Suppr超能文献

原发性胆囊纯鳞状细胞癌局部侵犯肝脏、十二指肠和胃:一例报告及文献复习

Primary Pure Squamous Cell Carcinoma of the Gallbladder Locally Invading the Liver, Duodenum, and Stomach: A Case Report and Literature Review.

作者信息

Alpuerto Aldrin C, Mora Maximo E, Robitsek R Jonathan, Schubl Sebastian D

机构信息

Northeast Ohio Medical University, Rootstown, OH 44272, USA.

Department of Pathology, Jamaica Hospital Medical Center, Jamaica, NY 11418, USA.

出版信息

Case Rep Surg. 2017;2017:2534029. doi: 10.1155/2017/2534029. Epub 2017 Jan 29.

Abstract

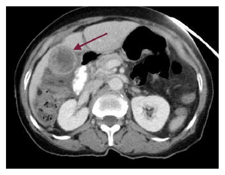
Primary pure squamous cell carcinoma (SCC) of the gallbladder is an exceptionally rare type of tumor that comprises only 1% of all gallbladder cancer. SCC of the gallbladder portends a worse prognosis than the more common adenocarcinoma variant because of its aggressive invasion to local structures and because it is often diagnosed at an advanced stage. Owing to its rarity, diagnosis and management can be challenging. Herein, we present the case of a 75-year-old female complaining of abdominal pain, nausea, and vomiting. Computed tomography and ultrasonography results of the abdomen were consistent with acute cholecystitis and cholelithiasis. Histologic evaluation of the resected mass revealed a malignant tumor with prominent keratinization, confirming the diagnosis of an invasive primary pure SCC of the gallbladder. Microscopic examination showed direct infiltration to the liver, duodenum, and stomach. This case report describes the hospital course of a patient with SCC of the gallbladder and suggests that gallbladder cancer should be considered as part of the differential diagnosis in elderly patients presenting with acute cholecystitis. In addition, this article will review existing literature to examine the utility of different diagnostic techniques and treatment modalities available in the management of gallbladder cancer.

摘要

原发性纯胆囊鳞状细胞癌(SCC)是一种极为罕见的肿瘤类型,仅占所有胆囊癌的1%。胆囊SCC的预后比更常见的腺癌变体更差,这是因为它对局部结构具有侵袭性,且常常在晚期才被诊断出来。由于其罕见性,诊断和治疗颇具挑战性。在此,我们报告一例75岁女性患者,其主诉腹痛、恶心和呕吐。腹部计算机断层扫描和超声检查结果与急性胆囊炎和胆结石相符。对切除肿块的组织学评估显示为一个具有显著角化的恶性肿瘤,确诊为侵袭性原发性纯胆囊SCC。显微镜检查显示肿瘤直接浸润至肝脏、十二指肠和胃。本病例报告描述了一名胆囊SCC患者的住院过程,并提示在患有急性胆囊炎的老年患者中,应将胆囊癌纳入鉴别诊断范围。此外,本文将回顾现有文献,以探讨不同诊断技术和治疗方式在胆囊癌管理中的效用。

https://cdn.ncbi.nlm.nih.gov/pmc/blobs/6b59/5303587/ecf47af1178d/CRIS2017-2534029.001.jpg

文献AI研究员

20分钟写一篇综述,助力文献阅读效率提升50倍。

立即体验

用中文搜PubMed

大模型驱动的PubMed中文搜索引擎

马上搜索

文档翻译

学术文献翻译模型,支持多种主流文档格式。

立即体验