Suppr超能文献

聚(ADP-核糖)聚合酶抑制剂可预防性别和腺嘌呤磷酸核糖基转移酶依赖性烷基化诱导的神经变性。

PARP inhibitors protect against sex- and AAG-dependent alkylation-induced neural degeneration.

作者信息

Allocca Mariacarmela, Corrigan Joshua J, Fake Kimberly R, Calvo Jennifer A, Samson Leona D

机构信息

Department of Biological Engineering, Massachusetts Institute of Technology, Cambridge, MA 02139, USA.

Center for Environmental Health Sciences, Massachusetts Institute of Technology, Cambridge, MA 02139, USA.

出版信息

Oncotarget. 2017 Aug 3;8(40):68707-68720. doi: 10.18632/oncotarget.19844. eCollection 2017 Sep 15.

Abstract

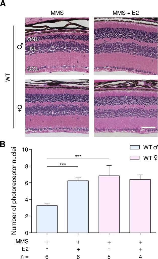
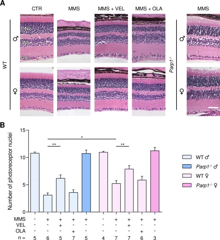
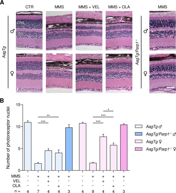
Alkylating agents are commonly used to treat cancer. Although base excision repair (BER) is a major pathway for repairing DNA alkylation damage, under certain conditions, the initiation of BER produces toxic repair intermediates that damage healthy tissues. The initiation of BER by the alkyladenine DNA glycosylase (AAG, a.k.a. MPG) can mediate alkylation-induced cytotoxicity in specific cells in the retina and cerebellum of male mice. Cytotoxicity in both wild-type and -transgenic () mice is abrogated in the absence of Poly(ADP-ribose) polymerase-1 (PARP1). Here, we tested whether PARP inhibitors can also prevent alkylation-induced retinal and cerebellar degeneration in male and female WT and mice. Importantly, we found that WT mice display sex-dependent alkylation-induced retinal damage (but not cerebellar damage), with WT males being more sensitive than females. Accordingly, estradiol treatment protects males against alkylation-induced retinal degeneration. In male and female mice, the alkylation-induced tissue damage in both the retina and cerebellum is exacerbated and the sex difference in the retina is abolished. PARP inhibitors, much like gene deletion, protect against alkylation-induced AAG-dependent neuronal degeneration in WT and mice, regardless of the gender, but their efficacy in preventing alkylation-induced neuronal degeneration depends on PARP inhibitor characteristics and doses. The recent surge in the use of PARP inhibitors in combination with cancer chemotherapeutic alkylating agents might represent a powerful tool for obtaining increased therapeutic efficacy while avoiding the collateral effects of alkylating agents in healthy tissues.

摘要

烷化剂常用于治疗癌症。尽管碱基切除修复(BER)是修复DNA烷基化损伤的主要途径,但在某些情况下,BER的起始会产生损害健康组织的有毒修复中间体。烷基腺嘌呤DNA糖基化酶(AAG,又名MPG)引发的BER可介导雄性小鼠视网膜和小脑特定细胞中的烷基化诱导的细胞毒性。在缺乏聚(ADP-核糖)聚合酶-1(PARP1)的情况下,野生型和转基因()小鼠的细胞毒性均被消除。在这里,我们测试了PARP抑制剂是否也能预防雄性和雌性野生型和小鼠中烷基化诱导的视网膜和小脑变性。重要的是,我们发现野生型小鼠表现出性别依赖性的烷基化诱导的视网膜损伤(但不是小脑损伤),野生型雄性比雌性更敏感。因此,雌二醇治疗可保护雄性免受烷基化诱导的视网膜变性。在雄性和雌性小鼠中,烷基化诱导的视网膜和小脑组织损伤均加剧,视网膜中的性别差异消失。PARP抑制剂与基因缺失非常相似,可保护野生型和小鼠免受烷基化诱导的AAG依赖性神经元变性,无论性别如何,但其预防烷基化诱导的神经元变性的功效取决于PARP抑制剂的特性和剂量。最近PARP抑制剂与癌症化疗烷化剂联合使用的激增可能代表了一种强大的工具,可在提高治疗效果的同时避免烷化剂对健康组织的附带影响。

https://cdn.ncbi.nlm.nih.gov/pmc/blobs/a4d8/5620290/0287d04c5ece/oncotarget-08-68707-g001.jpg

文献AI研究员

20分钟写一篇综述,助力文献阅读效率提升50倍。

立即体验

用中文搜PubMed

大模型驱动的PubMed中文搜索引擎

马上搜索

文档翻译

学术文献翻译模型,支持多种主流文档格式。

立即体验