Suppr超能文献

利用 miniCEP290 片段进行基因治疗可延缓莱伯先天性黑矇症小鼠模型中的光感受器变性。

Gene Therapy Using a miniCEP290 Fragment Delays Photoreceptor Degeneration in a Mouse Model of Leber Congenital Amaurosis.

机构信息

1 Department of Ophthalmology, UMASS Medical School, Worcester, Massachusetts.

2 Horae Gene Therapy Center , UMASS Medical School, Worcester, Massachusetts.

出版信息

Hum Gene Ther. 2018 Jan;29(1):42-50. doi: 10.1089/hum.2017.049. Epub 2017 Jul 5.

Abstract

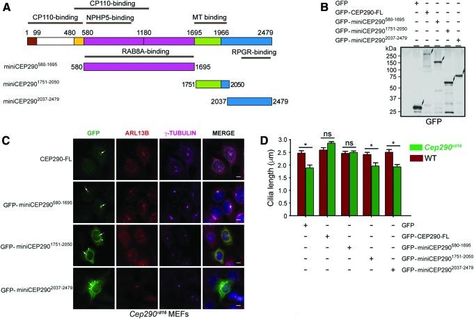
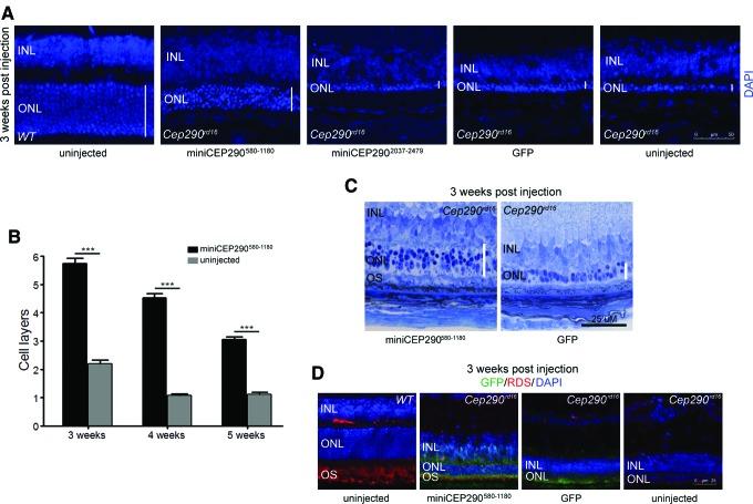
Mutations in the cilia-centrosomal protein CEP290 are frequently observed in autosomal recessive childhood blindness disorder Leber congenital amaurosis (LCA). No treatment or cure currently exists for this disorder. The Cep290 (retinal degeneration 16) mouse (a model of LCA) carries a mutation in the Cep290 gene. This mutation leads to shorter cilia formation and defective photoreceptor structure and function. A roadblock to developing a gene replacement strategy for CEP290 using conventional adeno-associated virus (AAV) vectors is its large size. The identification and characterization is reported of a miniCEP290 gene that is amenable to AAV2/8-mediated delivery and delaying retinal degeneration in the Cep290 mice. Using the ability of Cep290 mouse embryonic fibroblasts to from shorter cilia as a platform, a human CEP290 domain encoded by amino acids 580-1180 (miniCEP290) was identified that can recover the cilia length in vitro. Furthermore, subretinal injection of AAV particles carrying the cDNA expressing miniCEP290 into neonatal Cep290 mice resulted in significantly improved photoreceptor survival, morphology, and function compared to control injected mice. These studies show the potential of using a truncated CEP290 to treat this fast progressing and devastating disease.

摘要

CEP290 基因突变常发生于常染色体隐性遗传的儿童失明疾病莱伯先天性黑矇(LCA)中。目前这种疾病尚无治疗或治愈方法。Cep290(视网膜变性 16)小鼠(LCA 的模型)携带 Cep290 基因的突变。这种突变导致纤毛形成变短和感光器结构和功能缺陷。使用传统的腺相关病毒(AAV)载体开发 CEP290 的基因替换策略的一个障碍是其较大的尺寸。本文报道了一种可用于 AAV2/8 介导传递的小型 Cep290 基因,该基因可延迟 Cep290 小鼠的视网膜变性。利用 Cep290 小鼠胚胎成纤维细胞形成较短纤毛的能力作为平台,鉴定出一个编码人类 Cep290 第 580-1180 位氨基酸的 CEP290 结构域(miniCEP290),该结构域可在体外恢复纤毛长度。此外,将携带表达 miniCEP290 cDNA 的 AAV 颗粒通过视网膜下注射入新生的 Cep290 小鼠中,与对照注射的小鼠相比,显著改善了感光器的存活、形态和功能。这些研究表明,使用截断的 CEP290 治疗这种快速进展和破坏性疾病具有潜力。

https://cdn.ncbi.nlm.nih.gov/pmc/blobs/1e05/5770090/59796d15307b/fig-1.jpg

文献AI研究员

20分钟写一篇综述,助力文献阅读效率提升50倍。

立即体验

用中文搜PubMed

大模型驱动的PubMed中文搜索引擎

马上搜索

文档翻译

学术文献翻译模型,支持多种主流文档格式。

立即体验