Suppr超能文献

白藜芦醇对多囊卵巢综合征大鼠模型肝脏和血清氧化应激的影响:一项实验研究。

The effect of resveratrol on oxidative stress in the liver and serum of a rat model of polycystic ovary syndrome: An experimental study.

作者信息

Ghowsi Mahnaz, Khazali Homayoun, Sisakhtnezhad Sajjad

机构信息

Department of Animal Physiology, Faculty of Biological Sciences and Technology, Shahid Beheshti University, Tehran, Iran.

Department of Biology, Faculty of Sciences, Razi University, Kermanshah, Iran.

出版信息

Int J Reprod Biomed. 2018 Mar;16(3):149-158.

Abstract

BACKGROUND

Studies of oxidative status in polycystic ovarian syndrome (PCOS) patients are limited with inconsistent results. The effects of resveratrol as a natural antioxidant on oxidative status in PCOS aren't clear.

OBJECTIVE

This study evaluated effects of resveratrol on oxidative stress in the liver and serum of the PCOS rats.

MATERIALS AND METHODS

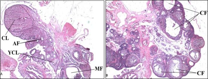
Fifteen female rats (3 wk old) were divided into 3 groups (n=5/each e): Control group, PCO-Control group, and PCO-Resveratrol group. For induction of polycystic ovary phenotype, testosterone enanthate 10 mg/kg was injected for 35 days subcutaneously. Then, resveratrol 10 mg/kg was injected intraperitoneally for 28 days to rats of the PCO-Resveratrol group. Ovarian sections were stained with hematoxylin/eosin. The serum glucose and insulin and the levels of malondialdehyde (MDA) and total antioxidant capacity (TAC) in serum and liver were measured.

RESULTS

Control animals showed normal ovarian morphology and PCO-Control animals exhibited cystic follicles. There were no significant differences in liver TAC between groups. The serum MDA (p=0.034), and homeostatic model assessment insulin resistance (HOMA-IR) (p=0.014) levels in PCO-Control rats were higher than the controls. The liver MDA in PCO-Control rats was more than that of controls (p=0.001). The HOMA-IR (p=0.008) and serum MDA (p=0.006) levels in PCO-Control rats were more than those of PCO-Resveratrol rats (p=0.008). In PCO-Resveratrol group, serum TAC was higher than that of PCO-Control group (p=0.022) and liver MDA was more than controls (p=0.01).

CONCLUSION

Results indicated that the induction of PCOS in rats increased lipid peroxidation and insulin resistance and resveratrol improved these complications.

摘要

背景

关于多囊卵巢综合征(PCOS)患者氧化状态的研究有限,结果也不一致。白藜芦醇作为一种天然抗氧化剂对PCOS患者氧化状态的影响尚不清楚。

目的

本研究评估白藜芦醇对PCOS大鼠肝脏和血清氧化应激的影响。

材料与方法

将15只3周龄雌性大鼠分为3组(每组n = 5):对照组、PCO - 对照组和PCO - 白藜芦醇组。为诱导多囊卵巢表型,皮下注射10 mg/kg庚酸睾酮,持续35天。然后,对PCO - 白藜芦醇组大鼠腹腔注射10 mg/kg白藜芦醇,持续28天。卵巢切片用苏木精/伊红染色。检测血清葡萄糖、胰岛素以及血清和肝脏中丙二醛(MDA)和总抗氧化能力(TAC)水平。

结果

对照动物卵巢形态正常,PCO - 对照组动物出现囊性卵泡。各组肝脏TAC无显著差异。PCO - 对照组大鼠血清MDA(p = 0.034)和稳态模型评估胰岛素抵抗(HOMA - IR)(p = 0.014)水平高于对照组。PCO - 对照组大鼠肝脏MDA高于对照组(p = 0.001)。PCO - 对照组大鼠HOMA - IR(p = 0.008)和血清MDA(p = 0.006)水平高于PCO - 白藜芦醇组大鼠(p = 0.008)。在PCO - 白藜芦醇组,血清TAC高于PCO - 对照组(p = 0.022),肝脏MDA高于对照组(p = 0.01)。

结论

结果表明,大鼠PCOS的诱导增加了脂质过氧化和胰岛素抵抗,而白藜芦醇改善了这些并发症。

https://cdn.ncbi.nlm.nih.gov/pmc/blobs/86a4/5944437/86996c5fa0aa/ijrb-16-149-g001.jpg

文献AI研究员

20分钟写一篇综述,助力文献阅读效率提升50倍。

立即体验

用中文搜PubMed

大模型驱动的PubMed中文搜索引擎

马上搜索

文档翻译

学术文献翻译模型,支持多种主流文档格式。

立即体验