Suppr超能文献

长链非编码 RNA CASC9 通过 EZH2 负向调控 PDCD4 的表达促进食管鳞癌细胞生长。

Up-regulation of lncRNA CASC9 promotes esophageal squamous cell carcinoma growth by negatively regulating PDCD4 expression through EZH2.

机构信息

Department of Medical Genetics, College of Basic Medical Science, Third Military Medical University, Chongqing, China.

Department of Cardiothoracic Surgery, Jinling Hospital, Medical school of Nanjing University, Nanjing, Jiangsu, China.

出版信息

Mol Cancer. 2017 Aug 30;16(1):150. doi: 10.1186/s12943-017-0715-7.

Abstract

BACKGROUND

Abnormal expression of numerous long non-coding RNAs (lncRNAs) has been reported in esophageal squamous cell carcinoma (ESCC) recently, but the great majority of their roles and mechanisms remain largely unclear. We aim to identify the critical ESCC-associated lncRNAs and elucidate the functions and mechanisms in detail.

METHODS

Microarrays were used to analyze the differentially expressed lncRNAs in ESCC tissues. qRT-PCR was used to verify the result of microarrays. The effects of the most up-regulated lncRNA, cancer susceptibility candidate 9(CASC9), on cell growth, proliferation and cell cycle were investigated by in vivo and in vitro assays. Microarrays and recovery tests were used to discover the regulatory targets of CASC9. RNA FISH and subcellular fractionation assays were used to detect the subcellular location of CASC9. Finally, the mechanism of CASC9 regulating PDCD4 was explored by RIP, RNA-protein pull down and ChIP assays.

RESULTS

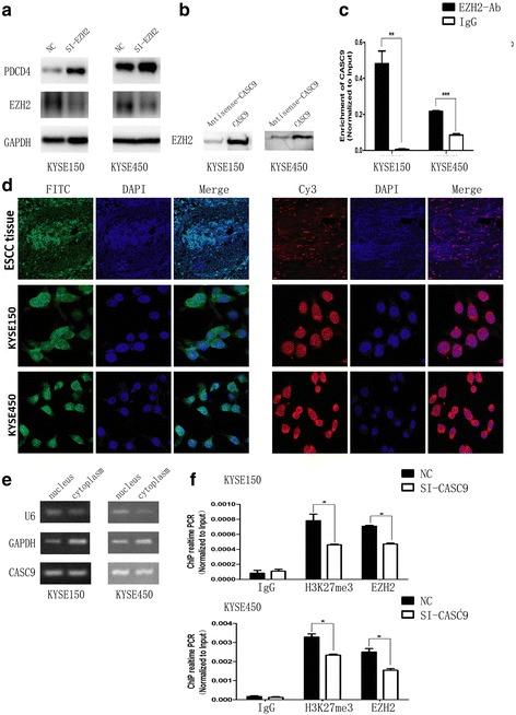
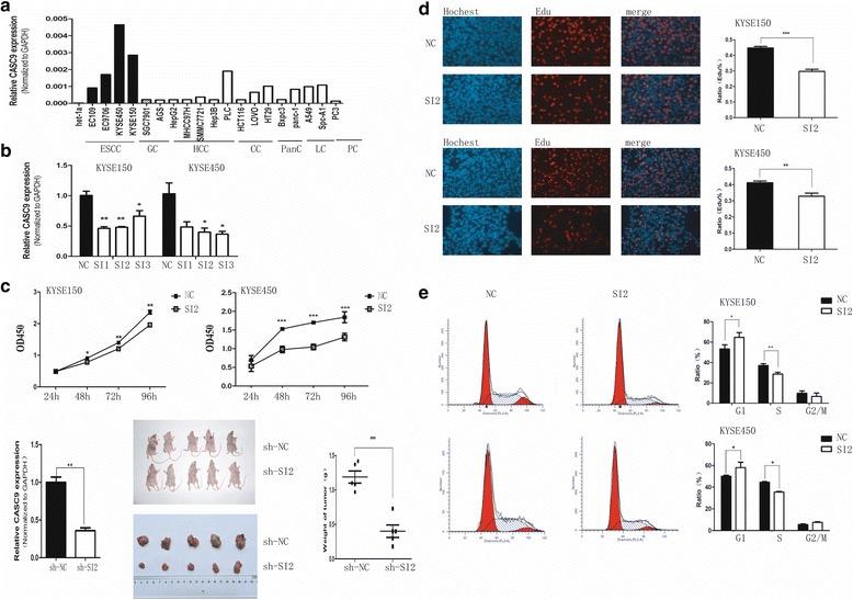
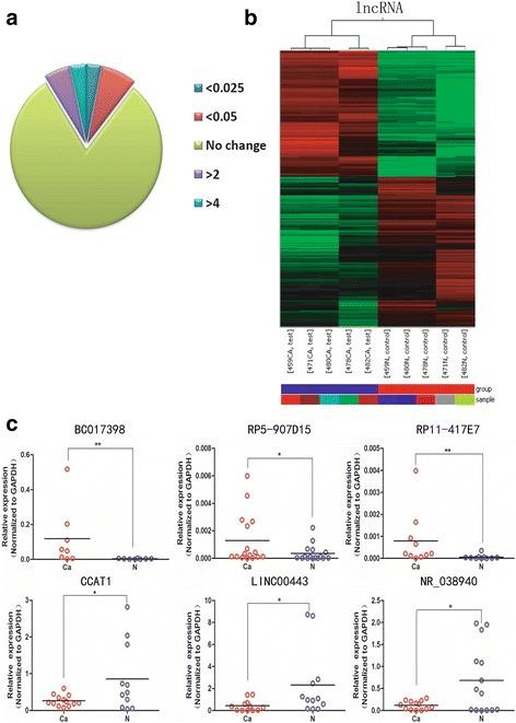
ESCC tissue microarrays showed that CASC9 was the most up-regulated lncRNA. qRT-PCR analysis indicated that CASC9 expression was positively associated with tumor size and TNM stage, and predicted poor overall survival of ESCC patients. Knockdown of CASC9 inhibited ESCC cell growth in vitro and tumorigenesis in nude mice. Furthermore interfering CASC9 decreased cell proliferation and blocked cell cycle G1/S transition. CASC9-associated microarrays indicated that PDCD4 might be the target of CASC9. Consistent with this, PDCD4 expression was negatively associated with CASC9 expression in ESCC tissues and predicted good prognosis. Manipulating CASC9 expression in ESCC cells altered both PDCD4 mRNA and protein levels and cell cycle arrest caused by CASC9 knockdown could be rescued by suppressing PDCD4 expression. CASC9 located both in the nucleus and cytoplasm. Mechanistically, enhancer of zeste homolog2 (EZH2) could bind to both CASC9 and PDCD4 promoter region. Interfering CASC9 reduced the enrichment of EZH2 and H3K27me3 in the PDCD4 promoter region.

CONCLUSIONS

Our study firstly demonstrates that lncRNA CASC9 functions as an oncogene by negatively regulating PDCD4 expression through recruiting EZH2 and subsequently altering H3K27me3 level. Our study implicates lncRNA CASC9 as a valuable biomarker for ESCC diagnosis and prognosis.

摘要

背景

最近有研究报道食管鳞状细胞癌(ESCC)中存在大量异常表达的长链非编码 RNA(lncRNA),但其大部分作用和机制仍不清楚。本研究旨在鉴定关键的 ESCC 相关 lncRNA,并详细阐明其功能和机制。

方法

使用微阵列分析 ESCC 组织中差异表达的 lncRNA。qRT-PCR 用于验证微阵列的结果。通过体内和体外实验研究上调最显著的 lncRNA,即癌症易感性候选基因 9(CASC9)对细胞生长、增殖和细胞周期的影响。使用微阵列和恢复试验来发现 CASC9 的调节靶点。RNA FISH 和亚细胞分级分离试验用于检测 CASC9 的亚细胞定位。最后,通过 RIP、RNA-蛋白下拉和 ChIP 试验探讨 CASC9 调节 PDCD4 的机制。

结果

ESCC 组织微阵列显示 CASC9 是上调最显著的 lncRNA。qRT-PCR 分析表明,CASC9 的表达与肿瘤大小和 TNM 分期呈正相关,并且预测 ESCC 患者的总生存期不良。CASC9 的敲低抑制了 ESCC 细胞在体外的生长和裸鼠肿瘤的发生。此外,干扰 CASC9 降低了细胞增殖并阻止了细胞周期 G1/S 期转换。CASC9 相关的微阵列表明 PDCD4 可能是 CASC9 的靶点。与此一致的是,PDCD4 的表达与 ESCC 组织中的 CASC9 表达呈负相关,并预测预后良好。在 ESCC 细胞中操纵 CASC9 的表达改变了 PDCD4 的 mRNA 和蛋白水平,并且 CASC9 敲低引起的细胞周期阻滞可以通过抑制 PDCD4 的表达来挽救。CASC9 定位于细胞核和细胞质。机制上,EZH2 可以结合 CASC9 和 PDCD4 启动子区域。干扰 CASC9 减少了 EZH2 和 H3K27me3 在 PDCD4 启动子区域的富集。

结论

本研究首次证明,lncRNA CASC9 通过招募 EZH2 并随后改变 H3K27me3 水平来负调控 PDCD4 的表达,从而发挥癌基因的作用。本研究表明,lncRNA CASC9 可作为 ESCC 诊断和预后的有价值的生物标志物。

https://cdn.ncbi.nlm.nih.gov/pmc/blobs/de3e/5577767/0463a7410f78/12943_2017_715_Fig1_HTML.jpg

文献AI研究员

20分钟写一篇综述,助力文献阅读效率提升50倍。

立即体验

用中文搜PubMed

大模型驱动的PubMed中文搜索引擎

马上搜索

文档翻译

学术文献翻译模型,支持多种主流文档格式。

立即体验