Suppr超能文献

水飞蓟宾通过其潜在的抗炎和抗氧化活性对来曲唑诱导的大鼠多囊卵巢综合征的治疗作用。

Therapeutic Effects of Silibinin Against Polycystic Ovary Syndrome Induced by Letrozole in Rats via Its Potential Anti-Inflammatory and Anti-Oxidant Activities.

作者信息

Marouf Bushra Hassan, Ismaeel Dana Omer, Hassan Ali Hussein, Ali Othman Jalal

机构信息

Department of Pharmacology and Toxicology- College of Pharmacy, University of Sulaimani, Sulaimani, Kurdistan Region, Iraq.

Department of Surgery and Theriogenology- College of Veterinary Medicine, University of Sulaimani, Sulaimani, Kurdistan Region, Iraq.

出版信息

J Inflamm Res. 2022 Sep 9;15:5185-5199. doi: 10.2147/JIR.S379725. eCollection 2022.

Abstract

BACKGROUND

Current therapies for polycystic ovary syndrome (PCOS) are accompanied by unwanted effects. Silibinin; a flavonolignan has pleiotropic activities and favorable safety profile.

PURPOSE

To investigate the efficacy of silibinin on estrous cyclicity, inflammation, oxidative stress and ovarian morphology in letrozole-induced PCOS in rats.

METHODS

Forty-eight female Wistar albino rats were divided into 2 sets. Rats of the first set (n = 12), assigned as a negative control (NC) received only the vehicle, rats of the second set (n = 36), assigned as PCOS rats, were given letrozole 1mg/Kg orally for 21 days. On day 21, six rats from the first set and six rats from the second set were euthanized for confirmation of PCOS-induction. The remaining animals from the first set assigned as group 1, those in the second set (n = 30) were equally divided into 5 groups and treated daily for 19 days as follows: group 2 (positive control) received only the vehicle, group 3 treated with metformin 300mg/Kg orally, groups 4 and 5 treated respectively with 100 and 200 mg/Kg silibinin intraperitoneally (IP), and group 6 treated with a combination of metformin 300mg/Kg orally and silibinin 100mg/Kg IP. On day 40, blood samples were examined for luteinizing hormone (LH), testosterone (TS) and estradiol (EST) levels, the anti-inflammatory and antioxidant parameters, ovarian and uterine morphology.

RESULTS

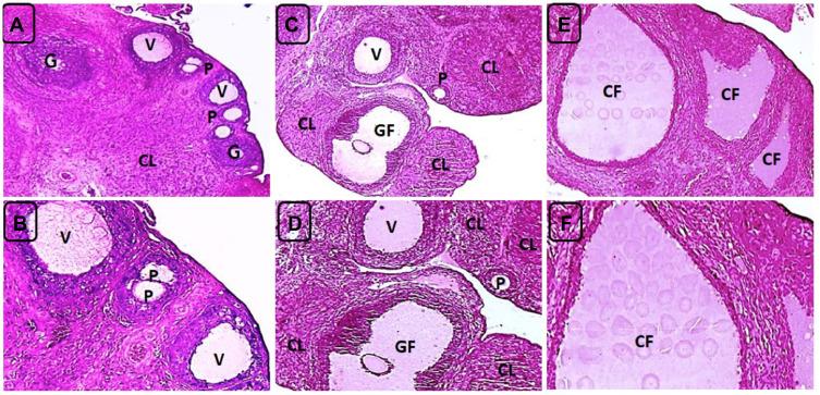
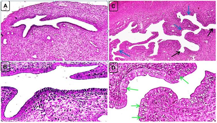
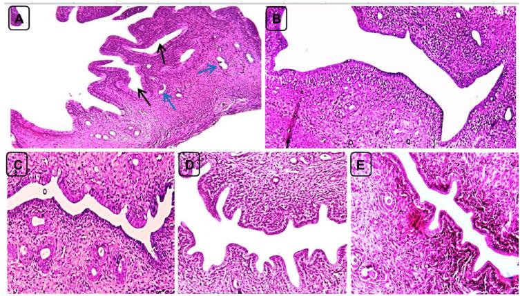
Silibinin alone or in combination with metformin was found to be effective in restoring the regularity of estrous cycle by ameliorating the abnormal alterations of LH, TS, EST, tumor necrosis factor (TNF)-α, and oxidative status and by resuming the appearance of corpora lutea and decreasing or even total absence of cystic follicles in the ovaries.

CONCLUSION

Silibinin was effective in restoring estrous regularities and alleviating hormonal and histomorphological abnormalities of the ovarian and uterine tissues, this could be due to its anti-androgenic, anti-inflammatory and antioxidant properties.

摘要

背景

多囊卵巢综合征(PCOS)的现有治疗方法存在不良影响。水飞蓟宾是一种黄酮木脂素,具有多种活性且安全性良好。

目的

研究水飞蓟宾对来曲唑诱导的大鼠PCOS的发情周期、炎症、氧化应激和卵巢形态的影响。

方法

将48只雌性Wistar白化大鼠分为2组。第一组(n = 12)作为阴性对照(NC),仅接受赋形剂;第二组(n = 36)作为PCOS大鼠,口服1mg/Kg来曲唑,持续21天。在第21天,处死第一组的6只大鼠和第二组的6只大鼠,以确认PCOS诱导成功。第一组中剩余的动物作为第1组,第二组中的动物(n = 30)平均分为5组,每天治疗19天,具体如下:第2组(阳性对照)仅接受赋形剂,第3组口服300mg/Kg二甲双胍,第4组和第5组分别腹腔注射(IP)100和200mg/Kg水飞蓟宾,第6组口服300mg/Kg二甲双胍并腹腔注射100mg/Kg水飞蓟宾。在第40天,检测血样中的黄体生成素(LH)、睾酮(TS)和雌二醇(EST)水平、抗炎和抗氧化参数、卵巢和子宫形态。

结果

发现单独使用水飞蓟宾或与二甲双胍联合使用可有效恢复发情周期的规律性,改善LH、TS、EST、肿瘤坏死因子(TNF)-α的异常变化以及氧化状态,恢复黄体的出现,并减少甚至完全消除卵巢中的囊性卵泡。

结论

水飞蓟宾可有效恢复发情规律,减轻卵巢和子宫组织的激素及组织形态学异常,这可能归因于其抗雄激素、抗炎和抗氧化特性。

https://cdn.ncbi.nlm.nih.gov/pmc/blobs/025b/9469941/93609ccec254/JIR-15-5185-g0001.jpg

文献AI研究员

20分钟写一篇综述,助力文献阅读效率提升50倍。

立即体验

用中文搜PubMed

大模型驱动的PubMed中文搜索引擎

马上搜索

文档翻译

学术文献翻译模型,支持多种主流文档格式。

立即体验