Suppr超能文献

一种C2H2锌指蛋白(PbZfp)在疟疾传播、组蛋白修饰及DNA损伤反应易感性中的多功能作用

Multifunctional Involvement of a C2H2 Zinc Finger Protein (PbZfp) in Malaria Transmission, Histone Modification, and Susceptibility to DNA Damage Response.

作者信息

Gopalakrishnan Anusha M, Aly Ahmed S I, Aravind L, Kumar Nirbhay

机构信息

Department of Tropical Medicine, School of Public Health and Tropical Medicine, Vector-Borne Infectious Diseases Research Center, Tulane University, New Orleans, Louisiana, USA.

National Center for Biotechnology Information, NIH, Bethesda, Maryland, USA.

出版信息

mBio. 2017 Aug 29;8(4):e01298-17. doi: 10.1128/mBio.01298-17.

Abstract

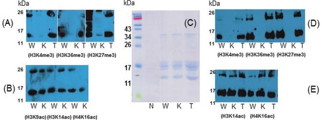
In sexually reproducing organisms, meiosis is an essential step responsible for generation of haploid gametes from diploid somatic cells. The quest for understanding regulatory mechanisms of meiotic recombination in led to identification of a gene encoding a protein that contains 11 copies of CH zinc fingers (ZnF). Reverse genetic approaches were used to create parasites either lacking expression of full-length zinc finger protein (PbZfp) (knockout [KO]) or expressing PbZfp lacking C-terminal zinc finger region (truncated [Trunc]). Mice infected with KO parasites survived two times longer ( < 0.0001) than mice infected with wild-type (WT) parasites. In mosquito transmission experiments, the infectivity of KO and Trunc parasites was severely compromised (>95% oocyst reduction). KO parasites revealed a total lack of trimethylation of histone 3 at several lysine residues (K4, K27, and K36) without any effect on acetylation patterns (H3K9, H3K14, and H4K16). Reduced DNA damage and reduced expression of topoisomerase-like Spo11 in the KO parasites with normal Rad51 expression further suggest a functional role for PbZfp during genetic recombination that involves DNA double-strand break (DSB) formation followed by DNA repair. These finding raise the possibility of some convergent similarities of PbZfp functions to functions of mammalian PRDM9, also a CH ZnF protein with histone 3 lysine 4 (H3K4) methyltransferase activity. These functions include the major role played by the latter in binding recombination hotspots in the genome during meiosis and trimethylation of the associated histones and subsequent chromatin recruitment of topoisomerase-like Spo11 to catalyze DNA DSB formation and DMC1/Rad51-mediated DNA repair and homologous recombination. Malaria parasites are haploid throughout their life cycle except for a brief time period when zygotes are produced as a result of fertilization between male and female gametes during transmission through the mosquito vector. The reciprocal recombination events that follow zygote formation ensure orderly segregation of homologous chromosomes during meiosis, creating genetic diversity among offspring. Studies presented in the current manuscript identify a novel C2H2 ZnF-containing protein exhibiting multifunctional roles in parasite virulence, mosquito transmission, and homologous recombination during meiosis. Understanding the transmission biology of malaria will result in the identification of novel targets for transmission-blocking intervention approaches.

摘要

在有性生殖的生物体中,减数分裂是一个关键步骤,负责从二倍体体细胞产生单倍体配子。对减数分裂重组调控机制的探索导致鉴定出一个编码含有11个CH锌指(ZnF)的蛋白质的基因。采用反向遗传学方法构建了两种疟原虫,一种是全长锌指蛋白(PbZfp)表达缺失的疟原虫(基因敲除[KO]),另一种是表达缺失C端锌指区域的PbZfp的疟原虫(截短型[Trunc])。感染KO疟原虫的小鼠存活时间比感染野生型(WT)疟原虫的小鼠长两倍(P<0.0001)。在蚊子传播实验中,KO和Trunc疟原虫的感染力严重受损(卵囊减少>95%)。KO疟原虫显示在几个赖氨酸残基(K4、K27和K36)处组蛋白3完全缺乏三甲基化,而对乙酰化模式(H3K9、H3K14和H4K16)没有任何影响。在Rad51表达正常的KO疟原虫中,DNA损伤减少以及类拓扑异构酶Spo11的表达降低,进一步表明PbZfp在涉及DNA双链断裂(DSB)形成随后进行DNA修复的基因重组过程中发挥功能作用。这些发现增加了PbZfp功能与哺乳动物PRDM9功能存在一些趋同相似性的可能性,PRDM9也是一种具有组蛋白3赖氨酸4(H3K4)甲基转移酶活性的CH ZnF蛋白。这些功能包括后者在减数分裂期间结合基因组中的重组热点、相关组蛋白的三甲基化以及随后拓扑异构酶样Spo11的染色质募集以催化DNA DSB形成和DMC1/Rad51介导的DNA修复及同源重组中所起的主要作用。疟原虫在其整个生命周期中都是单倍体,除了在通过蚊子媒介传播期间,由于雌雄配子受精产生合子的短暂时期。合子形成后发生的相互重组事件确保了减数分裂期间同源染色体的有序分离,从而在后代中产生遗传多样性。本手稿中呈现的研究鉴定出一种新型的含C2H2 ZnF的蛋白质,其在疟原虫毒力、蚊子传播以及减数分裂期间的同源重组中发挥多功能作用。了解疟疾的传播生物学将有助于确定传播阻断干预方法的新靶点。

https://cdn.ncbi.nlm.nih.gov/pmc/blobs/2558/5574716/35e667d8e188/mbo0041734560001.jpg

文献AI研究员

20分钟写一篇综述,助力文献阅读效率提升50倍。

立即体验

用中文搜PubMed

大模型驱动的PubMed中文搜索引擎

马上搜索

文档翻译

学术文献翻译模型,支持多种主流文档格式。

立即体验