Suppr超能文献

[提取物名称]水醇提取物和白藜芦醇对来曲唑诱导的多囊卵巢综合征大鼠模型卵巢形态及生化参数的影响:一项实验研究。

Effect of hydroalcoholic extract of and resveratrol on ovarian morphology and biochemical parameters in Letrozole-induced polycystic ovary syndrome rat model: An experimental study.

作者信息

Ashkar Fatemeh, Eftekhari Mohammad Hassan, Tanideh Nader, Koohpeyma Farhad, Mokhtari Maral, Irajie Cambyz, Iraji Aida

机构信息

Department of Clinical Nutrition, School of Nutrition and Food Sciences, Shiraz University of Medical Sciences, Shiraz, Iran.

Stem Cells Technology Research Center, Shiraz University of Medical Sciences, Shiraz, Iran.

出版信息

Int J Reprod Biomed. 2020 Aug 19;18(8):637-650. doi: 10.18502/ijrm.v13i8.7505. eCollection 2020 Aug.

Abstract

BACKGROUND

Resveratrol and () are known to be natural antioxidants and regulators of human metabolism. However, the effects of resveratrol and on the ovarian morphology in polycystic ovary syndrome (PCOS) are not obvious.

OBJECTIVE

This study aimed to determine the effect of the hydroalcoholic extract of in combination with resveratrol on some biochemical parameters and ovarian morphology in the letrozole-induced PCOS rat.

MATERIALS AND METHODS

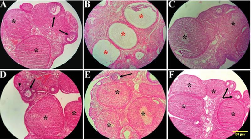
Seventy adult female Sprague-Dawley rats aged 10-12 weeks weighing 200 20 gr were randomly divided into seven groups (n = 10/each). Group I): normal; Group II): vehicle; Group III): letrozole-induced PCOS 1 mg/kg letrozole orally, rats receiving 1 cc normal saline orally; Group IV): PCOS + receiving 150 mg/kg metformin orally; Group V): PCOS + receiving 20 mg/kg resveratrol orally; Group VI): PCOS + 3 gr/kg barberry orally; and Group VII): PCOS + receiving 3 gr/kg barberry and 20 mg/kg resveratrol orally. All animals were followed-up for 63 days. The biochemical parameters and histological assessments of ovaries were performed.

RESULTS

Resveratrol alone and/or in combination with treatment in rats led to a significant decrease in low-density lipoprotein, triglyceride, malondialdehyde, and tumor necrosis factor-alpha concentrations (p = 0.02). The groups IV, V, VI, and VII showed a decrease in insulin resistance and an increase in the superoxide dismutase, total antioxidant capacity, and high-density lipoprotein (p = 0.01). No significant difference was observed between the level of serum glucose in the treatment groups. Number of cystic follicles had a significant decrease in barberry, resveratrol, and their combination groups (p 0.001).

CONCLUSION

Resveratrol, , and their combination as natural products with fewer side effects might be effective as an alternative medicine in treatment of PCOS.

摘要

背景

白藜芦醇和(此处原文缺失相关物质名称)已知是天然抗氧化剂和人类新陈代谢的调节剂。然而,白藜芦醇和(此处原文缺失相关物质名称)对多囊卵巢综合征(PCOS)卵巢形态的影响并不明显。

目的

本研究旨在确定(此处原文缺失相关物质名称)水醇提取物与白藜芦醇联合应用对来曲唑诱导的PCOS大鼠某些生化参数和卵巢形态的影响。

材料与方法

70只10 - 12周龄、体重200±20克的成年雌性Sprague-Dawley大鼠随机分为7组(每组n = 10)。第一组:正常组;第二组:溶剂对照组;第三组:来曲唑诱导的PCOS组,大鼠口服1毫克/千克来曲唑,同时口服1毫升生理盐水;第四组:PCOS + 组,口服150毫克/千克二甲双胍;第五组:PCOS + 组,口服20毫克/千克白藜芦醇;第六组:PCOS + 组,口服3克/千克伏牛花;第七组:PCOS + 组,口服3克/千克伏牛花和20毫克/千克白藜芦醇。所有动物随访63天。进行卵巢的生化参数和组织学评估。

结果

单独使用白藜芦醇和/或与(此处原文缺失相关物质名称)联合治疗的大鼠,低密度脂蛋白、甘油三酯、丙二醛和肿瘤坏死因子-α浓度显著降低(p = 0.02)。第四、五、六和七组胰岛素抵抗降低,超氧化物歧化酶、总抗氧化能力和高密度脂蛋白增加(p = 0.01)。各治疗组血清葡萄糖水平之间未观察到显著差异。伏牛花、白藜芦醇及其联合组的囊性卵泡数量显著减少(p < 0.001)。

结论

白藜芦醇、(此处原文缺失相关物质名称)及其组合作为副作用较少的天然产物,可能作为治疗PCOS的替代药物有效。

https://cdn.ncbi.nlm.nih.gov/pmc/blobs/f198/7457158/dd03d15afe12/ijrb-18-637-g001.jpg

文献AI研究员

20分钟写一篇综述,助力文献阅读效率提升50倍。

立即体验

用中文搜PubMed

大模型驱动的PubMed中文搜索引擎

马上搜索

文档翻译

学术文献翻译模型,支持多种主流文档格式。

立即体验