Suppr超能文献

中药多糖增强血管生成抑制剂阿帕替尼对胰腺癌细胞增殖、侵袭和凋亡的抗肿瘤作用。

Traditional Chinese medicine polysaccharide enhanced antitumor effects of the angiogenesis inhibitor apatinib in pancreatic cancer cells on proliferation, invasiveness, and apoptosis.

作者信息

Wu Jun, Wang Jing, Su Qiang, Ding Wei, Li Teng, Yu Junxian, Cao Bangwei

机构信息

Cancer Center, Beijing Friendship Hospital, Capital Medical University, Beijing, China.

Department of Pharmacy, Beijing Friendship Hospital, Capital Medical University, Beijing, China.

出版信息

Onco Targets Ther. 2018 May 9;11:2685-2698. doi: 10.2147/OTT.S157129. eCollection 2018.

Abstract

BACKGROUND

Traditional chemotherapy and molecular targeted therapy have shown modest effects on the survival of patients with pancreatic cancer. The current study aimed to investigate the antitumor effects of apatinib, polysaccharide (APS), and the combination of both the drugs in pancreatic cancer cells and further explore the molecular mechanisms in vitro.

MATERIALS AND METHODS

Expression of vascular endothelial growth factor receptor-2 (VEGFR-2) in human pancreatic cancer cell lines ASPC-1, PANC-1, and SW1990 was detected by Western blotting. Cell proliferation was measured by MTS, and migration and invasion were detected by wound-healing and Transwell assays, respectively. Cell apoptosis rate was determined by flow cytometry and cellular autophagy level affected by apatinib, and APS was analyzed by Western blotting.

RESULTS

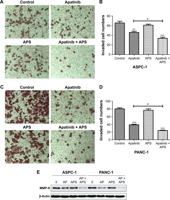
Human pancreatic cancer cell lines ASPC-1 and PANC-1 expressed VEGFR-2, but VEGFR-2 was not detected in SW1990. Either apatinib or APS inhibited cell proliferation in a dose-dependent manner in ASPC-1 and PANC-1. APS in combination with apatinib showed enhanced inhibitory effects on cell migration and invasion compared with apatinib monotherapy in ASPC-1 and PANC-1. Meanwhile, APS combined with apatinib strongly increased cell apoptosis percentage. Western blotting showed that the combination of APS and apatinib significantly enhanced the downregulation of phosphorylated protein kinase B (AKT) and extracellular signal-regulated kinase (ERK) (p-AKT and p-ERK) as well as matrix metalloproteinases-9 (MMP-9) expression. In addition, both apatinib and APS induced cellular autophagy. However, the expression of autophagy-related proteins was not further elevated in the combination group.

CONCLUSION

The study first demonstrated that apatinib showed potentially inhibitory effects in pancreatic cancer cells and that APS enhanced the antitumor effects of apatinib through further downregulating the expression of phosphorylation of AKT and ERK as well as MMP-9.

摘要

背景

传统化疗和分子靶向治疗对胰腺癌患者的生存显示出一定疗效。本研究旨在探讨阿帕替尼、多糖(APS)及其联合用药对胰腺癌细胞的抗肿瘤作用,并进一步在体外探索其分子机制。

材料与方法

采用蛋白质免疫印迹法检测人胰腺癌细胞系ASPC-1、PANC-1和SW1990中血管内皮生长因子受体-2(VEGFR-2)的表达。采用MTS法检测细胞增殖,分别采用划痕实验和Transwell实验检测细胞迁移和侵袭能力。通过流式细胞术测定细胞凋亡率,并采用蛋白质免疫印迹法分析阿帕替尼和APS对细胞自噬水平的影响。

结果

人胰腺癌细胞系ASPC-1和PANC-1表达VEGFR-2,但在SW1990中未检测到VEGFR-2。阿帕替尼或APS均以剂量依赖性方式抑制ASPC-1和PANC-1细胞的增殖。与阿帕替尼单药治疗相比,APS联合阿帕替尼对ASPC-1和PANC-1细胞的迁移和侵袭具有更强的抑制作用。同时,APS联合阿帕替尼显著增加细胞凋亡百分比。蛋白质免疫印迹法显示,APS与阿帕替尼联合使用显著增强了磷酸化蛋白激酶B(AKT)和细胞外信号调节激酶(ERK)(p-AKT和p-ERK)以及基质金属蛋白酶-9(MMP-9)表达的下调。此外,阿帕替尼和APS均诱导细胞自噬。然而,联合用药组自噬相关蛋白的表达并未进一步升高。

结论

本研究首次表明阿帕替尼对胰腺癌细胞具有潜在抑制作用,且APS通过进一步下调AKT和ERK磷酸化以及MMP-9的表达增强了阿帕替尼的抗肿瘤作用。

https://cdn.ncbi.nlm.nih.gov/pmc/blobs/13ef/5953274/f2f33fa78fb1/ott-11-2685Fig1.jpg

文献AI研究员

20分钟写一篇综述,助力文献阅读效率提升50倍。

立即体验

用中文搜PubMed

大模型驱动的PubMed中文搜索引擎

马上搜索

文档翻译

学术文献翻译模型,支持多种主流文档格式。

立即体验