Suppr超能文献

巨噬细胞衍生的轴突导向因子 1 通过激活血管平滑肌细胞中的基质金属蛋白酶 3 促进腹主动脉瘤的形成。

Macrophage-derived netrin-1 promotes abdominal aortic aneurysm formation by activating MMP3 in vascular smooth muscle cells.

机构信息

Division of Vascular Surgery, Department of Surgery, New York University Medical Center, New York, NY, 10016, USA.

Department of Biochemistry and Molecular Pharmacology, New York University School of Medicine, New York, NY, 10016, USA.

出版信息

Nat Commun. 2018 Nov 27;9(1):5022. doi: 10.1038/s41467-018-07495-1.

Abstract

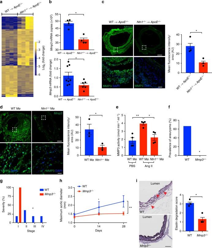
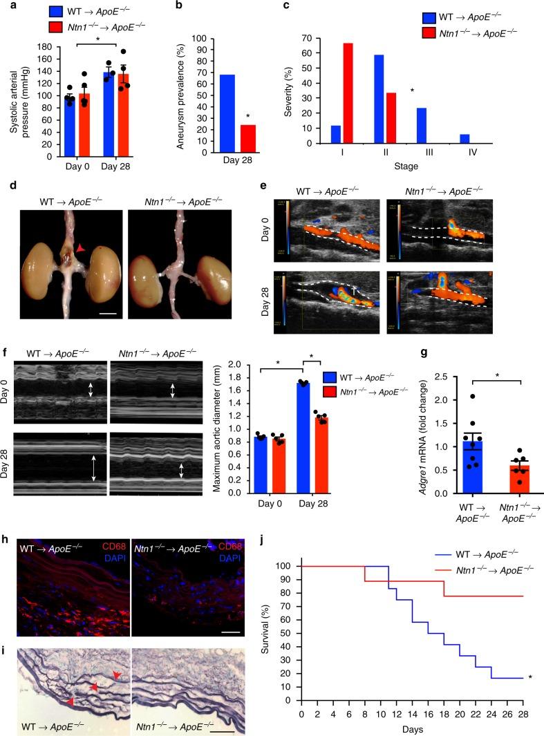
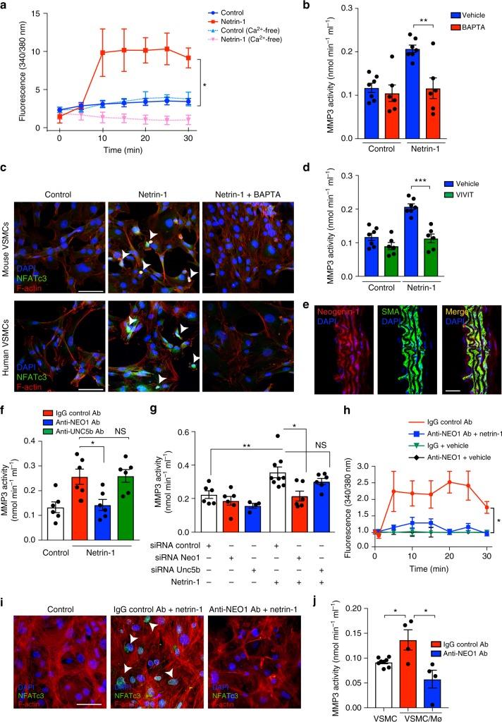
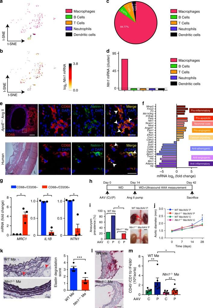
Abdominal aortic aneurysms (AAA) are characterized by extensive extracellular matrix (ECM) fragmentation and inflammation. However, the mechanisms by which these events are coupled thereby fueling focal vascular damage are undefined. Here we report through single-cell RNA-sequencing of diseased aorta that the neuronal guidance cue netrin-1 can act at the interface of macrophage-driven injury and ECM degradation. Netrin-1 expression peaks in human and murine aneurysmal macrophages. Targeted deletion of netrin-1 in macrophages protects mice from developing AAA. Through its receptor neogenin-1, netrin-1 induces a robust intracellular calcium flux necessary for the transcriptional regulation and persistent catalytic activation of matrix metalloproteinase-3 (MMP3) by vascular smooth muscle cells. Deficiency in MMP3 reduces ECM damage and the susceptibility of mice to develop AAA. Here, we establish netrin-1 as a major signal that mediates the dynamic crosstalk between inflammation and chronic erosion of the ECM in AAA.

摘要

腹主动脉瘤(AAA)的特征是广泛的细胞外基质(ECM)碎片化和炎症。然而,这些事件是如何耦合的,从而引发局部血管损伤的机制尚不清楚。在这里,我们通过对病变主动脉的单细胞 RNA 测序报告称,神经元导向线索 netrin-1 可以在巨噬细胞驱动的损伤和 ECM 降解的界面处发挥作用。netrin-1 在人和鼠的动脉瘤巨噬细胞中表达达到峰值。巨噬细胞中 netrin-1 的靶向缺失可保护小鼠免于发生 AAA。通过其受体 neogenin-1,netrin-1 诱导强烈的细胞内钙流,这对于血管平滑肌细胞中基质金属蛋白酶 3(MMP3)的转录调节和持续催化激活是必需的。MMP3 的缺乏减少了 ECM 损伤,降低了小鼠发生 AAA 的易感性。在这里,我们确定 netrin-1 是一种主要信号,介导了 AAA 中炎症和 ECM 慢性侵蚀之间的动态串扰。

https://cdn.ncbi.nlm.nih.gov/pmc/blobs/7a7e/6258757/43df99987d6e/41467_2018_7495_Fig1_HTML.jpg

文献AI研究员

20分钟写一篇综述,助力文献阅读效率提升50倍。

立即体验

用中文搜PubMed

大模型驱动的PubMed中文搜索引擎

马上搜索

文档翻译

学术文献翻译模型,支持多种主流文档格式。

立即体验