Suppr超能文献

通过Notch信号通路利用人诱导多能干细胞衍生的内皮细胞、周细胞、神经元和星形胶质细胞对血脑屏障进行体外建模

In Vitro Modeling of Blood-Brain Barrier with Human iPSC-Derived Endothelial Cells, Pericytes, Neurons, and Astrocytes via Notch Signaling.

作者信息

Yamamizu Kohei, Iwasaki Mio, Takakubo Hitomi, Sakamoto Takumi, Ikuno Takeshi, Miyoshi Mami, Kondo Takayuki, Nakao Yoichi, Nakagawa Masato, Inoue Haruhisa, Yamashita Jun K

机构信息

Laboratory of Stem Cell Differentiation, Department of Cell Growth and Differentiation, Center for iPS Cell Research and Application (CiRA), Kyoto University, 53 Shogoin Kawahara-cho, Sakyo-ku, Kyoto 606-8507, Japan.

Department of Life Science Frontier, CiRA, Kyoto University, Kyoto 606-8507, Japan.

出版信息

Stem Cell Reports. 2017 Mar 14;8(3):634-647. doi: 10.1016/j.stemcr.2017.01.023. Epub 2017 Feb 23.

Abstract

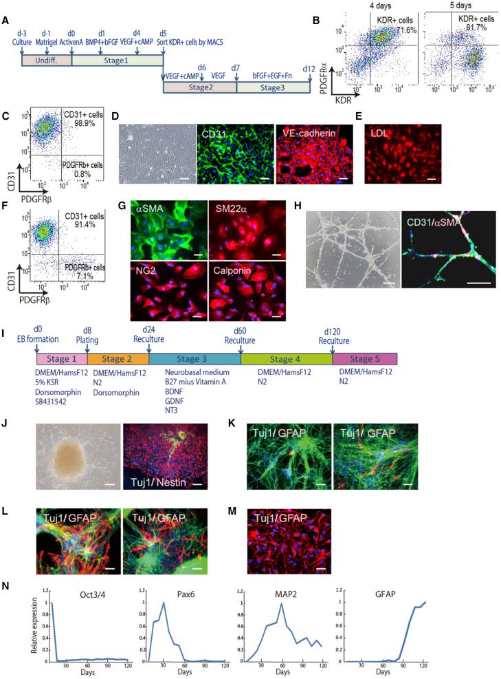
The blood-brain barrier (BBB) is composed of four cell populations, brain endothelial cells (BECs), pericytes, neurons, and astrocytes. Its role is to precisely regulate the microenvironment of the brain through selective substance crossing. Here we generated an in vitro model of the BBB by differentiating human induced pluripotent stem cells (hiPSCs) into all four populations. When the four hiPSC-derived populations were co-cultured, endothelial cells (ECs) were endowed with features consistent with BECs, including a high expression of nutrient transporters (CAT3, MFSD2A) and efflux transporters (ABCA1, BCRP, PGP, MRP5), and strong barrier function based on tight junctions. Neuron-derived Dll1, which activates Notch signaling in ECs, was essential for the BEC specification. We performed in vitro BBB permeability tests and assessed ten clinical drugs by nanoLC-MS/MS, finding a good correlation with the BBB permeability reported in previous cases. This technology should be useful for research on human BBB physiology, pathology, and drug development.

摘要

血脑屏障(BBB)由四种细胞群体组成,即脑内皮细胞(BECs)、周细胞、神经元和星形胶质细胞。其作用是通过选择性物质穿越精确调节大脑的微环境。在此,我们通过将人类诱导多能干细胞(hiPSCs)分化为所有这四种细胞群体,构建了一个血脑屏障的体外模型。当将这四种源自hiPSC的细胞群体进行共培养时,内皮细胞(ECs)具备了与BECs一致的特征,包括营养转运体(CAT3、MFSD2A)和外排转运体(ABCA1、BCRP、PGP、MRP5)的高表达,以及基于紧密连接的强大屏障功能。神经元衍生的Dll1可激活ECs中的Notch信号,对于BEC的特化至关重要。我们进行了体外血脑屏障通透性测试,并通过纳升液相色谱 - 串联质谱法(nanoLC-MS/MS)评估了十种临床药物,发现与先前病例报道的血脑屏障通透性具有良好的相关性。这项技术应有助于人类血脑屏障生理学、病理学及药物开发的研究。

https://cdn.ncbi.nlm.nih.gov/pmc/blobs/d2b8/5355679/7516397b2d68/fx1.jpg

文献AI研究员

20分钟写一篇综述,助力文献阅读效率提升50倍。

立即体验

用中文搜PubMed

大模型驱动的PubMed中文搜索引擎

马上搜索

文档翻译

学术文献翻译模型,支持多种主流文档格式。

立即体验