Suppr超能文献

膳食木犀草素通过Nrf2/NF-κB/P53信号通路减轻氯化汞诱导的大鼠慢性肝损伤。

Dietary luteolin attenuates chronic liver injury induced by mercuric chloride via the Nrf2/NF-κB/P53 signaling pathway in rats.

作者信息

Zhang Haili, Tan Xiao, Yang Daqian, Lu Jingjing, Liu Biying, Baiyun Ruiqi, Zhang Zhigang

机构信息

College of Veterinary Medicine, Northeast Agricultural University, Harbin, 150030, China.

出版信息

Oncotarget. 2017 Jun 20;8(25):40982-40993. doi: 10.18632/oncotarget.17334.

Abstract

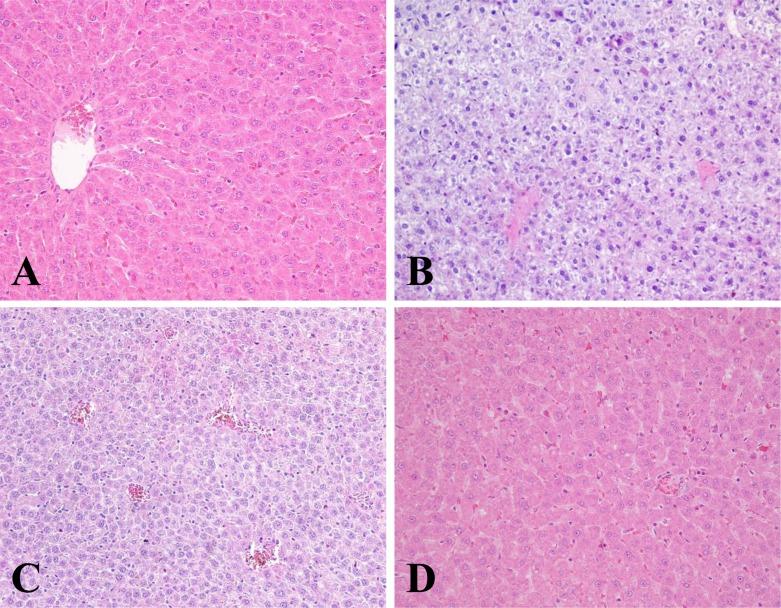
Mercury exposure is a common cause of metal poisoning which is biotransformed to highly toxic metabolites thus eliciting biochemical alterations and oxidative stress. Luteolin, a phenolic compound found in many natural products, has multiple biological functions. Our study was aimed to explore the biological effects of luteolin in a liver injury model induced in rats by mercuric chloride (HgCl2). Criteria for injury included liver enzyme, glutathione and malondialdehyde levels, histopathology, TUNEL assay, hepatocyte viability and reactive oxygen species levels. The results showed that luteolin protected against HgCl2-induced liver injury. Luteolin increased total nuclear factor-erythroid-2-related factor 2 (Nrf2) levels in the presence of HgCl2. Upregulation of its downstream factors, heme oxygenase-1 and NAD(P)H quinone oxidoreductase 1, was also observed. This suggested that protection by luteolin against HgCl2-induced liver injury involved Nrf2 pathway activation. Luteolin also decreased expression of nuclear factor-κB (NF-κB) and P53. HgCl2 exposure led to increased Bcl-associated X protein (Bax), and decreased Bcl-2-related protein long form of Bcl-x (Bcl-xL) and B-cell leukemia/lymphoma-2 (Bcl-2) expression, leading to an increased Bax/Bcl-2 ratio. Taken together, our data suggested that decreasing oxidative stress is a protective mechanism of luteolin against development of HgCl2-induced liver injury, through the Nrf2/NF-κB/P53 signaling pathway in rats.

摘要

汞暴露是金属中毒的常见原因,汞会被生物转化为剧毒代谢物,从而引发生化改变和氧化应激。木犀草素是一种存在于许多天然产物中的酚类化合物,具有多种生物学功能。我们的研究旨在探讨木犀草素在氯化汞(HgCl2)诱导的大鼠肝损伤模型中的生物学效应。损伤标准包括肝酶、谷胱甘肽和丙二醛水平、组织病理学、TUNEL 检测、肝细胞活力和活性氧水平。结果表明,木犀草素可预防 HgCl2 诱导的肝损伤。在存在 HgCl2 的情况下,木犀草素可提高总核因子红系 2 相关因子 2(Nrf2)水平。还观察到其下游因子血红素加氧酶-1 和 NAD(P)H 醌氧化还原酶 1 的上调。这表明木犀草素对 HgCl2 诱导的肝损伤的保护作用涉及 Nrf2 途径的激活。木犀草素还可降低核因子-κB(NF-κB)和 P53 的表达。HgCl2 暴露导致 Bcl 相关 X 蛋白(Bax)增加,Bcl-2 相关蛋白 Bcl-x 长形式(Bcl-xL)和 B 细胞白血病/淋巴瘤-2(Bcl-2)表达降低,导致 Bax/Bcl-2 比值增加。综上所述,我们的数据表明,降低氧化应激是木犀草素通过大鼠 Nrf2/NF-κB/P53 信号通路预防 HgCl2 诱导的肝损伤发展的一种保护机制。

https://cdn.ncbi.nlm.nih.gov/pmc/blobs/7d36/5522226/dbcd4caa2bc1/oncotarget-08-40982-g001.jpg

文献AI研究员

20分钟写一篇综述,助力文献阅读效率提升50倍。

立即体验

用中文搜PubMed

大模型驱动的PubMed中文搜索引擎

马上搜索

文档翻译

学术文献翻译模型,支持多种主流文档格式。

立即体验