Suppr超能文献

Ets-1 启动子相关的非编码 RNA 通过调节 NONO/ERG/Ets-1 轴促进胃癌进展。

Ets-1 promoter-associated noncoding RNA regulates the NONO/ERG/Ets-1 axis to drive gastric cancer progression.

机构信息

Department of Surgery, Union Hospital, Tongji Medical College, Huazhong University of Science and Technology, 1277 Jiefang Avenue, 430022, Wuhan, Hubei Province, China.

Department of Pathology, Union Hospital, Tongji Medical College, Huazhong University of Science and Technology, 1277 Jiefang Avenue, 430022, Wuhan, Hubei Province, China.

出版信息

Oncogene. 2018 Aug;37(35):4871-4886. doi: 10.1038/s41388-018-0302-4. Epub 2018 May 18.

Abstract

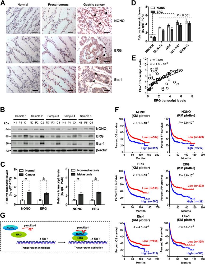
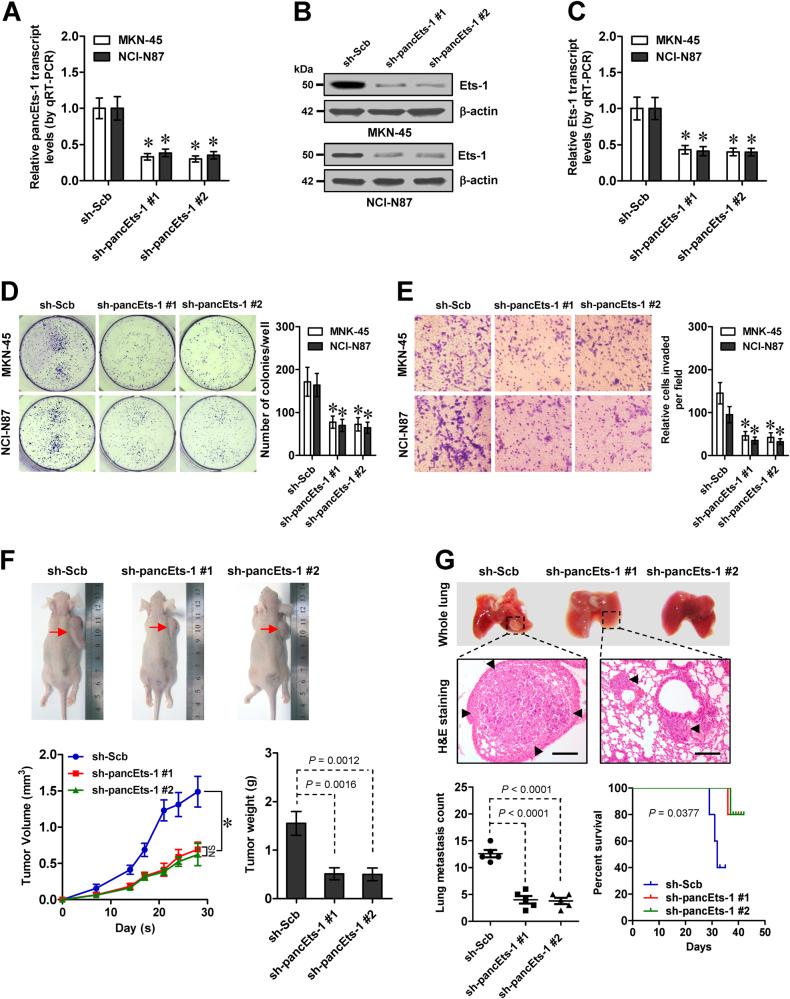
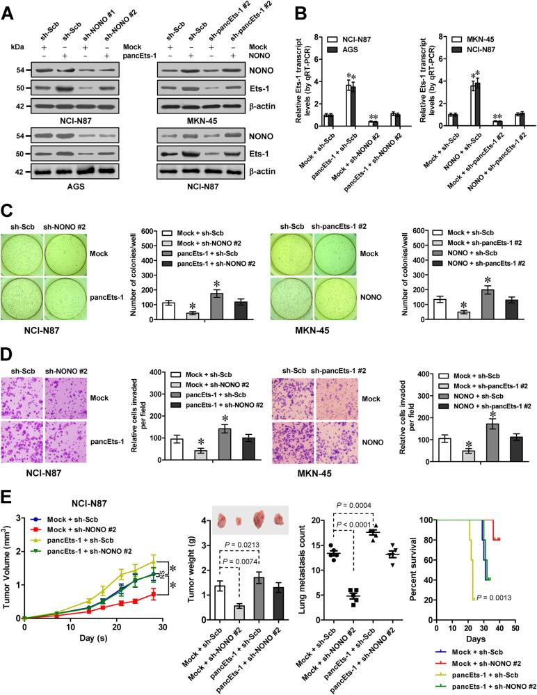
Emerging studies have indicated the essential functions of long noncoding RNAs (lncRNAs) during cancer progression. However, whether lncRNAs contribute to the upregulation of v-ets erythroblastosis virus E26 oncogene homolog 1 (Ets-1), an established oncogenic protein facilitating tumor invasion and metastasis, in gastric cancer remains elusive. Herein, we identified Ets-1 promoter-associated noncoding RNA (pancEts-1) as a novel lncRNA associated with the gastric cancer progression via mining of publicly available datasets and rapid amplification of cDNA ends. RNA pull-down, RNA immunoprecipitation, in vitro binding, and RNA electrophoretic mobility shift assays indicated the binding of pancEts-1 to non-POU domain containing octamer binding (NONO) protein. Mechanistically, pancEts-1 facilitated the physical interaction between NONO and Ets related gene (ERG), resulting in increased ERG transactivation and transcription of Ets-1 associated with gastric cancer progression. In addition, pancEts-1 facilitated the growth and aggressiveness of gastric cancer cells via interacting with NONO. In gastric cancer tissues, pancEts-1, NONO, and ERG were upregulated and significantly correlated with Ets-1 levels. High levels of pancEts-1, NONO, ERG, or Ets-1 were respectively associated with poor survival of gastric cancer patients, whereas simultaneous expression of all of them (HR = 3.012, P = 0.105) was not an independent prognostic factor for predicting clinical outcome. Overall, these results demonstrate that lncRNA pancEts-1 exhibits oncogenic properties that drive the progression of gastric cancer via regulating the NONO/ERG/Ets-1 axis.

摘要

新兴研究表明,长链非编码 RNA(lncRNA)在癌症进展中具有重要功能。然而,lncRNA 是否有助于上调 v-ets 红细胞生成病毒 E26 癌基因同源物 1(Ets-1),Ets-1 是一种已确立的癌蛋白,促进肿瘤侵袭和转移,在胃癌中仍然难以确定。在此,我们通过挖掘公开可用的数据集和 cDNA 末端快速扩增,鉴定出 Ets-1 启动子相关非编码 RNA(pancEts-1),这是一种与胃癌进展相关的新型 lncRNA。RNA 下拉、RNA 免疫沉淀、体外结合和 RNA 电泳迁移率变动分析表明,pancEts-1 与非 POUS 域包含八聚体结合(NONO)蛋白结合。从机制上讲,pancEts-1 促进了 NONO 和 Ets 相关基因(ERG)之间的物理相互作用,导致 ERG 转录激活增加,与胃癌进展相关的 Ets-1 转录增加。此外,pancEts-1 通过与 NONO 相互作用促进了胃癌细胞的生长和侵袭。在胃癌组织中,pancEts-1、NONO 和 ERG 上调,与 Ets-1 水平显著相关。pancEts-1、NONO、ERG 或 Ets-1 水平升高分别与胃癌患者预后不良相关,而同时表达所有这些(HR=3.012,P=0.105)并不是预测临床结果的独立预后因素。总体而言,这些结果表明,lncRNA pancEts-1 通过调节 NONO/ERG/Ets-1 轴表现出致癌特性,从而推动胃癌的进展。

https://cdn.ncbi.nlm.nih.gov/pmc/blobs/5521/6117270/78ea80fba08b/41388_2018_302_Fig1_HTML.jpg

文献AI研究员

20分钟写一篇综述,助力文献阅读效率提升50倍。

立即体验

用中文搜PubMed

大模型驱动的PubMed中文搜索引擎

马上搜索

文档翻译

学术文献翻译模型,支持多种主流文档格式。

立即体验