADP-ribose) polymerase inhibitors (PARPIs) kill cancer cells by trapping PARP1 and PARP2. Talazoparib, the most potent PARPI inhibitor (PARPI), exhibits remarkable selectivity among the NCI-60 cancer cell lines beyond BRCA inactivation. Our genomic analyses reveal high correlation between response to talazoparib and Schlafen 11 (SLFN11) expression. Causality was established in four isogenic SLFN11-positive and -negative cell lines and extended to olaparib. Response to the talazoparib-temozolomide combination was also driven by SLFN11 and validated in 36 small cell lung cancer cell lines, and in xenograft models. Resistance in SLFN11-deficient cells was caused neither by impaired drug penetration nor by activation of homologous recombination. Rather, SLFN11 induced irreversible and lethal replication inhibition, which was independent of ATR-mediated S-phase checkpoint. The resistance to PARPIs by SLFN11 inactivation was overcome by ATR inhibition, mechanistically because SLFN11-deficient cells solely rely on ATR activation for their survival under PARPI treatment. Our study reveals that SLFN11 inactivation, which is common (~45%) in cancer cells, is a novel and dominant resistance determinant to PARPIs.

摘要

聚(ADP - 核糖)聚合酶抑制剂(PARPIs)通过捕获PARP1和PARP2来杀死癌细胞。他拉唑帕尼是最有效的PARP抑制剂(PARPI),在NCI - 60癌细胞系中,除了BRCA失活外,还表现出显著的选择性。我们的基因组分析揭示了对他拉唑帕尼的反应与施拉芬11(SLFN11)表达之间的高度相关性。在四个同基因的SLFN11阳性和阴性细胞系中确定了因果关系,并扩展到奥拉帕尼。对他拉唑帕尼 - 替莫唑胺联合治疗的反应也由SLFN11驱动,并在36个小细胞肺癌细胞系和异种移植模型中得到验证。SLFN11缺陷细胞中的耐药性既不是由药物渗透受损引起的,也不是由同源重组激活引起的。相反,SLFN11诱导了不可逆的致死性复制抑制,这与ATR介导的S期检查点无关。通过抑制ATR克服了因SLFN11失活而导致的对PARPIs的耐药性,从机制上讲,是因为SLFN11缺陷细胞在PARPI治疗下仅依赖ATR激活来存活。我们的研究表明,SLFN11失活在癌细胞中很常见(约45%),是一种新的、主要的PARPIs耐药决定因素。

https://cdn.ncbi.nlm.nih.gov/pmc/blobs/3507/5340226/0b85cb266cdc/oncotarget-07-76534-g001.jpg

文献AI研究员

20分钟写一篇综述,助力文献阅读效率提升50倍。

立即体验

用中文搜PubMed

大模型驱动的PubMed中文搜索引擎

马上搜索

文档翻译

学术文献翻译模型,支持多种主流文档格式。

立即体验