Suppr超能文献

TOF 患者中组蛋白修饰和 Cx43 启动子调控单核苷酸多态性(rs2071166)的作用。

The role of histone modification and a regulatory single-nucleotide polymorphism (rs2071166) in the Cx43 promoter in patients with TOF.

机构信息

Children's Hospital of Fudan University, Shanghai, China.

Shanghai Key Laboratory of Birth Defects, Shanghai, China.

出版信息

Sci Rep. 2017 Sep 5;7(1):10435. doi: 10.1038/s41598-017-10756-6.

Abstract

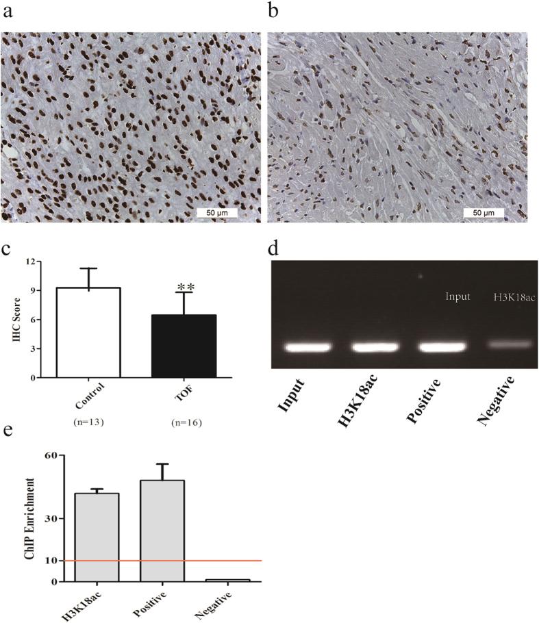
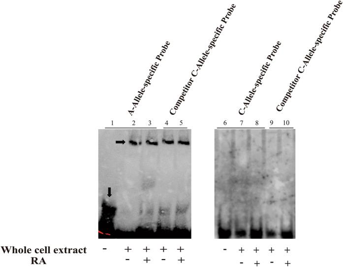
Abnormal level of Cx43 expression could result in CHD. Epigenetic modification and disease-associated, non-coding SNPs might influence gene transcription and expression. Our study aimed to determine the role of histone modification and an rSNP (rs2071166) in the Cx43 promoter in patients with TOF. Our results indicate that H3K18ac bind to Cx43 promoter and that their levels are reduced in TOF patients relative to controls. The relationship between the non-coding SNP in the Cx43 gene and TOF patients was evaluated in 158 patients and 300 controls. The C allele of rs2071166 was confirmed to result in an increased risk of TOF (OR = 1.586, 95%CI 1.149-2.189). Individuals with the CC genotype at rs2071166 also showed a significant susceptibility to TOF (OR = 2.961, 95%CI 1.452-6.038). The mRNA level in TOF who were CC genotype was lower than that in patients with the AA/AC genotype. Functional analysis in cells and transgenic zebrafish models showed that rs2071166 decreased the activity of the promoter and could block the interaction between RXRα and RARE. This is the first study to illustrate that epigenetic modification and an rSNP in the Cx43 promoter region play a critical role in TOF by impacting the transcriptional activity and expression level of Cx43.

摘要

Cx43 表达水平异常可导致 CHD。表观遗传修饰和与疾病相关的非编码 SNPs 可能会影响基因转录和表达。我们的研究旨在确定组蛋白修饰和 Cx43 启动子中的 rs2071166 对 TOF 患者的作用。我们的结果表明,H3K18ac 结合到 Cx43 启动子上,并且在 TOF 患者中其水平相对于对照组降低。在 158 名患者和 300 名对照中评估了 Cx43 基因中的非编码 SNP 与 TOF 患者之间的关系。rs2071166 的 C 等位基因被证实会增加 TOF 的风险(OR=1.586,95%CI 1.149-2.189)。rs2071166 处为 CC 基因型的个体也显示出对 TOF 的显著易感性(OR=2.961,95%CI 1.452-6.038)。CC 基因型的 TOF 患者的 mRNA 水平低于 AA/AC 基因型的患者。细胞和转基因斑马鱼模型中的功能分析表明,rs2071166 降低了启动子的活性并可以阻断 RXRα 和 RARE 之间的相互作用。这是第一项表明 Cx43 启动子区域中的表观遗传修饰和 rs2071166 通过影响 Cx43 的转录活性和表达水平在 TOF 中起关键作用的研究。

https://cdn.ncbi.nlm.nih.gov/pmc/blobs/8df6/5585261/769f8ccf602d/41598_2017_10756_Fig1_HTML.jpg

文献AI研究员

20分钟写一篇综述,助力文献阅读效率提升50倍。

立即体验

用中文搜PubMed

大模型驱动的PubMed中文搜索引擎

马上搜索

文档翻译

学术文献翻译模型,支持多种主流文档格式。

立即体验