Suppr超能文献

计算机断层扫描在预测肝门静脉气体预后中的作用。

Role of Computed tomography in predicting prognosis of Hepatic portal venous gas.

作者信息

Moussa Makram, Marzouk Inès, Abdelmoula Kais, Manamani Amira, Dali Nadida, Farhat Leila Charrada Ben, Hendaoui Lotfi

机构信息

Department of Surgery, University Hospital of Bizerta, Tunisia.

Department of Diagnostic and Interventional Radiology, University Hospital Mongi Slim Marsa, Tunisia.

出版信息

Int J Surg Case Rep. 2017;30:177-182. doi: 10.1016/j.ijscr.2016.11.055. Epub 2016 Dec 2.

Abstract

BACKGROUND

The aim of this study was to report through 13 cases the particularities of abdominal computed tomography (CT) aspects of hepatic portal venous gas (HPVG) and its correlation with patient prognosis.

METHODS

We analyzed abundance of HPVG and its association with pneumatosis intestinalis (PI) in correlation with fatal outcome using chi-square tests.

RESULTS

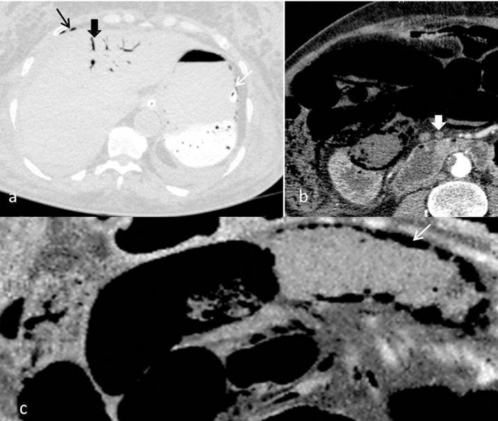
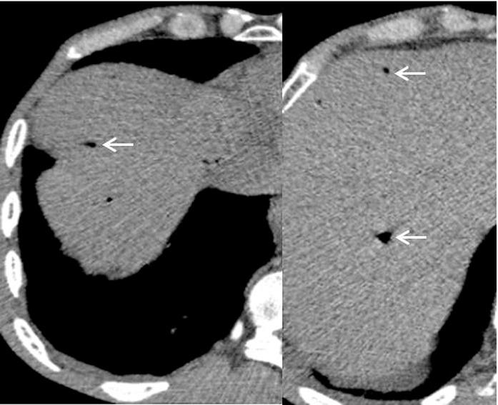
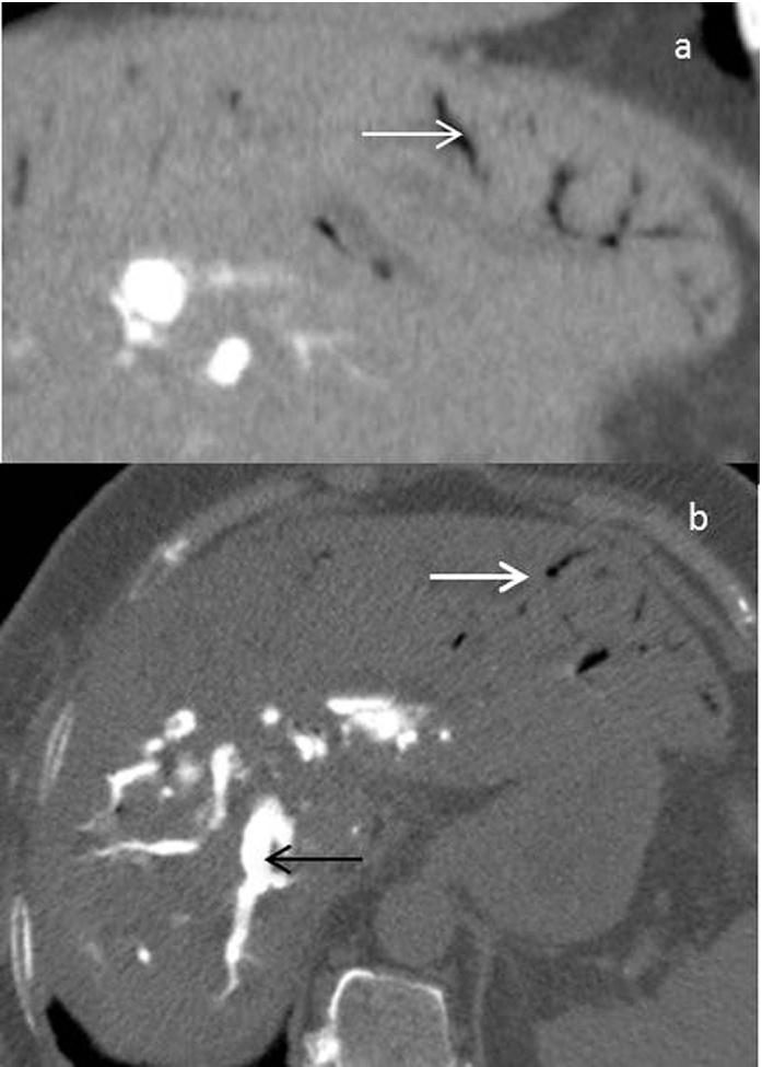
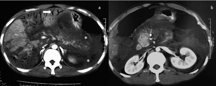
Etiologies were mesenteric infarction (n=5), sigmoid diverticulitis (n= 1), septic shock (n=1), postoperative peritonitis (n=1), acute pancreatitis (n=1), iatrogenic cause (n=3) and idiopathic after a laparotomy (n=1). The outcome was fatal in for 6 patients. Abundance of HPV was expressed in total number of hepatic segments involved. The involvement of 3 or more segments was a sensitive sign for lethal outcome with high sensitivity (100%) but it was not specific (50%). Negative predictive value of this sign was 100% (p≤0.005). Positive predictive value of PI for death was 100% (p≤0.001).

DISCUSSION

Abundance of HPVG is correlated with prognosis. The presence of PI announces poor outcome Negative predictive value of presence of HPVG in 3 or more segments is interesting. Predicting prognosis with CT can help surgeons to assess the most adequate treatment. Iatrogenic causes are increasingly described after interventional radiology procedures with favorable course.

CONCLUSION

The first etiology radiologists should look for in front of HPVG involving more than 3 hepatic segments and associated with PI is intestinal necrosis which announces a poor prognosis. This study shows that outside of shock situations, HPVG involving 2 or less hepatic segments without PI predicts a good outcome.

摘要

背景

本研究旨在通过13例病例报告肝门静脉积气(HPVG)腹部计算机断层扫描(CT)表现的特点及其与患者预后的相关性。

方法

我们使用卡方检验分析HPVG的丰度及其与肠壁积气(PI)的关系以及与致命结局的相关性。

结果

病因包括肠系膜梗死(n = 5)、乙状结肠憩室炎(n = 1)、感染性休克(n = 1)、术后腹膜炎(n = 1)、急性胰腺炎(n = 1)、医源性原因(n = 3)和剖腹术后特发性(n = 1)。6例患者预后为致命。HPV的丰度以受累肝段总数表示。3个或更多肝段受累是致命结局的敏感征象,敏感性高(100%)但不具有特异性(50%)。该征象的阴性预测值为100%(p≤0.005)。PI对死亡的阳性预测值为100%(p≤0.001)。

讨论

HPVG的丰度与预后相关。PI的存在预示预后不良。3个或更多肝段存在HPVG的阴性预测值很有意义。用CT预测预后有助于外科医生评估最合适的治疗方法。介入放射学操作后医源性原因的报道越来越多,且病程良好。

结论

对于累及3个以上肝段且伴有PI的HPVG,放射科医生首先应寻找的病因是肠坏死,这预示着预后不良。本研究表明,在非休克情况下,累及2个或更少肝段且无PI的HPVG预示预后良好。

https://cdn.ncbi.nlm.nih.gov/pmc/blobs/77b7/5198631/4f9358dba55b/gr1.jpg

文献AI研究员

20分钟写一篇综述,助力文献阅读效率提升50倍。

立即体验

用中文搜PubMed

大模型驱动的PubMed中文搜索引擎

马上搜索

文档翻译

学术文献翻译模型,支持多种主流文档格式。

立即体验