Suppr超能文献

血管紧张素II暴露后结缔组织生长因子的表达依赖于高血压诱导心肌纤维化中通过经典Smad依赖途径的转化生长因子-β信号传导。

Connective tissue growth factor expression after angiotensin II exposure is dependent on transforming growth factor-β signaling via the canonical Smad-dependent pathway in hypertensive induced myocardial fibrosis.

作者信息

Wong Chloe Kok Sum, Falkenham Alec, Myers Tanya, Légaré Jean-Francois

机构信息

1 Department of Pathology, Dalhousie University, Halifax, NS, Canada.

2 Department of Surgery, Dalhousie University, Halifax, NS, Canada.

出版信息

J Renin Angiotensin Aldosterone Syst. 2018 Jan-Mar;19(1):1470320318759358. doi: 10.1177/1470320318759358.

Abstract

INTRODUCTION

Transforming growth factor-β (TGF-β) and connective tissue growth factor (CTGF) are often described as the initial pro-fibrotic mediators upregulated early in fibrosis models dependent on angiotensin II (Ang-II). In the present study, we explore the mechanistic link between TGF-β and CTGF expression by using a novel TGF-β trap.

MATERIALS AND METHODS

NIH/3T3 fibroblasts were subjected to TGF-β with or without TGF-β trap or 1D11 antibody, CTGF or CTGF plus TGF-β for six or 24 hours, and then used for quantitative real-time polymerase chain reaction (qRT-PCR) or immunocytochemistry. Male C57BL/6 mice were infused with Ang-II and randomly assigned TGF-β trap for six or 24 hours. Hearts were harvested for histological analyses, qRT-PCR and western blotting.

RESULTS

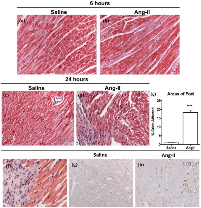
Exogenous TGF-β-induced fibroblasts resulted in significant upregulation of CTGF, TGF-β and type I collagen transcript levels in vitro. Additionally, TGF-β promoted the differentiation of fibroblasts into α-SMA myofibroblasts. CTGF expression was reduced by the addition of TGF-β trap or neutralizing antibody, confirming that its expression is dependent on TGF-β signaling. In contrast, exogenous CTGF did not appear to have an effect on fibroblast production of pro-fibrotic transcripts or fibroblast differentiation. Ang-II infusion in vivo led to a significant increase in TGF-β and CTGF mRNA expression at six and 24 hours with corresponding changes in Smad2 phosphorylation (pSmad2), indicative of increased TGF-β signaling. Ang-II animals that received the TGF-β trap demonstrated reduced CTGF mRNA levels and pSmad2 at six hours, suggesting that early CTGF expression is dependent on TGF-β signaling.

CONCLUSIONS

We demonstrated that CTGF expression is dependent on TGF-β signaling both in vitro and in vivo in a model of myocardial fibrosis. This also suggests that early myocardial CTGF mRNA expression (six hours) after Ang-II exposure is likely dependent on latent TGF-β activation via the canonical Smad-dependent pathway in resident cardiac cells.

摘要

引言

转化生长因子-β(TGF-β)和结缔组织生长因子(CTGF)常被描述为在依赖血管紧张素II(Ang-II)的纤维化模型中早期上调的初始促纤维化介质。在本研究中,我们使用一种新型的TGF-β陷阱来探索TGF-β与CTGF表达之间的机制联系。

材料与方法

将NIH/3T3成纤维细胞分别用TGF-β处理,同时或不同时添加TGF-β陷阱或1D11抗体、CTGF或CTGF加TGF-β,处理6小时或24小时,然后用于定量实时聚合酶链反应(qRT-PCR)或免疫细胞化学分析。给雄性C57BL/6小鼠输注Ang-II,并随机给予TGF-β陷阱处理6小时或24小时。采集心脏进行组织学分析、qRT-PCR和蛋白质印迹分析。

结果

外源性TGF-β诱导的成纤维细胞导致体外CTGF、TGF-β和I型胶原转录水平显著上调。此外,TGF-β促进成纤维细胞分化为α-SMA肌成纤维细胞。添加TGF-β陷阱或中和抗体可降低CTGF表达,证实其表达依赖于TGF-β信号传导。相反,外源性CTGF似乎对成纤维细胞产生促纤维化转录物或成纤维细胞分化没有影响。体内输注Ang-II导致6小时和24小时时TGF-β和CTGF mRNA表达显著增加,同时Smad2磷酸化(pSmad2)相应改变,表明TGF-β信号传导增强。接受TGF-β陷阱的Ang-II处理动物在6小时时CTGF mRNA水平和pSmad2降低,表明早期CTGF表达依赖于TGF-β信号传导。

结论

我们证明在心肌纤维化模型中,CTGF表达在体外和体内均依赖于TGF-β信号传导。这也表明Ang-II暴露后早期心肌CTGF mRNA表达(6小时)可能依赖于驻留心脏细胞中通过经典Smad依赖途径的潜伏TGF-β激活。

https://cdn.ncbi.nlm.nih.gov/pmc/blobs/8bd8/5888824/950cb1d4f8dc/10.1177_1470320318759358-fig1.jpg

文献AI研究员

20分钟写一篇综述,助力文献阅读效率提升50倍。

立即体验

用中文搜PubMed

大模型驱动的PubMed中文搜索引擎

马上搜索

文档翻译

学术文献翻译模型,支持多种主流文档格式。

立即体验