Suppr超能文献

形成N-甲基腺苷(mA)的酶METTL3控制正常造血细胞和白血病细胞的髓系分化。

The N-methyladenosine (mA)-forming enzyme METTL3 controls myeloid differentiation of normal hematopoietic and leukemia cells.

作者信息

Vu Ly P, Pickering Brian F, Cheng Yuanming, Zaccara Sara, Nguyen Diu, Minuesa Gerard, Chou Timothy, Chow Arthur, Saletore Yogesh, MacKay Matthew, Schulman Jessica, Famulare Christopher, Patel Minal, Klimek Virginia M, Garrett-Bakelman Francine E, Melnick Ari, Carroll Martin, Mason Christopher E, Jaffrey Samie R, Kharas Michael G

机构信息

Molecular Pharmacology Program, Center for Cell Engineering, Center for Stem Cell Biology, Center for Experimental Therapeutics, Center for Hematologic Malignancies, Memorial Sloan Kettering Cancer Center, New York, New York, USA.

Department of Pharmacology, Weill Cornell Medicine, Cornell University, New York, New York, USA.

出版信息

Nat Med. 2017 Nov;23(11):1369-1376. doi: 10.1038/nm.4416. Epub 2017 Sep 18.

Abstract

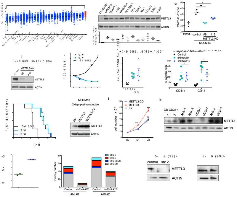
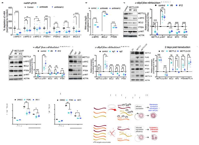
N-methyladenosine (mA) is an abundant nucleotide modification in mRNA that is required for the differentiation of mouse embryonic stem cells. However, it remains unknown whether the mA modification controls the differentiation of normal and/or malignant myeloid hematopoietic cells. Here we show that shRNA-mediated depletion of the mA-forming enzyme METTL3 in human hematopoietic stem/progenitor cells (HSPCs) promotes cell differentiation, coupled with reduced cell proliferation. Conversely, overexpression of wild-type METTL3, but not of a catalytically inactive form of METTL3, inhibits cell differentiation and increases cell growth. METTL3 mRNA and protein are expressed more abundantly in acute myeloid leukemia (AML) cells than in healthy HSPCs or other types of tumor cells. Furthermore, METTL3 depletion in human myeloid leukemia cell lines induces cell differentiation and apoptosis and delays leukemia progression in recipient mice in vivo. Single-nucleotide-resolution mapping of mA coupled with ribosome profiling reveals that mA promotes the translation of c-MYC, BCL2 and PTEN mRNAs in the human acute myeloid leukemia MOLM-13 cell line. Moreover, loss of METTL3 leads to increased levels of phosphorylated AKT, which contributes to the differentiation-promoting effects of METTL3 depletion. Overall, these results provide a rationale for the therapeutic targeting of METTL3 in myeloid leukemia.

摘要

N-甲基腺苷(mA)是mRNA中一种丰富的核苷酸修饰,是小鼠胚胎干细胞分化所必需的。然而,mA修饰是否控制正常和/或恶性髓系造血细胞的分化仍不清楚。在这里,我们表明,shRNA介导的人类造血干/祖细胞(HSPCs)中形成mA的酶METTL3的缺失促进细胞分化,并伴随着细胞增殖的减少。相反,野生型METTL3的过表达,而不是催化无活性形式的METTL3的过表达,抑制细胞分化并增加细胞生长。METTL3 mRNA和蛋白在急性髓系白血病(AML)细胞中的表达比在健康HSPCs或其他类型的肿瘤细胞中更丰富。此外,人类髓系白血病细胞系中METTL3的缺失诱导细胞分化和凋亡,并延缓受体小鼠体内白血病的进展。mA的单核苷酸分辨率图谱与核糖体分析相结合,揭示了mA促进人类急性髓系白血病MOLM-13细胞系中c-MYC、BCL2和PTEN mRNA的翻译。此外,METTL3的缺失导致磷酸化AKT水平升高,这有助于METTL3缺失的促分化作用。总体而言,这些结果为髓系白血病中METTL3的治疗靶向提供了理论依据。

https://cdn.ncbi.nlm.nih.gov/pmc/blobs/bb94/5677536/ef66a76cb178/nihms904710f1.jpg

文献AI研究员

20分钟写一篇综述,助力文献阅读效率提升50倍。

立即体验

用中文搜PubMed

大模型驱动的PubMed中文搜索引擎

马上搜索

文档翻译

学术文献翻译模型,支持多种主流文档格式。

立即体验