Suppr超能文献

在一次口腔卫生护理过程中出现的大量颈胸皮下气肿和纵隔气肿

Massive Cervicothoracic Subcutaneous Emphysema and Pneumomediastinum Developing during a Dental Hygiene Procedure.

作者信息

Bocchialini Gabriele, Ambrosi Serena, Castellani Andrea

机构信息

Maxillo-Facial Surgery Unit, Spedali Civili di Brescia, Piazzale Spedali Civili 1, 25123 Brescia, Italy.

出版信息

Case Rep Dent. 2017;2017:7016467. doi: 10.1155/2017/7016467. Epub 2017 Apr 13.

Abstract

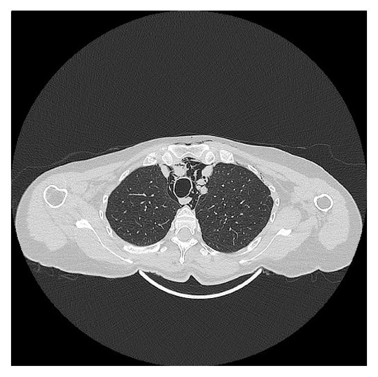
Subcutaneous emphysema is rare during or after dental procedures (usually extractions). Here, we describe the case of a 65-year-old woman who developed massive cervicothoracic subcutaneous emphysema and pneumomediastinum during a dental hygiene procedure employing an artificial airflow. She was diagnosed based on clinical manifestations and computed tomography (CT). CT revealed massive subcutaneous emphysema extending from the superior left eyelid to the diaphragm. We describe the clinical and radiological characteristics of this rare case.

摘要

皮下气肿在牙科手术期间或术后(通常为拔牙)较为罕见。在此,我们描述一例65岁女性的病例,该患者在一次使用人工气流的口腔卫生护理过程中出现了广泛的颈胸部皮下气肿和纵隔气肿。根据临床表现和计算机断层扫描(CT)对其进行了诊断。CT显示广泛的皮下气肿,范围从左上眼睑延伸至至膈肌�至膈肌。我们描述了这一罕见病例的临床和放射学特征。

https://cdn.ncbi.nlm.nih.gov/pmc/blobs/4475/5406744/95d18566d8e6/CRID2017-7016467.001.jpg

文献AI研究员

20分钟写一篇综述,助力文献阅读效率提升50倍。

立即体验

用中文搜PubMed

大模型驱动的PubMed中文搜索引擎

马上搜索

文档翻译

学术文献翻译模型,支持多种主流文档格式。

立即体验