Suppr超能文献

用于绘制包涵体膜图谱的邻近标记系统的开发。

Development of a Proximity Labeling System to Map the Inclusion Membrane.

作者信息

Rucks Elizabeth A, Olson Macy G, Jorgenson Lisa M, Srinivasan Rekha R, Ouellette Scot P

机构信息

Division of Basic Biomedical Sciences, Sanford School of Medicine, The University of South Dakota Vermillion, SD, USA.

出版信息

Front Cell Infect Microbiol. 2017 Feb 15;7:40. doi: 10.3389/fcimb.2017.00040. eCollection 2017.

Abstract

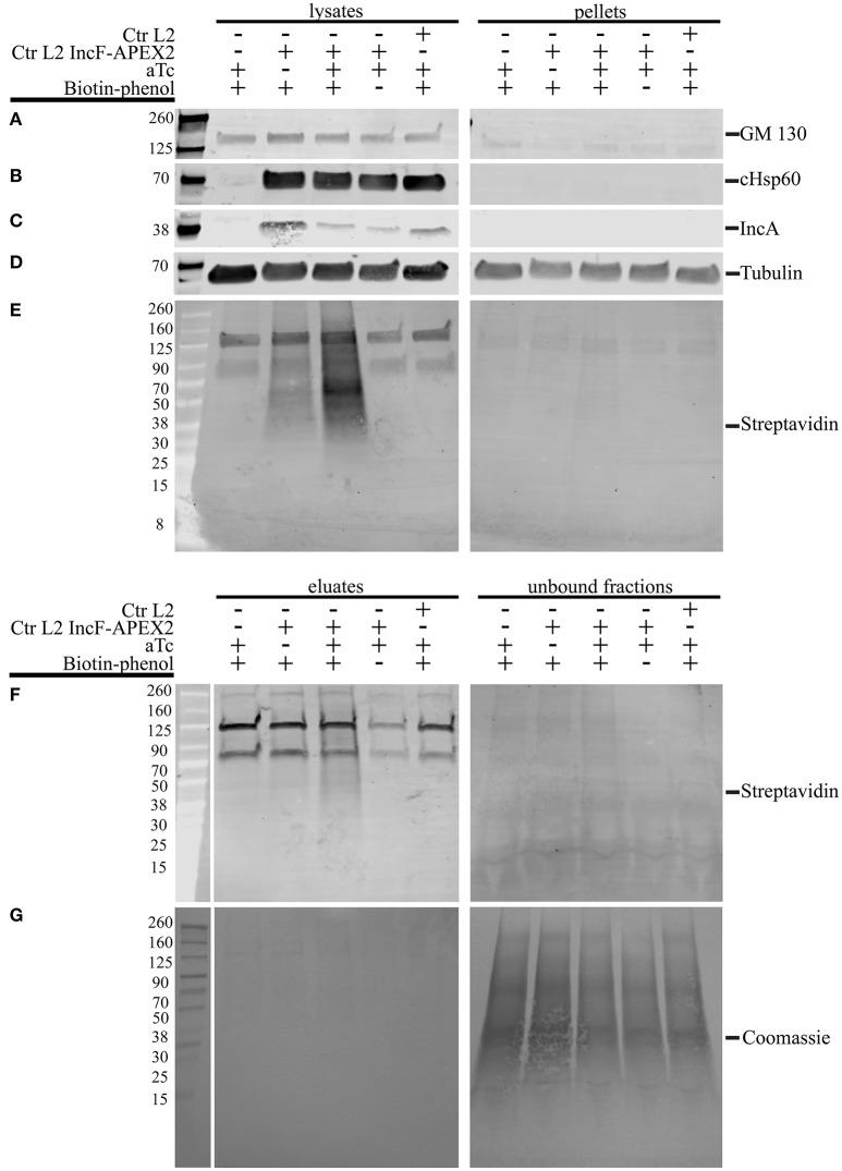
grows within a membrane-bound vacuole termed an inclusion. The cellular processes that support the biogenesis and integrity of this pathogen-specified parasitic organelle are not understood. secretes integral membrane proteins called Incs that insert into the chlamydial inclusion membrane (IM). Incs contain at least two hydrophobic transmembrane domains flanked by termini, which vary in size and are exposed to the host cytosol. In addition, Incs are temporally expressed during the chlamydial developmental cycle. Data examining Inc function are limited because of (i) the difficulty in working with hydrophobic proteins and (ii) the inherent fragility of the IM. We hypothesize that Incs function collaboratively to maintain the integrity of the chlamydial inclusion with small Incs organizing the IM and larger Incs interfacing with host cell machinery. To study this hypothesis, we have adapted a proximity-labeling strategy using APEX2, a mutant soybean ascorbate peroxidase that biotinylates interacting and proximal proteins within minutes in the presence of HO and its exogenous substrate, biotin-phenol. We successfully expressed, from an inducible background, APEX2 alone, or fusion proteins of IncA (TM = transmembrane domain only), IncA, and IncF with APEX2 in serovar L2. IncF-APEX2, IncA -APEX2, and IncA-APEX2 localized to the IM whereas APEX2, lacking a secretion signal, remained associated with the bacteria. We determined the impact of overexpression on inclusion diameter, plasmid stability, and Golgi-derived sphingomyelin acquisition. While there was an overall impact of inducing construct expression, IncF-APEX2 overexpression most negatively impacted these measurements. Importantly, Inc-APEX2 expression in the presence of biotin-phenol resulted in biotinylation of the IM. These data suggest that Inc expression is regulated to control optimal IM biogenesis. We subsequently defined lysis conditions that solubilized known Incs and were compatible with pulldown conditions. Importantly, we have created powerful tools to allow direct examination of the dynamic composition of the IM, which will provide novel insights into key interactions that promote chlamydial growth and development within the inclusion.

摘要

生长在一种称为包涵体的膜结合液泡内。支持这种病原体特异性寄生细胞器生物发生和完整性的细胞过程尚不清楚。 分泌称为Incs的整合膜蛋白,这些蛋白插入衣原体包涵体膜(IM)。Incs包含至少两个疏水跨膜结构域,两侧是大小不同且暴露于宿主细胞质的末端。此外,Incs在衣原体发育周期中按时间表达。由于(i)处理疏水蛋白的困难以及(ii)IM固有的脆弱性,研究Incs功能的数据有限。我们假设Incs协同发挥作用以维持衣原体包涵体的完整性,小的Incs组织IM,大的Incs与宿主细胞机制相互作用。为了研究这一假设,我们采用了一种基于APEX2的邻近标记策略,APEX2是一种突变的大豆抗坏血酸过氧化物酶,在过氧化氢及其外源底物生物素 - 苯酚存在下,能在几分钟内对相互作用和近端的蛋白质进行生物素化。我们成功地从可诱导背景中在血清型L2中单独表达了APEX2,或表达了Incs(仅跨膜结构域)、IncA和IncF与APEX2的融合蛋白。IncF - APEX2、IncA - APEX2和IncA - APEX2定位于IM,而缺乏分泌信号的APEX2仍与细菌相关。我们确定了过表达对包涵体直径、质粒稳定性和高尔基体衍生的鞘磷脂获取的影响。虽然诱导构建体表达有总体影响,但IncF - APEX2过表达对这些测量结果的负面影响最大。重要的是,在生物素 - 苯酚存在下Inc - APEX2的表达导致IM的生物素化。这些数据表明,Incs的表达受到调控以控制最佳的IM生物发生。我们随后确定了可溶解已知Incs且与下拉条件兼容的裂解条件。重要的是,我们创建了强大的工具来直接检查IM的动态组成,这将为促进衣原体在包涵体内生长和发育的关键相互作用提供新的见解。

https://cdn.ncbi.nlm.nih.gov/pmc/blobs/230f/5309262/e9e2ba5a458a/fcimb-07-00040-g0001.jpg

文献AI研究员

20分钟写一篇综述,助力文献阅读效率提升50倍。

立即体验

用中文搜PubMed

大模型驱动的PubMed中文搜索引擎

马上搜索

文档翻译

学术文献翻译模型,支持多种主流文档格式。

立即体验