Suppr超能文献

非小细胞肺癌中程序性死亡受体配体1(PD-L1)表达的异质性:小活检标本可靠性评估

PD-L1 expression heterogeneity in non-small cell lung cancer: evaluation of small biopsies reliability.

作者信息

Munari Enrico, Zamboni Giuseppe, Marconi Marcella, Sommaggio Marco, Brunelli Matteo, Martignoni Guido, Netto George J, Moretta Francesca, Mingari Maria Cristina, Salgarello Matteo, Terzi Alberto, Picece Vincenzo, Pomari Carlo, Lunardi Gianluigi, Cavazza Alberto, Rossi Giulio, Moretta Lorenzo, Bogina Giuseppe

机构信息

Department of Pathology, Sacro Cuore Don Calabria Hospital, Negrar, Italy.

Department of Pathology AOUI, University of Verona, Verona, Italy.

出版信息

Oncotarget. 2017 Oct 4;8(52):90123-90131. doi: 10.18632/oncotarget.21485. eCollection 2017 Oct 27.

Abstract

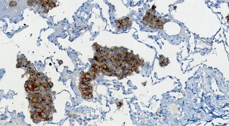
Immunotherapy with checkpoint inhibitors, allowing recovery of effector cells function, has demonstrated to be highly effective in many tumor types and represents a true revolution in oncology. Recently, the anti-PD1 agent pembrolizumab was granted FDA approval for the first line treatment of patients with advanced non-small cell lung cancer (NSCLC) whose tumors show PD-L1 expression in ≥ 50% of neoplastic cells and as a second line treatment for patients with NSCLC expressing PD-L1 in ≥1% of neoplastic cells, evaluated with a validated assay. For the large majority of patients such evaluation is made on small biopsies. However, small tissue samples such as core biopsies might not be representative of tumors and may show divergent results given the possible heterogeneous immunoexpression of the biomarker. We therefore sought to evaluate PD-L1 expression concordance in a cohort of 239 patients using tissue microarrays (TMA) as surrogates of biopsies stained with a validated PD-L1 immunohistochemical assay (SP263) and report the degree of discordance among tissue cores in order to understand how such heterogeneity could affect decisions regarding therapy. We observed a discordance rate of 20% and 7.9% and a Cohen's κ value of 0.53 (moderate) and 0,48 (moderate) for ≥ 1% and ≥ 50% cutoffs, respectively. Our results suggest that caution must be taken when evaluating single biopsies from patients with advanced NSCLC eligible for immunotherapy; moreover, at least 4 biopsies are necessary in order to minimize the risk of tumor misclassification.

摘要

使用检查点抑制剂的免疫疗法可恢复效应细胞功能,已证明在多种肿瘤类型中具有高效性,代表了肿瘤学领域的一场真正革命。最近,抗PD1药物派姆单抗被美国食品药品监督管理局(FDA)批准用于一线治疗肿瘤细胞中PD-L1表达≥50%的晚期非小细胞肺癌(NSCLC)患者,以及作为二线治疗用于肿瘤细胞中PD-L1表达≥1%的NSCLC患者,该检测需采用经过验证的检测方法进行评估。对于绝大多数患者,此类评估是基于小活检样本进行的。然而,诸如芯针活检等小组织样本可能无法代表肿瘤,并且鉴于生物标志物可能存在的异质性免疫表达,可能会显示出不同的结果。因此,我们试图使用组织微阵列(TMA)作为活检样本的替代物,通过经过验证的PD-L1免疫组织化学检测(SP263)评估239例患者队列中的PD-L1表达一致性,并报告组织芯之间的不一致程度,以便了解这种异质性如何影响治疗决策。我们观察到,对于≥1%和≥50%的截断值,不一致率分别为20%和7.9%,Cohen's κ值分别为中度的0.53和中度的0.48。我们的结果表明,在评估适合免疫治疗的晚期NSCLC患者的单个活检样本时必须谨慎;此外,为了将肿瘤错误分类的风险降至最低,至少需要4次活检。

https://cdn.ncbi.nlm.nih.gov/pmc/blobs/d4ad/5685736/a2730cead9e6/oncotarget-08-90123-g001.jpg

文献AI研究员

20分钟写一篇综述,助力文献阅读效率提升50倍。

立即体验

用中文搜PubMed

大模型驱动的PubMed中文搜索引擎

马上搜索

文档翻译

学术文献翻译模型,支持多种主流文档格式。

立即体验