Suppr超能文献

基因芯片分析揭示lncRNA表达在腹主动脉瘤中3,4-苯并芘/血管紧张素II激活的巨噬细胞中的潜在作用。

Microarray Analysis Reveals a Potential Role of lncRNA Expression in 3,4-Benzopyrene/Angiotensin II-Activated Macrophage in Abdominal Aortic Aneurysm.

作者信息

Zhou Yingying, Wang Jiaoni, Xue Yangjing, Fang Aili, Wu Shaoze, Huang Kaiyu, Tao Luyuan, Wang Jie, Shen Yigen, Wang Jinsheng, Pan Lulu, Li Lei, Ji Kangting

机构信息

Department of Endocrinology, The Second Affiliated Hospital and Yuying Children's Hospital of Wenzhou Medical University, Wenzhou, Zhejiang, China.

Department of Cardiology, The Second Affiliated Hospital and Yuying Children's Hospital of Wenzhou Medical University, Wenzhou, Zhejiang, China.

出版信息

Stem Cells Int. 2017;2017:9495739. doi: 10.1155/2017/9495739. Epub 2017 Oct 18.

Abstract

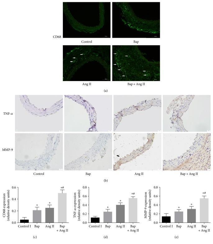
Abdominal aortic aneurysm (AAA) is a fatal disease, and exposure to 3,4-benzopyrene (Bap) is closely related to the development of AAA. We have found that Bap could impair the biological function of endothelial progenitor cells (EPCs), which are associated with the occurrence of AAA. We have also demonstrated that macrophage activation plays a key role in Bap-induced AAA, but the mechanism is unknown. Here, we used a mouse lncRNA array to investigate the expression signatures of lncRNAs and mRNAs in Bap-activated macrophage. A total of 457 lncRNAs and 219 mRNAs were found to be differentially expressed. The function of differential mRNAs was determined by pathway and Gene Ontology analysis. Eight pathways associated with inflammation were upregulated, and seven pathways including cell apoptosis were downregulated. It was worth noting that AGE-RAGE pathway, which was involved in Bap-induced EPC dysfunction, was significantly upregulated in Bap-activated macrophage and may contribute to AAA formation. Thus, lncRNAs may exert a key role in activated macrophages and intervene the core lncRNAs and may inhibit the occurrence of a series of cascade reactions in the macrophages, which may provide potential targets for AAA caused by smoking.

摘要

腹主动脉瘤(AAA)是一种致命疾病,接触3,4-苯并芘(Bap)与AAA的发生密切相关。我们发现Bap会损害与AAA发生相关的内皮祖细胞(EPCs)的生物学功能。我们还证明巨噬细胞活化在Bap诱导的AAA中起关键作用,但其机制尚不清楚。在此,我们使用小鼠lncRNA阵列研究Bap激活的巨噬细胞中lncRNAs和mRNAs的表达特征。共发现457个lncRNAs和219个mRNAs差异表达。通过通路和基因本体分析确定差异mRNAs的功能。八条与炎症相关的通路上调,包括细胞凋亡在内的七条通路下调。值得注意的是,参与Bap诱导的EPC功能障碍的AGE-RAGE通路在Bap激活的巨噬细胞中显著上调,可能促成AAA的形成。因此,lncRNAs可能在活化的巨噬细胞中发挥关键作用,干预核心lncRNAs并可能抑制巨噬细胞中一系列级联反应的发生,这可能为吸烟引起的AAA提供潜在靶点。

https://cdn.ncbi.nlm.nih.gov/pmc/blobs/b6c4/5664287/a2ccc87aa9a9/SCI2017-9495739.001.jpg

文献AI研究员

20分钟写一篇综述,助力文献阅读效率提升50倍。

立即体验

用中文搜PubMed

大模型驱动的PubMed中文搜索引擎

马上搜索

文档翻译

学术文献翻译模型,支持多种主流文档格式。

立即体验