Suppr超能文献

新生儿胃穿孔:两例报告及系统评价

Neonatal gastric perforation: a report of two cases and a systematic review.

作者信息

Chen Tsung-Yen, Liu Hsien-Kuan, Yang Ming-Chun, Yang Yung-Ning, Ko Po-Jui, Su Yu-Tsun, Huang Ru-Yi, Tsai Ching-Chung

机构信息

Department of Pediatrics, E-Da Hospital.

School of Chinese Medicine for Post Baccalaureate, I-Shou University.

出版信息

Medicine (Baltimore). 2018 Apr;97(17):e0369. doi: 10.1097/MD.0000000000010369.

Abstract

RATIONALE

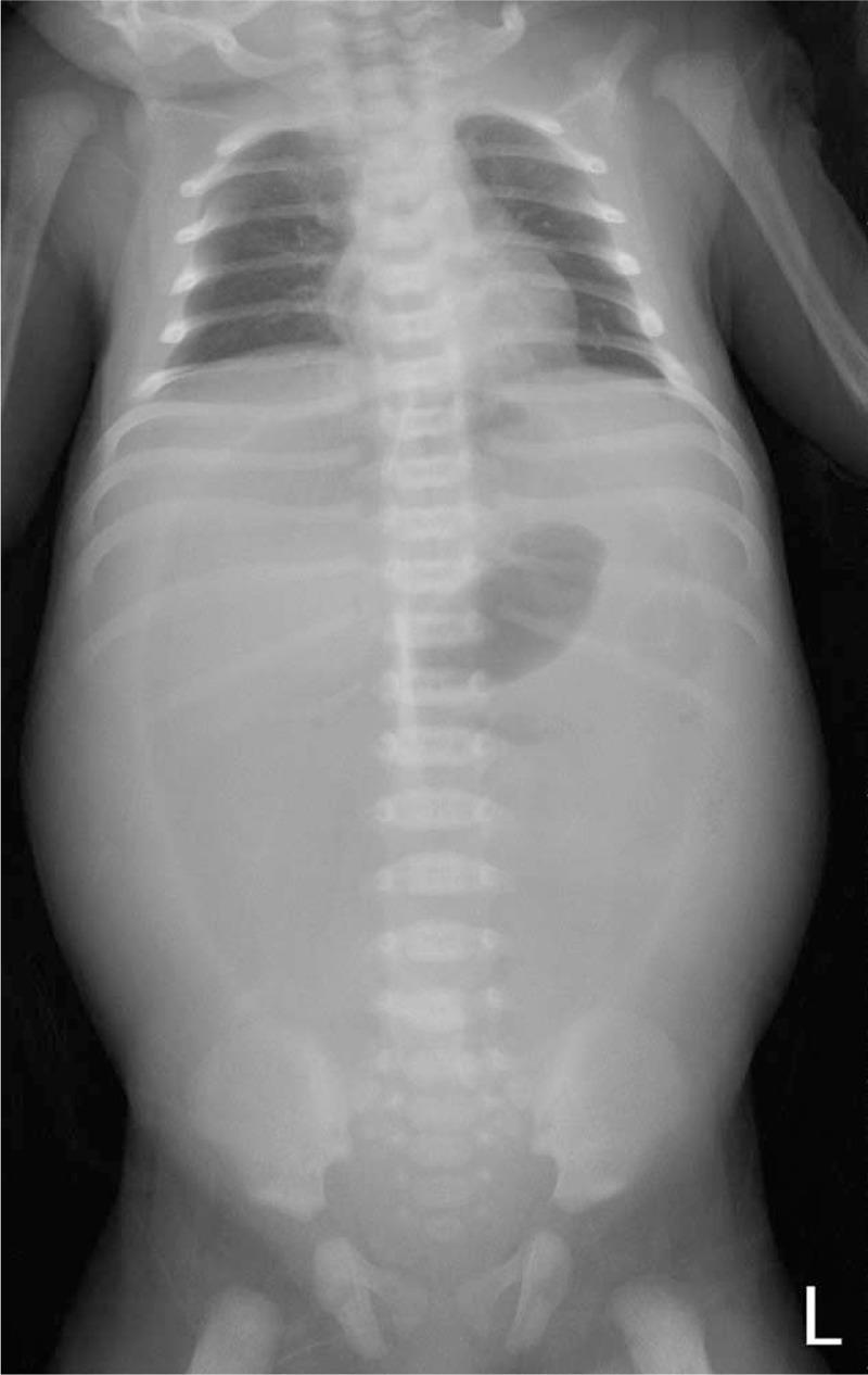
Neonatal gastric perforation is a rare and life-threatening disorder in neonates and is associated with high morbidity and mortality. However, the exact mechanisms of neonatal gastric perforation remain unknown.

PATIENT CONCERNS

In this study, we reported 2 cases of neonatal gastric perforation and conducted a systematic review to analyze the prognostic factors for mortality.

DIAGNOSES

Two neonates received a diagnosis of gastric perforation based on clinical presentation and imaging studies. The 2 patients underwent emergent surgery, which yielded favorable outcomes.

INTERVENTIONS

We reviewed 168 cases from the literature as well as our 2 cases to analyze whether mortality in neonatal gastric perforation is associated with sex, gestational age, operation type, perforation location, or timing of perforation.

OUTCOMES

The results revealed that mortality was significantly higher in preterm neonates (n = 80, P < .01) and the mortality group had a lower birth weight (n = 73, P < .05). The timing of perforation in the preterm subgroup was significantly earlier than that in the full-term subgroup (n = 90, P < .05). The outcomes about mortality of gastric perforation were significantly associated with preterm neonates (adjusted odds ratio: 4.21, 95% confidence interval: 1.28-13.88, P < .05).

LESSONS

This study shows the prognostic factor of gastric perforation was significantly associated with preterm neonates. Furthermore, low-birth-weight full-term neonates had a relatively higher mortality rate than the normal-birth-weight full-term neonates. In addition, preterm neonates have an earlier timing of perforation.

摘要

理论依据

新生儿胃穿孔是新生儿中一种罕见且危及生命的疾病,与高发病率和死亡率相关。然而,新生儿胃穿孔的确切机制仍不清楚。

患者情况

在本研究中,我们报告了2例新生儿胃穿孔病例,并进行了系统评价以分析死亡的预后因素。

诊断

两名新生儿根据临床表现和影像学检查被诊断为胃穿孔。这两名患者接受了急诊手术,结果良好。

干预措施

我们回顾了文献中的168例病例以及我们的2例病例,以分析新生儿胃穿孔的死亡率是否与性别、胎龄、手术类型、穿孔部位或穿孔时间有关。

结果

结果显示,早产儿(n = 80,P <.01)的死亡率显著更高,且死亡组的出生体重更低(n = 73,P <.05)。早产亚组的穿孔时间明显早于足月亚组(n = 90,P <.05)。胃穿孔死亡率的结果与早产儿显著相关(调整后的优势比:4.21,95%置信区间:1.28 - 13.88,P <.05)。

经验教训

本研究表明胃穿孔的预后因素与早产儿显著相关。此外,低出生体重的足月儿比正常出生体重的足月儿死亡率相对更高。另外,早产儿的穿孔时间更早。

https://cdn.ncbi.nlm.nih.gov/pmc/blobs/71ba/5944554/af085ba99f5f/medi-97-e0369-g001.jpg

文献AI研究员

20分钟写一篇综述,助力文献阅读效率提升50倍。

立即体验

用中文搜PubMed

大模型驱动的PubMed中文搜索引擎

马上搜索

文档翻译

学术文献翻译模型,支持多种主流文档格式。

立即体验