Suppr超能文献

人类与犬骨肉瘤的比较综述:形态学、流行病学、预后、治疗与遗传学

Comparative review of human and canine osteosarcoma: morphology, epidemiology, prognosis, treatment and genetics.

作者信息

Simpson Siobhan, Dunning Mark David, de Brot Simone, Grau-Roma Llorenç, Mongan Nigel Patrick, Rutland Catrin Sian

机构信息

Faculty of Medicine and Health Sciences, School of Veterinary Medicine and Science, The University of Nottingham, Sutton Bonington Campus, Loughborough, LE12 5RD, UK.

Department of Pharmacology, Weill Cornell Medicine, 1300 York Avenue, New York, NY, 10065, USA.

出版信息

Acta Vet Scand. 2017 Oct 24;59(1):71. doi: 10.1186/s13028-017-0341-9.

Abstract

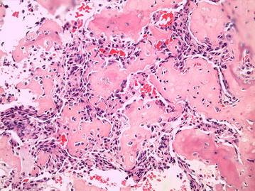
Osteosarcoma (OSA) is a rare cancer in people. However OSA incidence rates in dogs are 27 times higher than in people. Prognosis in both species is relatively poor, with 5 year OSA survival rates in people not having improved in decades. For dogs, 1 year survival rates are only around ~ 45%. Improved and novel treatment regimens are urgently required to improve survival in both humans and dogs with OSA. Utilising information from genetic studies could assist in this in both species, with the higher incidence rates in dogs contributing to the dog population being a good model of human disease. This review compares the clinical characteristics, gross morphology and histopathology, aetiology, epidemiology, and genetics of canine and human OSA. Finally, the current position of canine OSA genetic research is discussed and areas for additional work within the canine population are identified.

摘要

骨肉瘤(OSA)在人类中是一种罕见的癌症。然而,狗的骨肉瘤发病率比人类高27倍。两个物种的预后都相对较差,几十年来人类骨肉瘤的5年生存率都没有提高。对于狗来说,1年生存率仅约为45%。迫切需要改进和创新的治疗方案来提高骨肉瘤患者和患骨肉瘤狗的生存率。利用基因研究信息可以在两个物种中都有所帮助,狗的较高发病率使狗群成为人类疾病的良好模型。本综述比较了犬类和人类骨肉瘤的临床特征、大体形态和组织病理学、病因、流行病学和遗传学。最后,讨论了犬类骨肉瘤基因研究的现状,并确定了犬类群体中需要进一步开展工作的领域。

https://cdn.ncbi.nlm.nih.gov/pmc/blobs/6b42/5655853/5f68f2d33d1e/13028_2017_341_Fig1_HTML.jpg

文献AI研究员

20分钟写一篇综述,助力文献阅读效率提升50倍。

立即体验

用中文搜PubMed

大模型驱动的PubMed中文搜索引擎

马上搜索

文档翻译

学术文献翻译模型,支持多种主流文档格式。

立即体验