Suppr超能文献

云芝多糖提取物通过非活性氧依赖的固有线粒体途径对人急性单核细胞白血病细胞的抗癌作用。

Anti-Cancerous Effect of Inonotus taiwanensis Polysaccharide Extract on Human Acute Monocytic Leukemia Cells through ROS-Independent Intrinsic Mitochondrial Pathway.

机构信息

Departments of Laboratory Medicine, Kaohsiung Chang Gung Memorial Hospital, Kaohsiung 833, Taiwan.

Department of Medical Laboratory Science and Biotechnology, Fooyin University, Kaohsiung 831, Taiwan.

出版信息

Int J Mol Sci. 2018 Jan 29;19(2):393. doi: 10.3390/ijms19020393.

Abstract

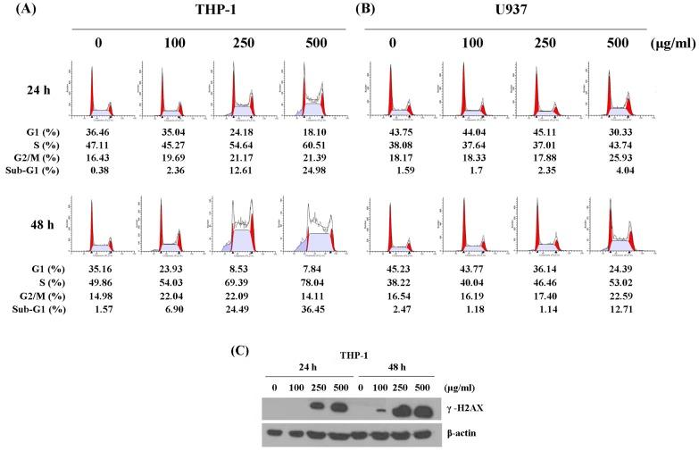
Acute leukemia is one of the commonly diagnosed neoplasms and causes human death. However, the treatment for acute leukemia is not yet satisfactory. Studies have shown that mushroom-derived polysaccharides display low toxicity and have been used clinically for cancer therapy. Therefore, we set out to evaluate the anti-cancerous efficacy of a water-soluble polysaccharide extract from (WSPIS) on human acute monocytic leukemia THP-1 and U937 cell lines in vitro. Under our experimental conditions, WSPIS elicited dose-dependent growth retardation and induced apoptotic cell death. Further analysis showed that WSPIS-induced apoptosis was associated with a mitochondrial apoptotic pathway, such as the disruption of mitochondrial membrane potential (MMP), followed by the activation of caspase-9, caspase-3, and PARP (poly(ADP-ribose) polymerase) cleavage. However, a broad caspase inhibitor, Z-VAD.fmk, could not prevent WSPIS-induced apoptosis. These data imply that mechanism(s) other than caspase might be involved. Thus, the involvement of endonuclease G (endoG), a mediator arbitrating caspase-independent oligonucleosomal DNA fragmentation, was examined. Western blotting demonstrated that WSPIS could elicit nuclear translocation of endoG. MMP disruption after WSPIS treatment was accompanied by intracellular reactive oxygen species (ROS) generation. However, pretreatment with -acetyl-l-cysteine (NAC) could not attenuate WSPIS-induced apoptosis. In addition, our data also show that WSPIS could inhibit autophagy. Activation of autophagy by rapamycin decreased WSPIS-induced apoptosis and cell death. Taken together, our findings suggest that cell cycle arrest, endonuclease G-mediated apoptosis, and autophagy inhibition contribute to the anti-cancerous effect of WSPIS on human acute monocytic leukemia cells.

摘要

急性白血病是常见的肿瘤之一,也是导致人类死亡的原因之一。然而,急性白血病的治疗效果仍不尽人意。研究表明,从真菌中提取的多糖显示出低毒性,并已在癌症治疗的临床中应用。因此,我们着手评估从(WSPIS)中提取的水溶性多糖提取物对体外人急性单核细胞白血病 THP-1 和 U937 细胞系的抗癌疗效。在我们的实验条件下,WSPIS 表现出剂量依赖性的生长抑制作用,并诱导细胞凋亡。进一步的分析表明,WSPIS 诱导的细胞凋亡与线粒体凋亡途径有关,如线粒体膜电位(MMP)的破坏,随后激活 caspase-9、caspase-3 和 PARP(多聚(ADP-核糖)聚合酶)切割。然而,广谱 caspase 抑制剂 Z-VAD.fmk 不能阻止 WSPIS 诱导的细胞凋亡。这些数据表明可能涉及 caspase 以外的机制。因此,检查了内切核酸酶 G(endoG)的参与,endoG 是一种调解 caspase 非依赖性寡核苷酸体 DNA 片段化的介质。Western blot 表明 WSPIS 可以引发 endoG 的核转位。WSPIS 处理后 MMP 破坏伴随着细胞内活性氧(ROS)的产生。然而,用 N-乙酰-L-半胱氨酸(NAC)预处理不能减轻 WSPIS 诱导的细胞凋亡。此外,我们的数据还表明 WSPIS 可以抑制自噬。雷帕霉素激活自噬可以降低 WSPIS 诱导的细胞凋亡和细胞死亡。综上所述,我们的研究结果表明细胞周期阻滞、endoG 介导的凋亡和自噬抑制有助于 WSPIS 对人急性单核细胞白血病细胞的抗癌作用。

https://cdn.ncbi.nlm.nih.gov/pmc/blobs/1d2e/5855615/a8bd772b23b3/ijms-19-00393-g001.jpg

文献AI研究员

20分钟写一篇综述,助力文献阅读效率提升50倍。

立即体验

用中文搜PubMed

大模型驱动的PubMed中文搜索引擎

马上搜索

文档翻译

学术文献翻译模型,支持多种主流文档格式。

立即体验