Suppr超能文献

抗结缔组织生长因子(CTGF/CCN2)单克隆抗体可减轻系统性硬化症小鼠模型中的皮肤纤维化。

Anti-connective tissue growth factor (CTGF/CCN2) monoclonal antibody attenuates skin fibrosis in mice models of systemic sclerosis.

作者信息

Makino Katsunari, Makino Tomoko, Stawski Lukasz, Lipson Kenneth E, Leask Andrew, Trojanowska Maria

机构信息

Arthritis Center, Boston University School of Medicine, 72 East Concord Street, E-5, Boston, MA, 02118, USA.

FibroGen, Inc, San Francisco, CA, USA.

出版信息

Arthritis Res Ther. 2017 Jun 13;19(1):134. doi: 10.1186/s13075-017-1356-3.

Abstract

BACKGROUND

Systemic sclerosis (SSc) is characterized by fibrosis of the skin and internal organs. Although the involvement of connective tissue growth factor (CTGF/CCN2) has been well-documented in SSc fibrosis, the therapeutic potential of targeting CTGF in SSc has not been fully investigated. Our aim was to examine the therapeutic potential of CTGF blockade in a preclinical model of SSc using two approaches: smooth muscle cell fibroblast-specific deletion of CTGF (CTGF knockout (KO)) or a human anti-CTGF monoclonal antibody, FG-3019.

METHODS

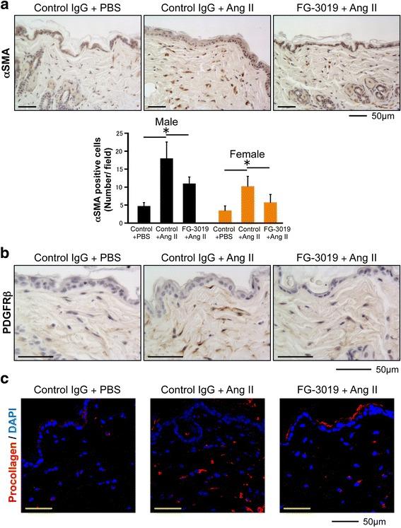
Angiotensin II (Ang II) was administered for 14 days by subcutaneous osmotic pump to CTGF KO or C57BL/6 J mice. FG-3019 was administered intraperitoneally three times per week for 2 weeks. Skin fibrosis was evaluated by histology and hydroxyproline assay. Immunohistochemistry staining was used for alpha smooth muscle actin (αSMA), platelet-derived growth factor receptor β (PDGFRβ), pSmad2, CD45, von Willebrand factor (vWF), and immunofluorescence staining was utilized for procollagen and Fsp1.

RESULTS

Ang II-induced skin fibrosis was mitigated in both CTGF KO and FG-3019-treated mice. The blockade of CTGF reduced the number of cells expressing PDGFRβ, procollagen, αSMA, pSmad2, CD45, and Fsp1 in the dermis. In addition, inhibition of CTGF attenuated vascular injury as measured by the presence of vWF-positive cells.

CONCLUSIONS

Our data indicate that inhibition of CTGF signaling presents an attractive therapeutic approach in SSc.

摘要

背景

系统性硬化症(SSc)的特征是皮肤和内脏器官纤维化。尽管结缔组织生长因子(CTGF/CCN2)在SSc纤维化中的作用已有充分记录,但针对CTGF在SSc中的治疗潜力尚未得到充分研究。我们的目的是使用两种方法在SSc临床前模型中研究CTGF阻断的治疗潜力:平滑肌细胞成纤维细胞特异性缺失CTGF(CTGF基因敲除(KO))或人抗CTGF单克隆抗体FG-3019。

方法

通过皮下渗透泵对CTGF基因敲除小鼠或C57BL/6 J小鼠给予血管紧张素II(Ang II)14天。FG-3019每周腹腔注射三次,共2周。通过组织学和羟脯氨酸测定评估皮肤纤维化。免疫组织化学染色用于检测α平滑肌肌动蛋白(αSMA)、血小板衍生生长因子受体β(PDGFRβ)、磷酸化Smad2、CD45、血管性血友病因子(vWF),免疫荧光染色用于检测前胶原和Fsp1。

结果

在CTGF基因敲除小鼠和接受FG-3019治疗的小鼠中,Ang II诱导的皮肤纤维化均得到缓解。CTGF的阻断减少了真皮中表达PDGFRβ、前胶原、αSMA、磷酸化Smad2、CD45和Fsp1的细胞数量。此外,通过vWF阳性细胞的存在来衡量,CTGF的抑制减轻了血管损伤。

结论

我们的数据表明,抑制CTGF信号通路在SSc中是一种有吸引力的治疗方法。

https://cdn.ncbi.nlm.nih.gov/pmc/blobs/ffdc/5470189/fcf46a0509ed/13075_2017_1356_Fig1_HTML.jpg

文献AI研究员

20分钟写一篇综述,助力文献阅读效率提升50倍。

立即体验

用中文搜PubMed

大模型驱动的PubMed中文搜索引擎

马上搜索

文档翻译

学术文献翻译模型,支持多种主流文档格式。

立即体验