Suppr超能文献

非编码RNA通过ceRNA介导的miRNA逃避参与CLDN4的调控网络。

Non-coding RNAs participate in the regulatory network of CLDN4 via ceRNA mediated miRNA evasion.

作者信息

Song Yong-Xi, Sun Jing-Xu, Zhao Jun-Hua, Yang Yu-Chong, Shi Jin-Xin, Wu Zhong-Hua, Chen Xiao-Wan, Gao Peng, Miao Zhi-Feng, Wang Zhen-Ning

机构信息

Department of Surgical Oncology and General Surgery, The First Affiliated Hospital of China Medical University, 155 North Nanjing Street, Heping District, Shenyang City, 110001, China.

Division of Gastroenterology, Department of Medicine, Washington University School of Medicine, St Louis, MO, 63110, USA.

出版信息

Nat Commun. 2017 Aug 18;8(1):289. doi: 10.1038/s41467-017-00304-1.

Abstract

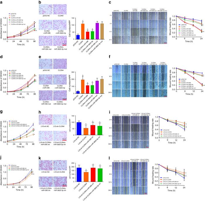
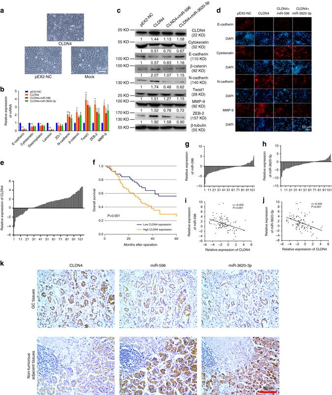
Thousands of genes have been well demonstrated to play important roles in cancer progression. As genes do not function in isolation, they can be grouped into "networks" based on their interactions. In this study, we discover a network regulating Claudin-4 in gastric cancer. We observe that Claudin-4 is up-regulated in gastric cancer and is associated with poor prognosis. Claudin-4 reinforce proliferation, invasion, and EMT in AGS, HGC-27, and SGC-7901 cells, which could be reversed by miR-596 and miR-3620-3p. In addition, lncRNA-KRTAP5-AS1 and lncRNA-TUBB2A could act as competing endogenous RNAs to affect the function of Claudin-4. Our results suggest that non-coding RNAs play important roles in the regulatory network of Claudin-4. As such, non-coding RNAs should be considered as potential biomarkers and therapeutic targets against gastric cancer.Non-coding RNAs can modify the expression of proteins in cancer networks. Here the authors reveal a regulatory network in gastric cancer whereby claudin-4 expression is reduced by specific miRNAs, which are in turn bound by specific lncRNAs acting as competing endogenous RNAs (ceRNAs), resulting in increased claudin-4 expression.

摘要

数千种基因已被充分证明在癌症进展中发挥重要作用。由于基因并非孤立发挥作用,它们可以根据相互作用被分组到“网络”中。在本研究中,我们发现了一个在胃癌中调节Claudin-4的网络。我们观察到Claudin-4在胃癌中上调,且与预后不良相关。Claudin-4增强了AGS、HGC-27和SGC-7901细胞的增殖、侵袭和上皮-间质转化(EMT),而miR-596和miR-3620-3p可以逆转这种情况。此外,lncRNA-KRTAP5-AS1和lncRNA-TUBB2A可以作为竞争性内源RNA来影响Claudin-4的功能。我们的结果表明非编码RNA在Claudin-4的调控网络中发挥重要作用。因此,非编码RNA应被视为胃癌潜在的生物标志物和治疗靶点。非编码RNA可以改变癌症网络中蛋白质的表达。在此,作者揭示了胃癌中的一个调控网络,其中特定的miRNA降低了claudin-4的表达,而特定的lncRNA作为竞争性内源RNA(ceRNA)与这些miRNA结合,导致claudin-4表达增加。

https://cdn.ncbi.nlm.nih.gov/pmc/blobs/7031/5561086/b193c1af61ea/41467_2017_304_Fig1_HTML.jpg

文献AI研究员

20分钟写一篇综述,助力文献阅读效率提升50倍。

立即体验

用中文搜PubMed

大模型驱动的PubMed中文搜索引擎

马上搜索

文档翻译

学术文献翻译模型,支持多种主流文档格式。

立即体验