Suppr超能文献

查勒平:一种来自紫苏的化合物在非小细胞肺癌(A549)中表现出S期细胞周期阻滞,抑制核因子-κB(NF-κB)途径、信号转导子和转录激活因子3(STAT3)磷酸化以及外源性凋亡途径。

Chalepin: A Compound from L. Pers Exhibits Cell Cycle Arrest at S phase, Suppresses Nuclear Factor-Kappa B (NF-κB) Pathway, Signal Transducer and Activation of Transcription 3 (STAT3) Phosphorylation and Extrinsic Apoptotic Pathway in Non-small Cell Lung Cancer Carcinoma (A549).

作者信息

Richardson Jaime Stella Moses, Aminudin Norhaniza, Abd Malek Sri Nurestri

机构信息

Institute of Biological Sciences, Faculty of Science, University of Malaya, Kuala Lumpur, Malaysia.

出版信息

Pharmacogn Mag. 2017 Oct;13(Suppl 3):S489-S498. doi: 10.4103/pm.pm_13_17. Epub 2017 Oct 11.

Abstract

BACKGROUND

Plants have been a major source of inspiration in developing novel drug compounds in the treatment of various diseases that afflict human beings worldwide. L. Pers known locally as Garuda has been conventionally used for various medicinal purposes such as in the treatment of cancer.

OBJECTIVE

A dihydrofuranocoumarin named chalepin, which was isolated from the chloroform extract of the plant, was tested on its ability to inhibit molecular pathways of human lung carcinoma (A549) cells.

MATERIALS AND METHODS

Cell cycle analysis and caspase 8 activation were conducted using a flow cytometer, and protein expressions in molecular pathways were determined using Western blot technique.

RESULTS

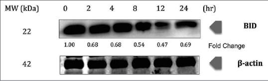
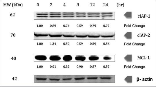
Cell cycle analysis showed that cell cycle was arrested at the S phase. Further studies using Western blotting technique showed that cell cycle-related proteins such as cyclins, cyclin-dependent kinases (CDKs), and inhibitors of CDKs correspond to a cell cycle arrest at the S phase. Chalepin also showed inhibition in the expression of inhibitors of apoptosis proteins. Nuclear factor-kappa B (NF-κB) pathway, signal transducer and activation of transcription 3 (STAT-3), cyclooxygenase-2, and c-myc were also downregulated upon treatment with chalepin. Chalepin was found to induce extrinsic apoptotic pathway. Death receptors 4 and 5 showed a dramatic upregulation at 24 h. Analysis of activation of caspase 8 with the flow cytometer showed an increase in activity in a dose- and time-dependent manner. Activation of caspase 8 induced cleavage of BH3-interacting domain death agonist, which initiated a mitochondrial-dependent or -independent apoptosis.

CONCLUSION

Chalepin causes S phase cell cycle arrest, NF-κB pathway inhibition, and STAT-3 inhibition, induces extrinsic apoptotic pathway, and could be an excellent chemotherapeutic agent.

SUMMARY

This study reports the capacity of an isolated bioactive compound known as chalepin to suppress the nuclear factor kappa-light-chain-enhancer of activated B cells pathway, signal transducer and activation of transcription 3, and extrinsic apoptotic pathway and also its ability to arrest cell cycle in S phase. This compound was from the leaves of L. Pers. It provides new insight on the ability of this plant in suppressing certain cancers, especially the nonsmall cell lung carcinoma according to this study. °C: Degree Celsius, ANOVA: Analysis of variance, ATCC: American Type Culture Collection, BCL-2: B-Cell CLL/Lymphoma 2, Bcl-xL: B-cell lymphoma extra-large, BH3: Bcl-2 homology 3, BID: BH3-interacting domain death agonist, BIR: Baculovirus inhibitor of apoptosis protein repeat, Caspases: Cysteinyl aspartate-specific proteases, CDK: Cyclin-dependent kinase, CO: Carbon dioxide, CST: Cell signaling technologies, DISC: Death-inducing signaling complex, DMSO: Dimethyl sulfoxide, DNA: Deoxyribonucleic acid, DR4: Death receptor 4, DR5: Death receptor 5, E1a: Adenovirus early region 1A, ECL: Enhanced chemiluminescence, EDTA: Ethylenediaminetetraacetic acid, ELISA: Enzyme-linked immunosorbent assay, etc.: Etcetera, FADD: Fas-associated protein with death domain, FBS: Fetal bovine serum, FITC: Fluorescein isothiocyanate, G1: Gap 1, G2: Gap 2, HPLC: High-performance liquid chromatography, HRP: Horseradish peroxidase, IAPs: Inhibitor of apoptosis proteins, IC50: Inhibitory concentration at half maximal inhibitory, IKK-α: Inhibitor of nuclear factor kappa-B kinase subunit alpha, IKK-β: Inhibitor of nuclear factor kappa-B kinase subunit beta, IKK-γ: Inhibitor of nuclear factor kappa-B kinase subunit gamma, IKK: IκB kinase, IkBα: Nuclear factor of kappa light polypeptide gene enhancer in B-cells inhibitor, alpha, m: Meter, M: Mitotic, mm: Millimeter, mRNA: Messenger ribonucleic acid, NaCl: Sodium chloride, NaVO4: Sodium orthovanadate, NEMO: NF-Kappa-B essential modulator, NF-κB: Nuclear factor kappa-light chain-enhancer of activated B cells, NSCLC: Nonsmall cell lung carcinoma, PBS: Phosphate buffered saline, PGE2: Prostaglandin E2, PI: Propidium iodide, PMSF: Phenylmethylsulfonyl fluoride, pRB: Phosphorylated retinoblastoma, : L. Pers, Rb: Retinoblastoma, rpm: Rotation per minute, RPMI: Roswell Park Memorial Institute, S phase: Synthesis phase, SD: Standard deviation, SDS-PAGE: Sodium dodecyl sulfate-polyacrylamide gel electrophoresis, Smac: Second mitochondria-derived activator of caspase, SPSS: Statistical Package for the Social Sciences, STAT3: Signal transducer and activation of transcription 3, tBID: Truncated BID, TNF: Tumor necrosis factor, TRADD: Tumor necrosis factor receptor type-1 associated death domain, TRAIL: TNF-related apoptosis- inducing ligand, USA: United States of America, v/v: Volume over volume.

摘要

背景

在开发用于治疗困扰全球人类的各种疾病的新型药物化合物方面,植物一直是主要的灵感来源。当地称为“Garuda”的L. Pers传统上被用于各种药用目的,如治疗癌症。

目的

从该植物的氯仿提取物中分离出一种名为chalepin的二氢呋喃香豆素,测试其抑制人肺癌(A549)细胞分子途径的能力。

材料与方法

使用流式细胞仪进行细胞周期分析和半胱天冬酶8激活检测,并使用蛋白质印迹技术测定分子途径中的蛋白质表达。

结果

细胞周期分析表明细胞周期停滞在S期。使用蛋白质印迹技术的进一步研究表明,细胞周期相关蛋白如细胞周期蛋白、细胞周期蛋白依赖性激酶(CDK)和CDK抑制剂与细胞周期在S期停滞相对应。Chalepin还显示出对凋亡蛋白抑制剂表达的抑制作用。用chalepin处理后,核因子-κB(NF-κB)途径、信号转导和转录激活因子3(STAT-3)、环氧合酶-2和c-myc也被下调。发现chalepin可诱导外源性凋亡途径。死亡受体4和5在24小时时显著上调。用流式细胞仪分析半胱天冬酶8的激活情况,结果显示其活性呈剂量和时间依赖性增加。半胱天冬酶8的激活诱导了BH3相互作用结构域死亡激动剂的裂解,从而启动了线粒体依赖性或非依赖性凋亡。

结论

Chalepin导致S期细胞周期停滞、NF-κB途径抑制和STAT-3抑制,诱导外源性凋亡途径,可能是一种优秀的化疗药物。

总结

本研究报告了一种名为chalepin的分离生物活性化合物抑制活化B细胞的核因子κ轻链增强子途径、信号转导和转录激活因子3以及外源性凋亡途径的能力,以及其使细胞周期停滞在S期的能力。该化合物来自L. Pers的叶子。根据本研究,它为这种植物在抑制某些癌症,尤其是非小细胞肺癌方面的能力提供了新的见解。°C:摄氏度,ANOVA:方差分析

https://cdn.ncbi.nlm.nih.gov/pmc/blobs/4ca3/5669087/190f0d70689a/PM-13-489-g002.jpg

文献AI研究员

20分钟写一篇综述,助力文献阅读效率提升50倍。

立即体验

用中文搜PubMed

大模型驱动的PubMed中文搜索引擎

马上搜索

文档翻译

学术文献翻译模型,支持多种主流文档格式。

立即体验