Suppr超能文献

维生素 D 受体的激活会影响 ERK 通路,从而预防神经功能缺损和神经元死亡。

Vitamin D receptor activation influences the ERK pathway and protects against neurological deficits and neuronal death.

机构信息

Department of Neurology, Institute of Mental Health, North China University of Science and Technology, Tangshan, Hebei 063000, P.R. China.

Department of Neurology, Affiliated Hospital of North China University of Science and Technology, Tangshan, Hebei 063000, P.R. China.

出版信息

Int J Mol Med. 2018 Jan;41(1):364-372. doi: 10.3892/ijmm.2017.3249. Epub 2017 Nov 9.

Abstract

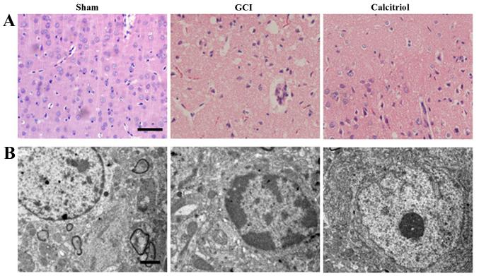
Previous studies have demonstrated that global cerebral ischemia (GCI) causes neurological deficits and neuronal cell apoptosis. Calcitriol, a biologically active metabolite of vitamin D, exerts its endocrinological influence via nuclear vitamin D receptor. It is being assessed as an emerging therapeutic strategy in models of various medical conditions, including acute brain injury. The purpose of the present study was to investigate the neuroprotective effects of calcitriol on GCI and further refine the potential underlying mechanisms. A total of 145 male rats were assigned to 5 groups as follows: Sham group, GCI group, calcitriol treatment group, PD98059 treatment group and vehicle-treated group. Brain water content and neurologic severity score were assessed to evaluate the brain edema and neurological deficits of rats. Histopathological changes and ultrastructures of cells were observed via hematoxylin and eosin stain and transmission electron microscopy, respectively. Immunofluorescent staining and western blot analysis were used to assess the expression of proteins and their co-localization at the molecular level. The results demonstrated that post-GCI administration of calcitriol attenuated brain edema and improved neurological function in rats. Calcitriol also caused marked extracellular signal-regulated kinase 1/2 pathway activation, and thereby attenuated neuronal apoptosis. The present study provided novel clues for understanding the mechanisms by which calcitriol exerts its neuroprotective activity in a rat model of GCI.

摘要

先前的研究表明,全脑缺血(GCI)会导致神经功能缺损和神经元细胞凋亡。钙三醇是维生素 D 的生物活性代谢物,通过核维生素 D 受体发挥其内分泌作用。它被评估为各种医学疾病模型中新兴的治疗策略,包括急性脑损伤。本研究旨在探讨钙三醇对 GCI 的神经保护作用,并进一步探讨潜在的机制。将 145 只雄性大鼠随机分为 5 组:假手术组、GCI 组、钙三醇治疗组、PD98059 治疗组和载体处理组。通过评估脑水含量和神经严重程度评分来评估大鼠的脑水肿和神经功能缺损。通过苏木精和伊红染色和透射电子显微镜分别观察细胞的组织学变化和超微结构。免疫荧光染色和 Western blot 分析用于评估蛋白质的表达及其在分子水平上的共定位。结果表明,GCI 后给予钙三醇可减轻大鼠脑水肿并改善神经功能。钙三醇还引起细胞外信号调节激酶 1/2 通路的明显激活,从而减轻神经元凋亡。本研究为理解钙三醇在 GCI 大鼠模型中发挥神经保护作用的机制提供了新的线索。

https://cdn.ncbi.nlm.nih.gov/pmc/blobs/52d8/5746295/c3e7c0a0d0d5/IJMM-41-01-0364-g00.jpg

文献AI研究员

20分钟写一篇综述,助力文献阅读效率提升50倍。

立即体验

用中文搜PubMed

大模型驱动的PubMed中文搜索引擎

马上搜索

文档翻译

学术文献翻译模型,支持多种主流文档格式。

立即体验