Suppr超能文献

非小细胞肺癌中程序性细胞死亡配体1(PD-L1)免疫组化检测不同抗体克隆的比较

Comparison of Different Antibody Clones for Immunohistochemistry Detection of Programmed Cell Death Ligand 1 (PD-L1) on Non-Small Cell Lung Carcinoma.

作者信息

Parra Edwin R, Villalobos Pamela, Mino Barbara, Rodriguez-Canales Jaime

机构信息

Departments of Translational Molecular Pathology, The University of Texas MD Anderson Cancer Center, Houston, TX.

出版信息

Appl Immunohistochem Mol Morphol. 2018 Feb;26(2):83-93. doi: 10.1097/PAI.0000000000000531.

Abstract

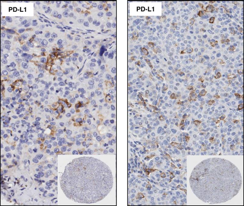
Programmed cell death ligand 1 (PD-L1) is a major immune checkpoint protein that mediates antitumor immune suppression and response. Preliminary data suggest that its detection using immunohistochemistry (IHC) in formalin-fixed and paraffin-embedded tissues may predict clinical response to PD-1/PD-L1 therapy. In diagnostic pathology, it is essential to count with a validated IHC that can reliably detect PD-L1-positive cases. The present study was conducted to compare and validate different PD-L1 commercial clones and identify which ones can be reliably used by surgical pathologist to detect PD-L1 expression in human cancer tissues. Eight commercial available PD-L1 clones were tested and compared with a noncommercial PD-L1 antibody clone 5H1. Western blot and IHC using cell lines and human tissues were used to validate these clones. From all PD-L1 antibodies, only the clones E1L3N, E1J2J, SP142, 28-8, 22C3, and SP263 passed the Western blot and IHC validation, providing similar pattern than the clone 5H1 and then they were tested in 259 non-small cell lung cancer cases placed in 9 tissue microarrays. Among all cases, only those with ≥2 cores were included (185 cases). Positive and significant correlation was found between the median PD-L1 H-score in tumor and stroma compartments, for all selected antibodies. Overall, 56 of 185 cases were detected as positive cases in malignant cells expressing membranous PD-L1 by all the clones. However, the clone SP263 identified more PD-L1-positive cases compared with the other clones. Our results show that clones E1L3N, E1J2J, SP142, 28-8, 22C3, and SP263 provide positive membrane staining pattern comparable with clone 5H1. These commercial clones are comparable, but a careful evaluation by the pathologist is necessary to minimize error of positive misinterpretations.

摘要

程序性细胞死亡配体1(PD-L1)是一种主要的免疫检查点蛋白,可介导抗肿瘤免疫抑制和反应。初步数据表明,在福尔马林固定石蜡包埋组织中使用免疫组织化学(IHC)检测它可能预测对PD-1/PD-L1治疗的临床反应。在诊断病理学中,使用经过验证的能够可靠检测PD-L1阳性病例的免疫组织化学方法至关重要。本研究旨在比较和验证不同的PD-L1商业克隆,并确定外科病理学家可可靠用于检测人类癌症组织中PD-L1表达的克隆。测试了8种市售的PD-L1克隆,并与一种非商业性PD-L1抗体克隆5H1进行比较。使用细胞系和人体组织进行蛋白质免疫印迹和免疫组织化学以验证这些克隆。在所有PD-L1抗体中,只有克隆E1L3N、E1J2J、SP142、28-8、22C3和SP263通过了蛋白质免疫印迹和免疫组织化学验证,其染色模式与克隆5H1相似,然后在9个组织微阵列中的259例非小细胞肺癌病例中进行测试。在所有病例中,仅纳入那些有≥2个组织芯块的病例(185例)。对于所有选定的抗体,在肿瘤和基质区域的中位PD-L1 H评分之间发现了正相关且具有显著性。总体而言,185例病例中有56例被所有克隆检测为表达膜性PD-L1的恶性细胞阳性病例。然而,与其他克隆相比,克隆SP263识别出更多的PD-L1阳性病例。我们的结果表明,克隆E1L3N、E1J2J、SP142、28-8、22C3和SP263提供了与克隆5H1相当的阳性膜染色模式。这些商业克隆具有可比性,但病理学家需要仔细评估以尽量减少阳性误判的误差。

https://cdn.ncbi.nlm.nih.gov/pmc/blobs/0dad/5815635/790fd96ac81f/pai-26-83-g002.jpg

文献AI研究员

20分钟写一篇综述,助力文献阅读效率提升50倍。

立即体验

用中文搜PubMed

大模型驱动的PubMed中文搜索引擎

马上搜索

文档翻译

学术文献翻译模型,支持多种主流文档格式。

立即体验