Suppr超能文献

胆囊纯鳞状细胞癌局部侵犯肝脏和腹腔:一例报告并文献复习

Pure squamous cell carcinoma of the gallbladder locally invading the liver and abdominal cavity: A case report and review of the literature.

作者信息

Jin Shan, Zhang Lu, Wei Yuan-Feng, Zhang Hai-Jun, Wang Cheng-Yan, Zou Hong, Hu Jian-Ming, Jiang Jin-Fang, Pang Li-Juan

机构信息

Department of Pathology, the First Affiliated Hospital to Shihezi University School of Medicine and Shihezi University School of Medicine, Shihezi 832002, Xinjiang Uygur Autonomous Region, China.

出版信息

World J Clin Cases. 2019 Dec 6;7(23):4163-4171. doi: 10.12998/wjcc.v7.i23.4163.

Abstract

BACKGROUND

Gallbladder squamous cell carcinoma (GBSCC) is a rare subtype of malignancy and accounts for only 2%-3% of gallbladder malignancies. Due to its rapid development, most patients with GBSCC initially present with an advanced stage of the disease and hence a poor prognosis. The clinicopathological and biological features of SCC remain to be fully elucidated, owing to its uncommon occurrence. The majority of currently available data only described individual case reports or series analyses of trivial cases.

CASE SUMMARY

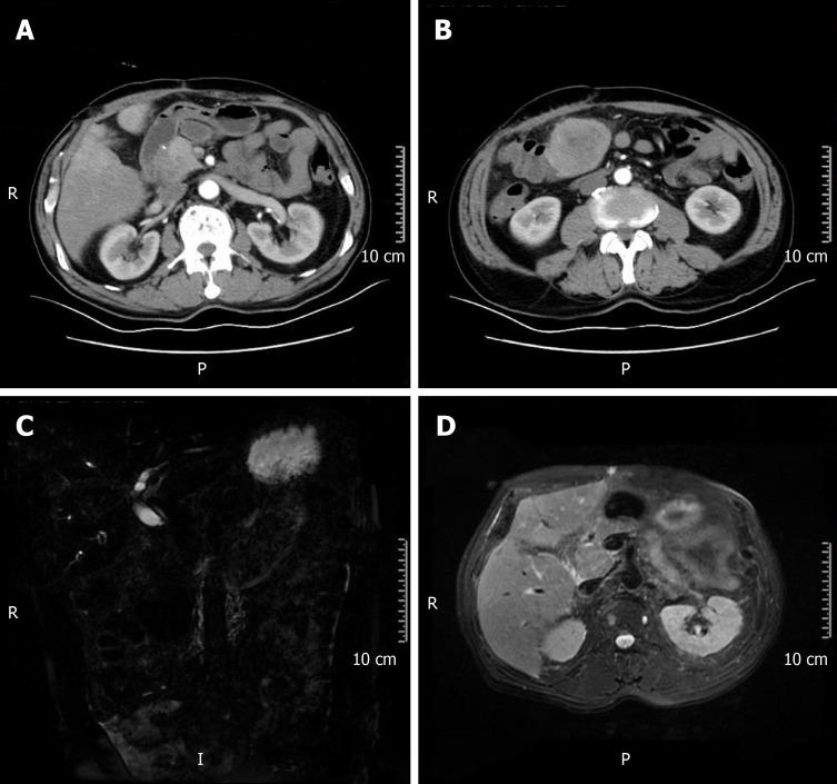
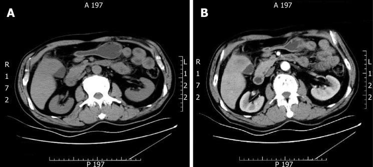
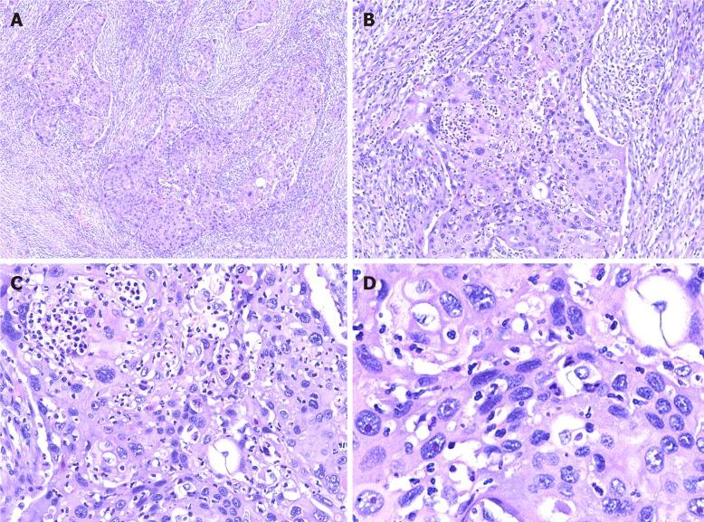
A 64-year-old man was admitted for progressively poor abdominal distension and pain. Liver computed tomography (CT) showed infiltration of gallbladder carcinoma into the adjacent liver, and enlarged retroperitoneal lymph nodes. The patient underwent radical cholecystectomy. Part of the mass was grey and soft, and the neoplastic section showed a purulent-necrotic lesion. Hematoxylin and eosin staining revealed a moderately differentiated SCC. Immunohistochemical studies showed strong staining of the tumor for AE1/3 and CK5/6. Staining for CK19, CK7, and CAM5.2 was positive in the cytoplasm. Systemic chemotherapy was not administered because of the patient's poor physical condition. After five months, CT and magnetic resonance cholangiopancreatography showed multiple metastases in the liver and abdominal cavity.

CONCLUSION

Squamous components of GBSCC may explain the complex biological behavior, and CD109 may be involved in the pathogenesis.

摘要

背景

胆囊鳞状细胞癌(GBSCC)是一种罕见的恶性肿瘤亚型,仅占胆囊恶性肿瘤的2%-3%。由于其发展迅速,大多数GBSCC患者初诊时即为疾病晚期,因此预后较差。由于SCC发病率低,其临床病理和生物学特征仍有待充分阐明。目前大多数可用数据仅描述了个别病例报告或少量病例的系列分析。

病例摘要

一名64岁男性因进行性腹胀和腹痛入院。肝脏计算机断层扫描(CT)显示胆囊癌浸润至邻近肝脏,腹膜后淋巴结肿大。患者接受了根治性胆囊切除术。部分肿块呈灰白色且质地柔软,肿瘤切片显示为脓性坏死病变。苏木精-伊红染色显示为中分化鳞状细胞癌。免疫组织化学研究显示肿瘤细胞对AE1/3和CK5/6呈强阳性染色。CK19、CK7和CAM5.2在细胞质中呈阳性染色。由于患者身体状况较差,未进行全身化疗。五个月后,CT和磁共振胰胆管造影显示肝脏和腹腔内有多处转移。

结论

GBSCC的鳞状成分可能解释其复杂的生物学行为,CD109可能参与其发病机制。

https://cdn.ncbi.nlm.nih.gov/pmc/blobs/a709/6906552/5cc8f7314701/WJCC-7-4163-g001.jpg

文献AI研究员

20分钟写一篇综述,助力文献阅读效率提升50倍。

立即体验

用中文搜PubMed

大模型驱动的PubMed中文搜索引擎

马上搜索

文档翻译

学术文献翻译模型,支持多种主流文档格式。

立即体验