Suppr超能文献

对42例患有变应性支气管肺曲霉菌病的哮喘儿童的回顾。

A review of 42 asthmatic children with allergic bronchopulmonary aspergillosis.

作者信息

Shah Ashok, Kunal Shekhar

机构信息

Department of Pulmonary Medicine, Vallabhbhai Patel Chest Institute, University of Delhi, Delhi 110 007, India.

出版信息

Asia Pac Allergy. 2017 Jul;7(3):148-155. doi: 10.5415/apallergy.2017.7.3.148. Epub 2017 Jul 19.

Abstract

BACKGROUND

Allergic bronchopulmonary aspergillosis (ABPA) in children with asthma, not associated with cystic fibrosis, is yet to receive the recognition it deserves.

OBJECTIVE

To highlight the presentation of ABPA in children with asthma.

METHODS

This retrospective review documents the occurrence of pediatric ABPA over a period of 31 years in one unit. Children with asthma, eosinophilia and infiltrates on chest radiograph were screened for ABPA. In these patients, demonstration of immediate hypersensitivity response against species along with serological profile and pulmonary function testing were done. Bronchography/computed tomography (CT) of the chest demonstrated central bronchiectasis (CB). CT of the paranasal sinuses was done in patients with upper airways symptoms. In those suspected with allergic sinusitis (AAS) consent was sought from the parents for the invasive procedure needed for the diagnosis of AAS.

RESULTS

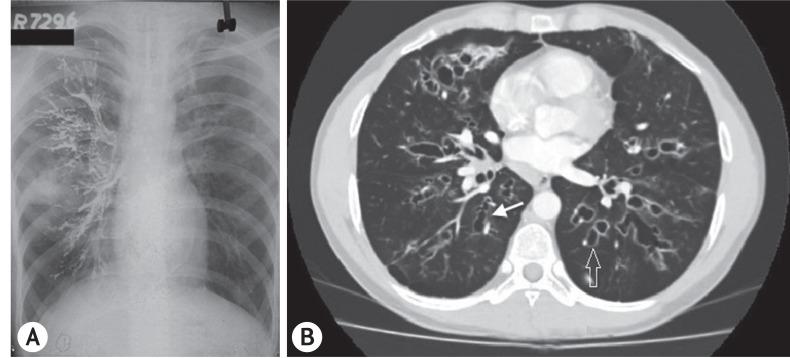
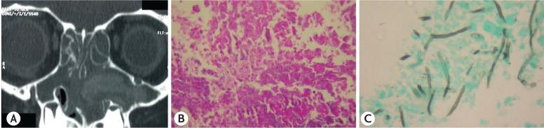
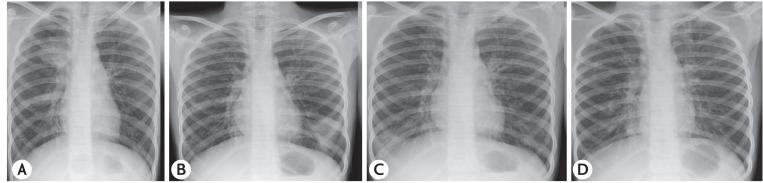
Of the 349 patients with ABPA diagnosed, 42 (12.03%) were in the pediatric age group. The mean age on presentation was 12.9 ± 4 years with a male preponderance. All patients had asthma and positive intradermal/skin prick test against species. Ring shadows, the most common radiological presentation, were seen in 28 of 42 patients. Bronchography/CT of the chest demonstrated CB, a feature pathognomic of ABPA, in 32 of 42 patients. High attenuation mucus plugs was observed in 7 of 36 patients while ABPA-seropositive was diagnosed in 10 of 42 patients. On imaging, sinusitis was seen in 20 of 30 patients with upper airways symptoms of whom eight had suspected AAS. Three parents consented for surgery, which confirmed the diagnosis.

CONCLUSION

This study highlights the need to evaluate asthmatic children for ABPA as also to exclude AAS.

摘要

背景

在非囊性纤维化的哮喘儿童中,变应性支气管肺曲霉菌病(ABPA)尚未得到应有的认识。

目的

强调ABPA在哮喘儿童中的表现。

方法

这项回顾性研究记录了一个科室31年间儿科ABPA的发病情况。对有哮喘、嗜酸性粒细胞增多且胸部X线片有浸润影的儿童进行ABPA筛查。对这些患者进行针对该菌种的速发型超敏反应检测以及血清学检查和肺功能测试。胸部支气管造影/计算机断层扫描(CT)显示中央型支气管扩张(CB)。对上呼吸道有症状的患者进行鼻窦CT检查。对于疑似变应性鼻窦炎(AAS)的患者,征得其父母同意进行诊断AAS所需的侵入性检查。

结果

在确诊为ABPA的349例患者中,42例(12.03%)为儿童年龄组。就诊时的平均年龄为12.9±4岁,男性居多。所有患者均有哮喘且针对该菌种的皮内/皮肤点刺试验呈阳性。42例患者中有28例可见环状阴影,这是最常见的影像学表现。42例患者中有32例胸部支气管造影/CT显示CB,这是ABPA的特征性表现。36例患者中有7例观察到高密度黏液栓,42例患者中有10例被诊断为ABPA血清学阳性。在影像学检查中,30例有上呼吸道症状的患者中有20例出现鼻窦炎,其中8例疑似AAS。3位家长同意手术,手术确诊了病情。

结论

本研究强调了对哮喘儿童评估ABPA以及排除AAS的必要性。

https://cdn.ncbi.nlm.nih.gov/pmc/blobs/c2c7/5537079/b09f4e7a347f/apa-7-148-g001.jpg

文献AI研究员

20分钟写一篇综述,助力文献阅读效率提升50倍。

立即体验

用中文搜PubMed

大模型驱动的PubMed中文搜索引擎

马上搜索

文档翻译

学术文献翻译模型,支持多种主流文档格式。

立即体验