Suppr超能文献

EZH2 介导的 TIMP2 表观遗传沉默促进卵巢癌迁移和侵袭。

EZH2-mediated epigenetic silencing of TIMP2 promotes ovarian cancer migration and invasion.

机构信息

Department of Obstetrics and Gynecology, Union Hospital, Tongji Medical College, Huazhong University of Science and Technology, Wuhan, 430022, China.

Department of Obstetrics and Gynecology, First Affiliated Hospital, School of Medicine, Shihezi University, Shihezi, 832008, China.

出版信息

Sci Rep. 2017 Jun 15;7(1):3568. doi: 10.1038/s41598-017-03362-z.

Abstract

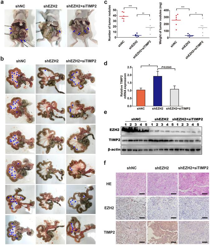
Enhancer of zeste homolog 2 (EZH2) is often increased in malignant tumors and is involved in metastasis. EZH2 silences gene expression by tri-methylating the lysine 27 residue of histone H3 (H3K27me3). However, the mechanism underlying EZH2 promotion of ovarian cancer metastasis remains elusive. Here, we showed that EZH2 is up-regulated in ovarian cancer and is associated with tumor metastasis and poor survival by mRNA sequencing and microarray results from databases. Tissue microarray and immunohistochemistry results revealed that EZH2 was negatively correlated with the expression of tissue inhibitor of metalloproteinases 2 (TIMP2). EZH2 overexpression inhibited TIMP2 expression and promoted proteolytic activities of matrix metalloproteinases 2 and 9 and vice versa. EZH2 promoted ovarian cancer invasion and migration, which could be largely reversed by TIMP2 down-regulation in vitro and in vivo. Both H3K27me3 inhibition and demethylation could reduce methylation of the TIMP2 promoter and finally reactivate TIMP2 transcription. The presence of EZH2 and H3K27me3 at the TIMP2 promoter was confirmed by chromatin immunoprecipitation. H3K27me3 and DNA methyltransferases at the promoter were significantly increased by EZH2 overexpression. These results suggest that EZH2 inhibits TIMP2 expression via H3K27me3 and DNA methylation, which relieve the repression of MMP and facilitate ovarian cancer invasion and migration.

摘要

增强子结合锌指蛋白 2(EZH2)在恶性肿瘤中常增加,并且参与转移。EZH2 通过三甲基化组蛋白 H3 的赖氨酸 27 残基(H3K27me3)使基因沉默。然而,EZH2 促进卵巢癌转移的机制仍然难以捉摸。在这里,我们通过数据库中的 mRNA 测序和微阵列结果表明,EZH2 在卵巢癌中上调,与肿瘤转移和不良预后相关。组织微阵列和免疫组织化学结果表明,EZH2 与组织金属蛋白酶抑制剂 2(TIMP2)的表达呈负相关。EZH2 过表达抑制 TIMP2 表达并促进基质金属蛋白酶 2 和 9 的蛋白水解活性,反之亦然。EZH2 促进卵巢癌侵袭和迁移,这在体外和体内均可通过 TIMP2 下调得到很大逆转。H3K27me3 抑制和去甲基化均可降低 TIMP2 启动子的甲基化,最终重新激活 TIMP2 转录。染色质免疫沉淀证实了 EZH2 和 H3K27me3 在 TIMP2 启动子上的存在。EZH2 过表达显著增加了启动子处的 H3K27me3 和 DNA 甲基转移酶。这些结果表明,EZH2 通过 H3K27me3 和 DNA 甲基化抑制 TIMP2 表达,从而解除 MMP 的抑制作用,促进卵巢癌侵袭和迁移。

https://cdn.ncbi.nlm.nih.gov/pmc/blobs/4b55/5472630/589ce88eccac/41598_2017_3362_Fig1_HTML.jpg

文献AI研究员

20分钟写一篇综述,助力文献阅读效率提升50倍。

立即体验

用中文搜PubMed

大模型驱动的PubMed中文搜索引擎

马上搜索

文档翻译

学术文献翻译模型,支持多种主流文档格式。

立即体验